ISO 9001:2015 Certified
Live Customer Support
4.5/5 on Trustpilot
100% Quality Guarantee

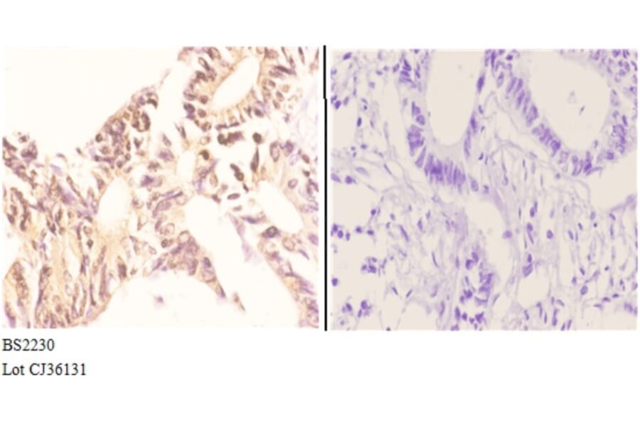
Anti-Nibrin (P461) Antibody (A26129)

$390

Rabbit polyclonal antibody to Nibrin (P461) for WB and IHC.

Shipping Information

$40
Dispatched from St. Louis, MO.
Lead Time: 7-10 business days.
Name
Anti-Nibrin (P461) Antibody
Description
Rabbit polyclonal antibody to Nibrin (P461)
Specificity
Nibrin (P461) pAb detects endogenous levels of Nibrin protein.
Applications
WB, IHC
Reactivity
Human, Mouse, Rat
Immunogen
Synthetic peptide, corresponding to amino acids 431-480 of Human Nibrin.
Host
Rabbit
Clonality
Polyclonal
Conjugate

Unconjugated

Molecular Weight
~ 95 kDa
Purity
The antibody was affinity-purified from rabbit antiserum by affinity-chromatography using epitope-specific immunogen and the purity is > 95% (by SDS-PAGE).
Product Form
1 mg/ml in Phosphate buffered saline (PBS) with 0.05% sodium azide, approx. pH 7.2.
Synonyms
Cell cycle regulatory protein p95, hNbs1, NBN, NBS, Nijmegen breakage syndrome protein 1, P95
Disclaimer
This product is for research use only. It is not intended for diagnostic or therapeutic use.
Publishing research using Anti-Nibrin (P461) Antibody (A26129)? Please let us know so that we can list the citation on this page.

Alternative products to Anti-Nibrin (P461) Antibody (A26129)

Proteins predicted to interact with NBS1

Predicted protein interactions based upon String database. Revelancy score correlates with probability of interaction.
99.9% Relevancy Score
99.9% Relevancy Score
99.9% Relevancy Score
99.9% Relevancy Score
99.8% Relevancy Score
99.8% Relevancy Score
99.4% Relevancy Score
99.3% Relevancy Score
99.3% Relevancy Score