ISO 9001:2015 Certified
Live Customer Support
4.5/5 on Trustpilot
100% Quality Guarantee

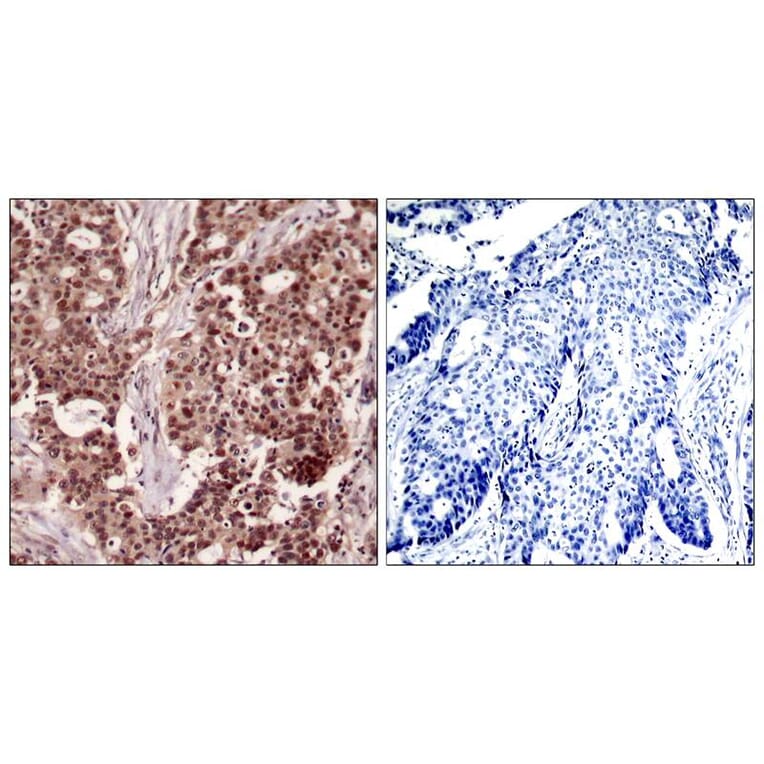
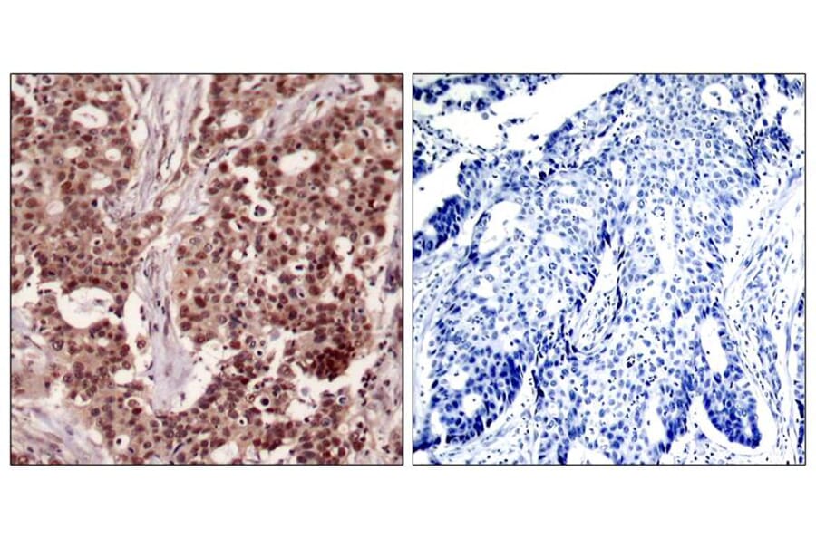
Anti-NFkB-p105 (Phospho-Ser927) Antibody (A50133)

Rabbit polyclonal antibody to NFkB-p105 (Phospho-Ser927) for WB, IHC and ICC/IF.

Shipping Information

$40
Dispatched from St. Louis, MO.
Lead Time: 6-9 business days.
Name
Anti-NFkB-p105 (Phospho-Ser927) Antibody
Description
Rabbit polyclonal antibody to NFkB-p105 (Phospho-Ser927)
Specificity
The antibody detects endogenous level of NFkB-p105 only when phosphorylated at serine 927.
Applications
WB, IHC, ICC/IF
Dilutions
Western blotting: 1:500~1:1000 Immunohistochemistry: 1:50~1:100 Immunofluorescence: 1:100~1:200
Reactivity
Human, Mouse, Rat
Immunogen
Peptide sequence around phosphorylation site of serine 927 (C-D-S(p)-G-V) derived from Human NFkB-p105.
Host
Rabbit
Clonality
Polyclonal
Conjugate

Unconjugated

Purification
Antibodies were produced by immunizing rabbits with synthetic phosphopeptide and KLH conjugates. Antibodies were purified by affinity-chromatography using epitope-specific phosphopeptide. Non-phospho specific antibodies were removed by chromatogramphy using non-phosphopeptide.
Concentration
1.0 mg/mL
Predicted MW
120 kd
Formulation
Supplied in phosphate-buffered saline (without Mg²? and Ca²?), pH 7.4, containing 150 mM NaCl, 0.02% sodium azide, and 50% glycerol.
Storage
Shipped at 4°C. Upon delivery aliquot and store at -20°C. Avoid freeze/thaw cycles.
Disclaimer
This product is for research use only. It is not intended for diagnostic or therapeutic use.
Publishing research using Anti-NFkB-p105 (Phospho-Ser927) Antibody (A50133)? Please let us know so that we can list the citation on this page.