ISO 9001:2015 Certified
Live Customer Support
4.5/5 on Trustpilot
100% Quality Guarantee

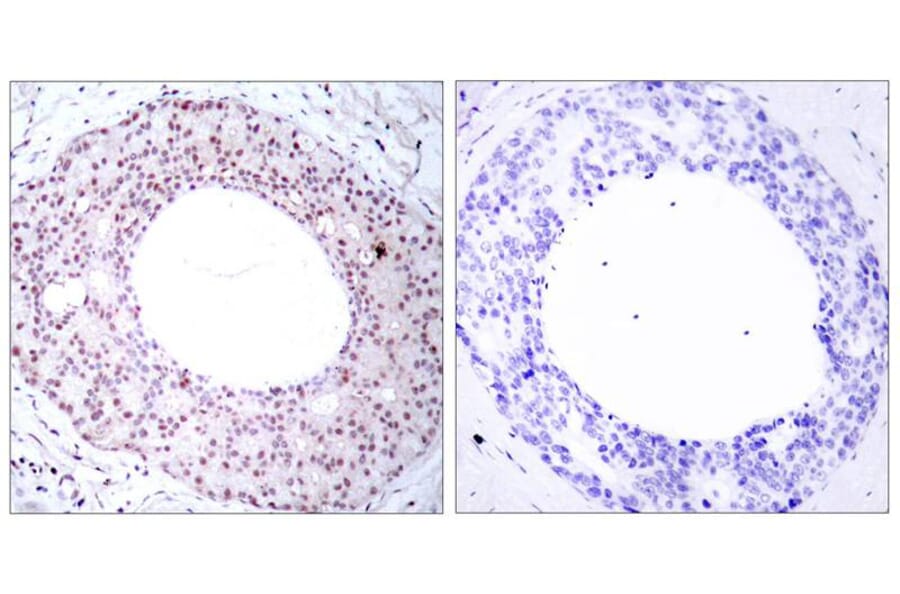
Anti-NFkB-p65 (Phospho-Thr254) Antibody (A50149)

$275

Rabbit polyclonal antibody to NFkB-p65 (Phospho-Thr254) for WB, IHC and IF.

Shipping Information

$40
Dispatched from St. Louis, MO.
Lead Time: 6-9 business days.
Name
Anti-NFkB-p65 (Phospho-Thr254) Antibody
Description
Rabbit polyclonal antibody to NFkB-p65 (Phospho-Thr254)
Specificity
The antibody detects endogenous level of NF-kB p65 only when phosphorylated at threonine 254.
Applications
WB, IHC, IF
Reactivity
Human, Mouse, Rat
Immunogen
Peptide sequence around phosphorylation site of threonine 254 (F-R-T(p)-P-P) derived from Human NFkB-p65.
Host
Rabbit
Clonality
Polyclonal
Conjugate

Unconjugated

Purification
Antibodies were produced by immunizing rabbits with synthetic phosphopeptide and KLH conjugates. Antibodies were purified by affinity-chromatography using epitope-specific phosphopeptide. Non-phospho specific antibodies were removed by chromatogramphy using non-phosphopeptide.
Concentration
1 mg/ml
Formulation
Supplied at 1.0mg / mL in phosphate buffered saline (without Mg2+ and Ca2+), pH 7.4, 150mM NaCl, 0.02% sodium azide and 50% glycerol.
Storage
Store at -20°C for long term preservation (recommended). Store at 4°C for short term use.
Disclaimer
This product is for research use only. It is not intended for diagnostic or therapeutic use.
Publishing research using Anti-NFkB-p65 (Phospho-Thr254) Antibody (A50149)? Please let us know so that we can list the citation on this page.