ISO 9001:2015 Certified
Live Customer Support
4.5/5 on Trustpilot
100% Quality Guarantee

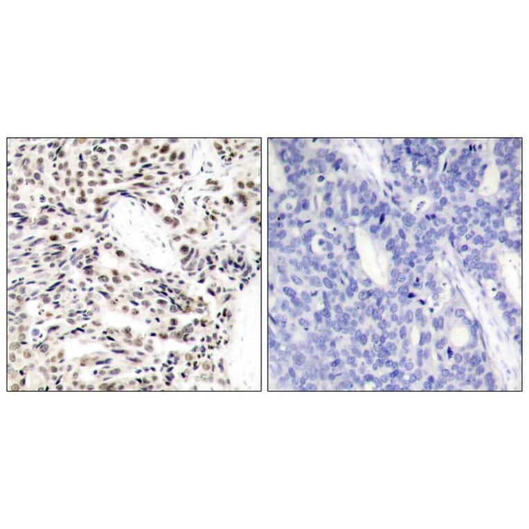
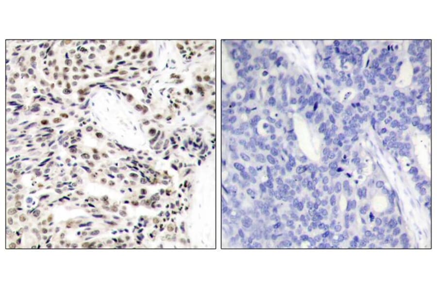
Anti-NFkB-p65 (Ab-529) Antibody (A36273)

This product is discontinued

Anti-NFkB-p65 (Ab-529) Antibody (A36273) has been discontinued and is no longer available.

View all available products.

Name
Anti-NFkB-p65 (Ab-529) Antibody
Description
Rabbit polyclonal antibody to NFkB-p65 (Ab-529)
Specificity
The antibody detects endogenous level of total NFkB-p65 protein.
Applications
WB, IHC
Reactivity
Human
Immunogen
Peptide sequence around aa.527~531 (L-L-S-G-D) derived from Human NFkB-p65.
Host
Rabbit
Clonality
Polyclonal
Conjugate

Unconjugated

Purification
Antibodies were produced by immunizing rabbits with synthetic peptide and KLH conjugates. Antibodies were purified by affinity-chromatography using epitope-specific peptide.
Concentration
1 mg/ml
Formulation
Supplied at 1.0mg / mL in phosphate buffered saline (without Mg2+ and Ca2+), pH 7.4, 150mM NaCl, 0.02% sodium azide and 50% glycerol.
Storage
Store at -20°C for long term preservation (recommended). Store at 4°C for short term use.
Disclaimer
This product is for research use only. It is not intended for diagnostic or therapeutic use.