ISO 9001:2015 Certified
Live Customer Support
4.5/5 on Trustpilot
100% Quality Guarantee

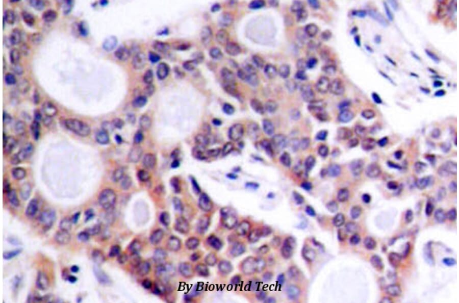
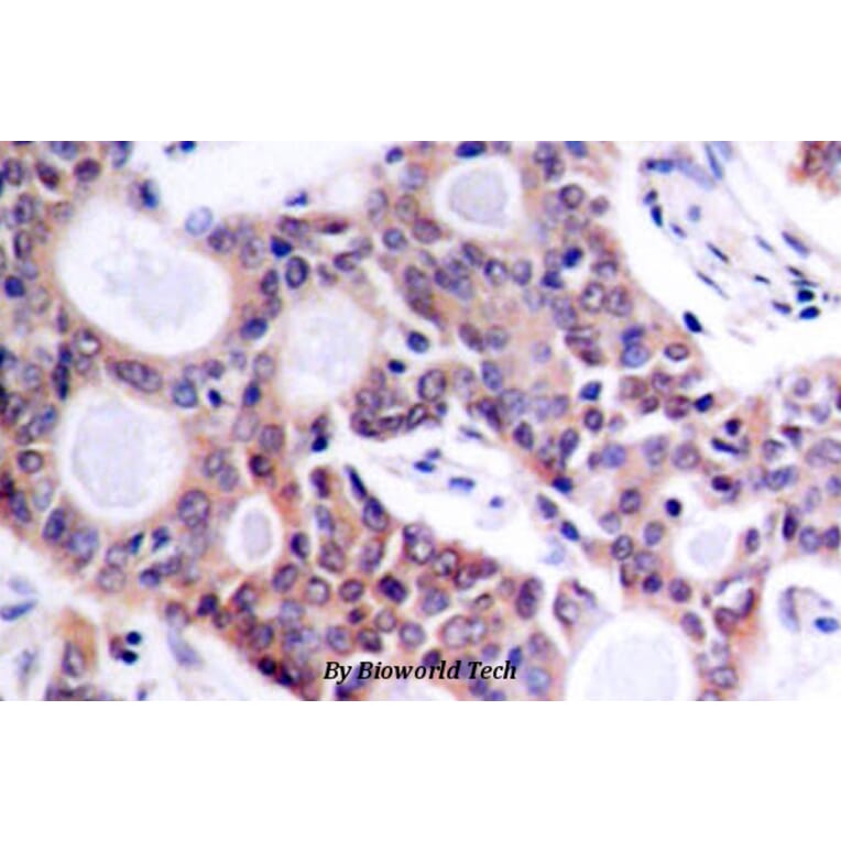
Anti-NFkB-p100 (S869) Antibody (A25274)

Rabbit polyclonal antibody to NFkB-p100 (S869) for WB and IHC.

Shipping Information

$40
Dispatched from St. Louis, MO.
Lead Time: 7-10 business days.
Name
Anti-NFkB-p100 (S869) Antibody
Description
Rabbit polyclonal antibody to NFkB-p100 (S869)
Specificity
NFkB-p100 (S869) pAb detects endogenous levels of NFkB-p100 protein.This antibody does not recognize NFkB-p52 subunit.
Applications
WB, IHC
Reactivity
Human, Mouse, Rat
Immunogen
Synthetic peptide, corresponding to amino acids 840-890 of Human NFkB-p100.
Host
Rabbit
Clonality
Polyclonal
Conjugate

Unconjugated

Molecular Weight
~ 100, 120 kDa
Purity
The antibody was affinity-purified from rabbit antiserum by affinity-chromatography using epitope-specific immunogen and the purity is > 95% (by SDS-PAGE).
Product Form
1 mg/ml in Phosphate buffered saline (PBS) with 0.05% sodium azide, approx. pH 7.2.
Disclaimer
This product is for research use only. It is not intended for diagnostic or therapeutic use.
Publishing research using Anti-NFkB-p100 (S869) Antibody (A25274)? Please let us know so that we can list the citation on this page.