Western Blot - Anti-NFkB p105/p50 Antibody (A15324)
Western blot analysis of Mouse lung, using Anti-NFkB p105/p50 Antibody (A15324) at 1:500 dilution. The secondary antibody was Goat Anti-Rabbit IgG H&L Antibody (HRP) at 1:10,000 dilution. Lysates/proteins were present at 25µg per lane. The blocking buffer used was 3% non-fat dry milk in TBST. Detection was with a ECL Basic Kit. Exposure time: 20s.
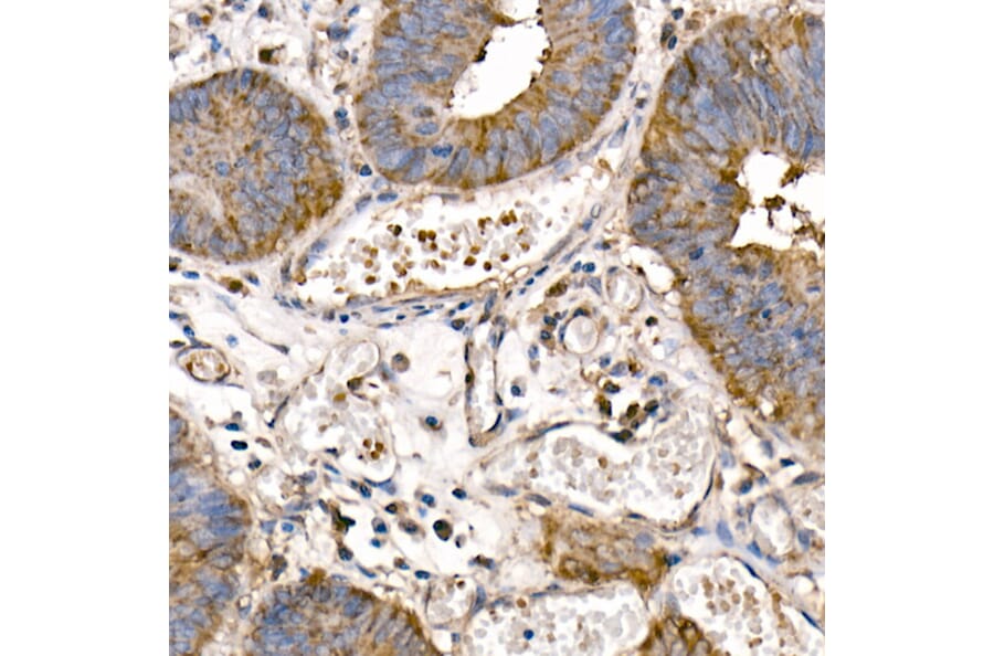
Immunohistochemistry analysis of paraffin-embedded human colon carcinoma tissue using Anti-NFkB p105/p50 Antibody (A15324) at a dilution of 1:50 (40x lens). Perform high pressure antigen retrieval with 10 mM citrate buffer pH 6.0 before commencing with IHC staining protocol.
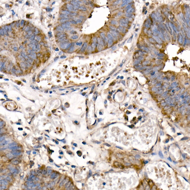
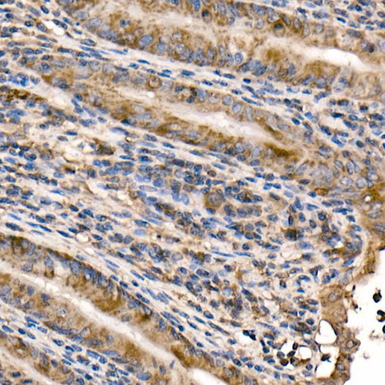
Immunohistochemistry analysis of paraffin-embedded mouse intestin using Anti-NFkB p105/p50 Antibody (A15324) at a dilution of 1:50 (40x lens). Perform high pressure antigen retrieval with 10 mM citrate buffer pH 6.0 before commencing with IHC staining protocol.
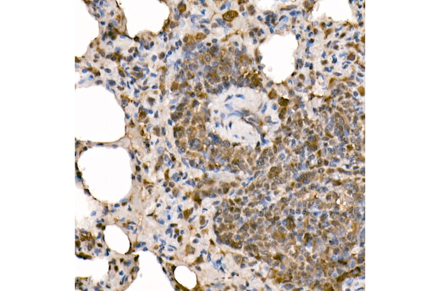
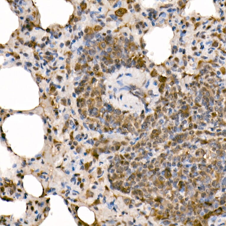
Immunohistochemistry analysis of paraffin-embedded rat lung using Anti-NFkB p105/p50 Antibody (A15324) at a dilution of 1:50 (40x lens). Perform high pressure antigen retrieval with 10 mM citrate buffer pH 6.0 before commencing with IHC staining protocol.
Immunofluorescence analysis of A-549 cells using Anti-NFkB p105/p50 Antibody (A15324) at a dilution of 1:50 (40x lens). DAPI was used to stain the cell nuclei (blue).
Immunofluorescence analysis of NIH/3T3 cells using Anti-NFkB p105/p50 Antibody (A15324) at a dilution of 1:50 (40x lens). DAPI was used to stain the cell nuclei (blue).
Immunofluorescence analysis of U2OS cells using Anti-NFkB p105/p50 Antibody (A15324) at a dilution of 1:50 (40x lens). DAPI was used to stain the cell nuclei (blue).