Primary Antibodies
Secondary Antibodies
Proteins & Peptides
ELISA Kits
About Us
Contact Us
Sign In/Register
0
ISO 9001:2015 Certified
Live Customer Support
4.5/5 on Trustpilot
100% Quality Guarantee
Home
Primary Antibodies
NIT1 Antibodies
Anti-NIT1 Antibody (A46806)
Anti-NIT1 Antibody (A46806)
Overview
Specifications
Images
Enlarge Image
Enlarge Image
Enlarge Image
$430
Rabbit polyclonal antibody to NIT1 for IHC.
100% Guarantee
Price Match Guarantee
Product Size:
100µl
Quantity:
1
2
3
4
5
6
7
8
9
10
Add To Cart
Request a Quotation
Custom or Bulk Request
Shipping Information
Freight/Packing Charges:
$40
Dispatched from St. Louis, MO.
Lead Time: 6-9 business days.
Specifications
Name
Anti-NIT1 Antibody
Description
Rabbit polyclonal antibody to NIT1
Specificity
The antibody detects endogenous levels of total NIT1 protein.
Applications
IHC
Reactivity
Human
Immunogen
Fusion protein corresponding to a region derived from internal residues of human nitrilase 1
Host
Rabbit
Clonality
Polyclonal
Conjugate
Unconjugated
Purification
Antigen affinity purification.
Concentration
2.2 mg/ml
Formulation
Rabbit IgG in pH7.3 PBS, 0.05% NaN3, 50% Glycerol.
Storage
Store at -20˚C
Synonyms
Deaminated glutathione amidase, dGSH amidase, Nitrilase homolog 1
Suitable Secondaries
Goat Anti-Rabbit IgG H&L Antibody (AP) (A294874)
Goat Anti-Rabbit IgG H&L Antibody (Biotin) (A294795)
Goat Anti-Rabbit IgG H&L Antibody (FITC) (A294887)
Goat Anti-Rabbit IgG H&L Antibody (HRP) (A294888)
See all Anti-Rabbit IgG Secondaries →
Disclaimer
This product is for research use only. It is not intended for diagnostic or therapeutic use.
Scientific Validation Data
Validation Data
(3)
Enlarge Image
Anti-NIT1 Antibody (A46806)
Gel: 8% SDS-PAGE Lysates (from left to right): Human placenta and fetal liver tissue Amount of lysate: 40ug per lane Primary antibody: 1/250 dilution Secondary antibody dilution: 1/8000 Exposure time: 2 minute
Enlarge Image
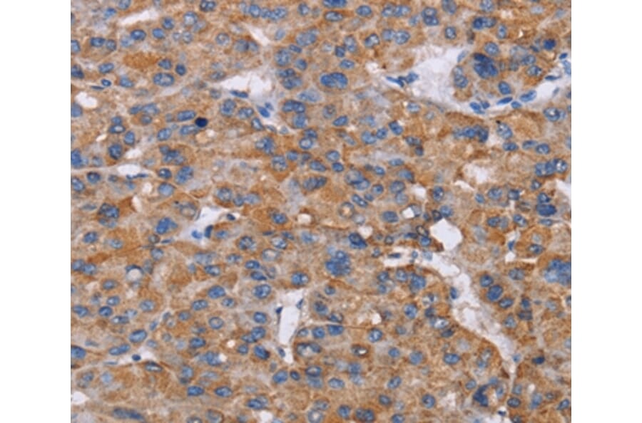
Immunohistochemistry - Anti-NIT1 Antibody (A46806)
Immunohistochemical analysis of paraffin-embedded Human liver cancer tissue using #36652 at dilution 1/50.
Enlarge Image
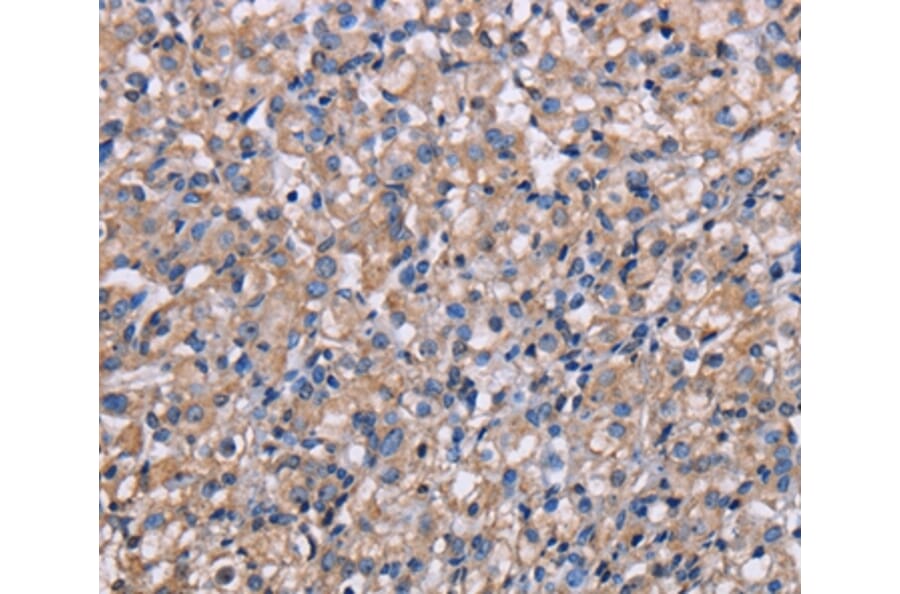
Immunohistochemistry - Anti-NIT1 Antibody (A46806)
Immunohistochemical analysis of paraffin-embedded Human prostate cancer tissue using #36652 at dilution 1/50.
Publishing research using Anti-NIT1 Antibody (A46806)? Please
let us know
so that we can list the citation on this page.
Alternative products to Anti-NIT1 Antibody (A46806)
A89297
Anti-NIT1 Antibody
Rabbit polyclonal antibody to NIT1 for WB.
A89297
Anti-NIT1 Antibody
Rabbit polyclonal antibody to NIT1 for WB.
Proteins predicted to interact with NIT1
Predicted protein interactions based upon String database. Revelancy score correlates with probability of interaction.
FHIT Antibodies
89.5% Relevancy Score
NDUAB Antibodies
64% Relevancy Score
DEDD Antibodies
60.1% Relevancy Score
BCAT2 Antibodies
59.5% Relevancy Score
Insulin Antibodies
56.3% Relevancy Score
Spermidine Synthase Antibodies
52.8% Relevancy Score
QPRT Antibodies
49.5% Relevancy Score
NUDT15 Antibodies
47.5% Relevancy Score
Spermine Synthase Antibodies
47.3% Relevancy Score
Top