Primary Antibodies
Secondary Antibodies
Proteins & Peptides
ELISA Kits
About Us
Contact Us
Sign In/Register
0
ISO 9001:2015 Certified
Live Customer Support
4.5/5 on Trustpilot
100% Quality Guarantee
Home
Primary Antibodies
Nicastrin Antibodies
Anti-Nicastrin Antibody (A47410)
Anti-Nicastrin Antibody (A47410)
Overview
Specifications
Images
Enlarge Image
Enlarge Image
$780
Product Datasheet
Rabbit polyclonal antibody to Nicastrin for ELISA, WB and IHC.
100% Guarantee
Price Match Guarantee
Product Size:
100µl
Quantity:
1
2
3
4
5
6
7
8
9
10
Add To Cart
Request a Quotation
Custom or Bulk Request
Shipping Information
Freight/Packing Charges:
$40
Dispatched from St. Louis, MO.
Lead Time: 6-9 business days.
Specifications
Name
Anti-Nicastrin Antibody
Description
Rabbit polyclonal antibody to Nicastrin
Applications
ELISA
,
WB
,
IHC
Reactivity
Human, Mouse, Rat
Immunogen
Raised against a 18 amino acid peptide from near the center of human Nicastrin.
Host
Rabbit
Clonality
Polyclonal
Conjugate
Unconjugated
Purification
Affinity chromatography purified via peptide column
Formulation
Supplied in phosphate-buffered saline with 0.02% Sodium Azide.
Storage
Shipped at 4°C. Upon delivery aliquot and store at -20°C. Avoid freeze/thaw cycles.
Synonyms
KIAA0253, NCSTN
Suitable Secondaries
Goat Anti-Rabbit IgG H&L Antibody (AP) (A294874)
Goat Anti-Rabbit IgG H&L Antibody (Biotin) (A294795)
Goat Anti-Rabbit IgG H&L Antibody (FITC) (A294887)
Goat Anti-Rabbit IgG H&L Antibody (HRP) (A294888)
See all Anti-Rabbit IgG Secondaries →
Disclaimer
This product is for research use only. It is not intended for diagnostic or therapeutic use.
Scientific Validation Data
Validation Data
(2)
Enlarge Image
Anti-Nicastrin Antibody (A47410)
Western blot analysis of Nicastrin in human brain tissue lysate with Nicastrin antibody at (A) 0.5 and (B) 1ug/mL.
Enlarge Image
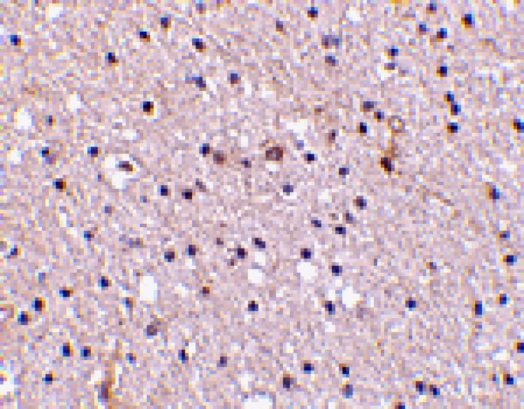
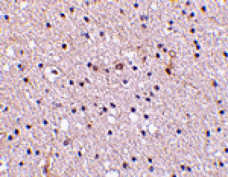
Immunohistochemistry - Anti-Nicastrin Antibody (A47410)
Immunohistochemistry of Nicastrin in human brain tissue with Nicastrin antibody at 2.5 µg/mL.
Publishing research using Anti-Nicastrin Antibody (A47410)? Please
let us know
so that we can list the citation on this page.
Alternative products to Anti-Nicastrin Antibody (A47410)
(3)
A87881
Anti-Nicastrin Antibody
Rabbit polyclonal antibody to Nicastrin for WB and ICC/IF.
(2)
A47409
Anti-Nicastrin Antibody
Rabbit polyclonal antibody to Nicastrin for ELISA, WB and IHC.
(2)
A12524
Anti-Nicastrin Antibody
Rabbit polyclonal antibody to Nicastrin for WB and ICC/IF.
A37523
Anti-NCSTN Antibody
Rabbit polyclonal antibody to NCSTN for WB and ICC/IF.
A347407
Anti-Nicastrin Antibody [23GB1040]
Recombinant rabbit monoclonal [23GB1040] antibody to Nicastrin for WB and Flow Cytometry.
A347406
Anti-Nicastrin Antibody [24GB12650]
Recombinant rabbit monoclonal [24GB12650] antibody to Nicastrin for WB and Flow Cytometry.
(3)
A87881
Anti-Nicastrin Antibody
Rabbit polyclonal antibody to Nicastrin for WB and ICC/IF.
(2)
A47409
Anti-Nicastrin Antibody
Rabbit polyclonal antibody to Nicastrin for ELISA, WB and IHC.
(2)
A12524
Anti-Nicastrin Antibody
Rabbit polyclonal antibody to Nicastrin for WB and ICC/IF.
A37523
Anti-NCSTN Antibody
Rabbit polyclonal antibody to NCSTN for WB and ICC/IF.
A347407
Anti-Nicastrin Antibody [23GB1040]
Recombinant rabbit monoclonal [23GB1040] antibody to Nicastrin for WB and Flow Cytometry.
A347406
Anti-Nicastrin Antibody [24GB12650]
Recombinant rabbit monoclonal [24GB12650] antibody to Nicastrin for WB and Flow Cytometry.
See all Nicastrin Antibodies
Proteins predicted to interact with Nicastrin
Predicted protein interactions based upon String database. Revelancy score correlates with probability of interaction.
APH1a Antibodies
99.9% Relevancy Score
Presenilin 1 Antibodies
99.9% Relevancy Score
Aph 1b Antibodies
99.9% Relevancy Score
PEN2 Antibodies
99.9% Relevancy Score
Presenilin 2 Antibodies
99.9% Relevancy Score
APP Antibodies
99.8% Relevancy Score
TMP21 Antibodies
99.7% Relevancy Score
Notch1 Antibodies
98.6% Relevancy Score
AARE Antibodies
91.1% Relevancy Score
Top