ISO 9001:2015 Certified
Live Customer Support
4.5/5 on Trustpilot
100% Quality Guarantee

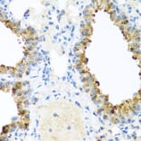
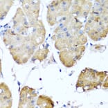
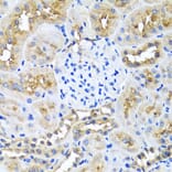
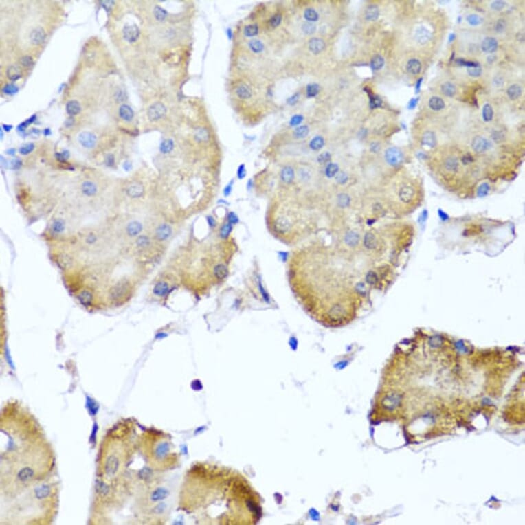
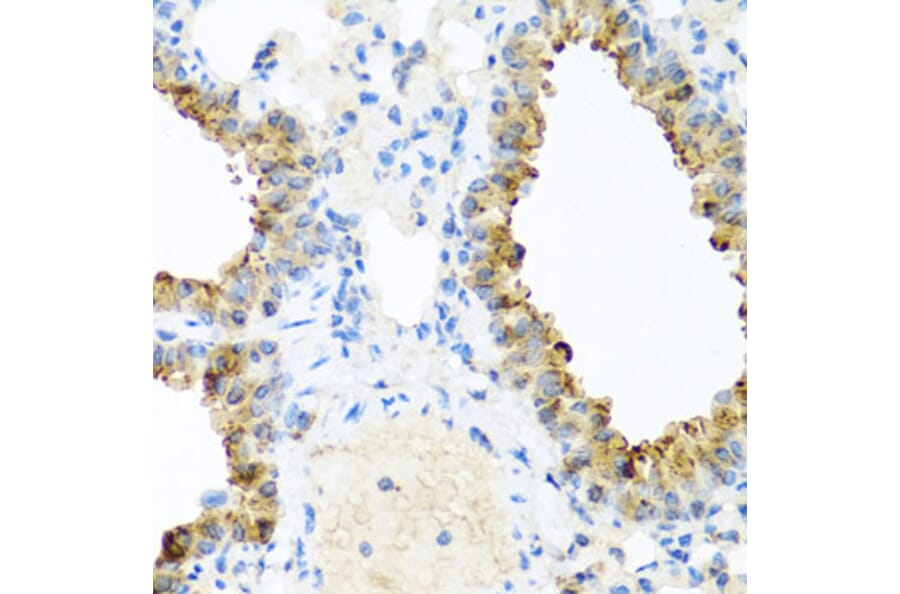
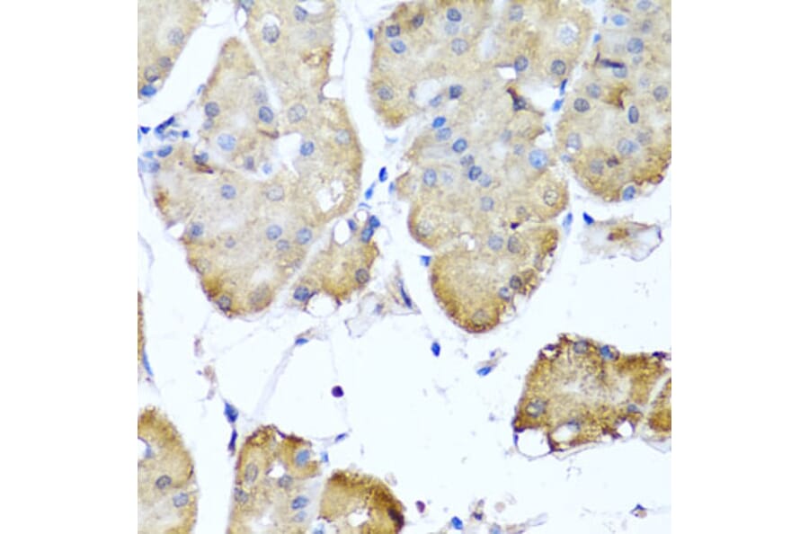
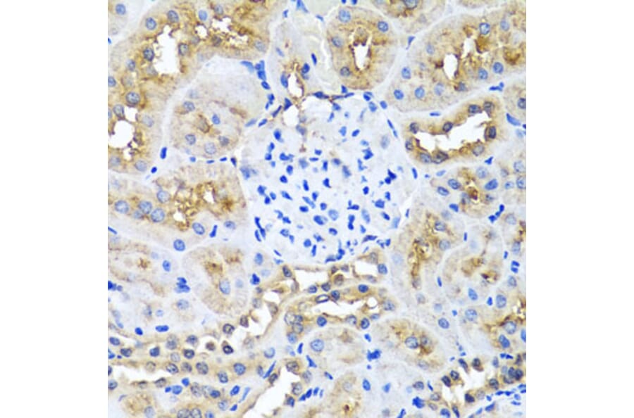
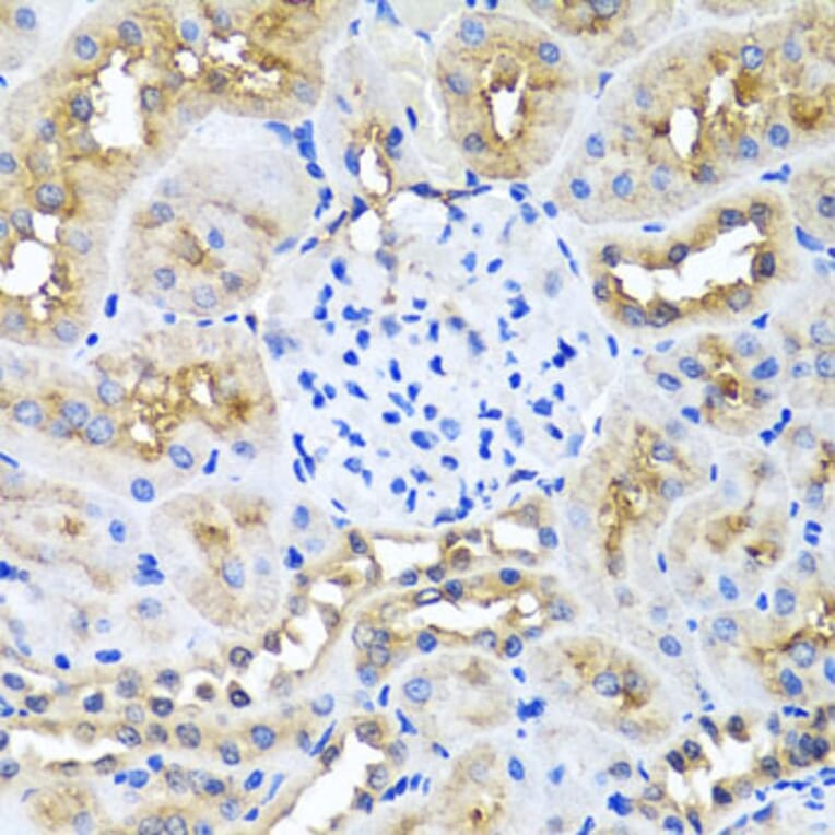
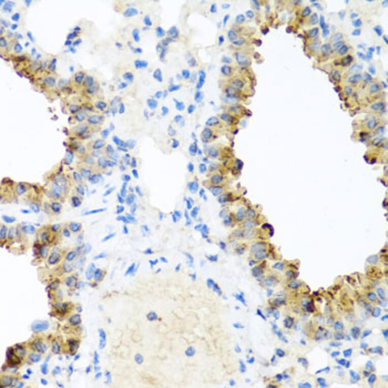
Anti-Ninein/NIN Antibody (A16118)

Rabbit polyclonal antibody to Ninein/NIN for WB and IHC.

Shipping Information

$40
Dispatched from St. Louis, MO.
Lead Time: 7-10 business days.
Name
Anti-Ninein/NIN Antibody
Description
Rabbit polyclonal antibody to Ninein/NIN.
Applications
WB, IHC
Dilutions
WB: 1:500-1:1,000, IHC: 1:50-1:100
Reactivity
Human, Mouse, Rat
Immunogen
Recombinant fusion protein containing a sequence corresponding to amino acids 1-287 of human NIN (NP_891991.1).
Sequence
MDEVEQDQHEARLKELFDSFDTTGTGSLGQEELTDLCHMLSLEEVAPVLQQTLLQDNLLGRVHFDQFKEALILILSRTLSNEEHFQEPDCSLEAQPKYVRGGKRYGRRSLPEFQESVEEFPEVTVIEPLDEEARPSHIPAGDCSEHWKTQRSEEYEAEGQLRFWNPDDLNASQSGSSPPQDWIEEKLQEVCEDLGITRDGHLNRKKLVSICEQYGLQNVDGEMLEEVFHNLDPDGTMSVEDFFYGLFKNGKSLTPSASTPYRQLKRHLSMQSFDESGRRTTTSSAMT
Host
Rabbit
Clonality
Polyclonal
Isotype
IgG
Conjugate

Unconjugated

Purification
Affinity purification.
Concentration
Lot Specific
Molecular Weight
190 kDa
Product Form
Liquid
Formulation
Supplied in Phosphate Buffered Saline, pH 7.3, with 50% Glycerol and 0.02% Sodium Azide.
Storage
Shipped at 4°C. Upon delivery aliquot and store at -20°C. Avoid freeze/thaw cycles.
Disclaimer
This product is for research use only. It is not intended for diagnostic or therapeutic use.
Publishing research using Anti-Ninein/NIN Antibody (A16118)? Please let us know so that we can list the citation on this page.