ISO 9001:2015 Certified
Live Customer Support
4.5/5 on Trustpilot
100% Quality Guarantee

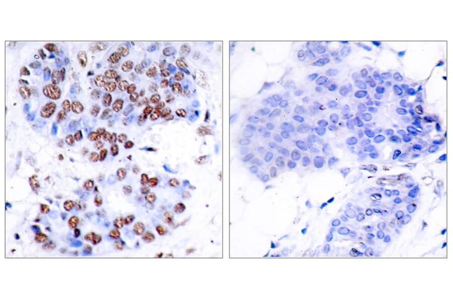
Anti-NFkB-p65 (Ab-276) Antibody (A34625)

Rabbit polyclonal antibody to NFkB-p65 (Ab-276) for WB, IHC and ICC/IF.

Shipping Information

$40
Dispatched from St. Louis, MO.
Lead Time: 6-9 business days.
Name
Anti-NFkB-p65 (Ab-276) Antibody
Description
Rabbit polyclonal antibody to NFkB-p65 (Ab-276)
Specificity
The antibody detects endogenous level of total NFkB-p65 protein.
Applications
WB, IHC, ICC/IF
Reactivity
Human, Mouse, Rat
Immunogen
Peptide sequence around aa.274~278 (R-P-S-D-R) derived from Human NFkB-p65.
Host
Rabbit
Clonality
Polyclonal
Conjugate

Unconjugated

Purification
Antibodies were produced by immunizing rabbits with synthetic peptide and KLH conjugates. Antibodies were purified by affinity-chromatography using epitope-specific peptide.
Concentration
1.0 mg/mL
Formulation
Supplied in phosphate-buffered saline (without Mg²? and Ca²?), pH 7.4, containing 150 mM NaCl, 0.02% sodium azide, and 50% glycerol.
Storage
Shipped at 4°C. Upon delivery aliquot and store at -20°C. Avoid freeze/thaw cycles.
Disclaimer
This product is for research use only. It is not intended for diagnostic or therapeutic use.
Publishing research using Anti-NFkB-p65 (Ab-276) Antibody (A34625)? Please let us know so that we can list the citation on this page.