Western Blot - Anti-Nitrotyrosine Antibody [39B6] (A304794)
Western blot analysis of human Recombinant Protein showing detection of Multiple Bands Nitrotyrosine protein using Anti-Nitrotyrosine Antibody [39B6] (A304794) at 1:1,000 for 2 hours at room temperature with shaking. Lane 1: MW Ladder. Lane 2: hASYN Monomer (3.84 ug). Lane 3: Nitrosylated hASYN (3.84 ug). Block: 5% Skim Milk Powder in TBST. The secondary antibody used was Goat anti-mouse IgG:HRP at 1:4,000 for 2 hour at room temperature with shaking. Color Development: Chemiluminescent for HRP (Moss) for 5 minutes in room temperature. Predicted/Observed Size: Multiple Bands.
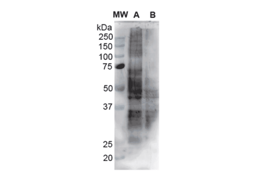
Western Blot - Anti-Nitrotyrosine Antibody [39B6] (A304794)
Western blot analysis of human A549 cells showing detection of Multiple Bands Nitrotyrosine protein using Anti-Nitrotyrosine Antibody [39B6] (A304794) at 1:1,000 for 2. Lane 1: MW ladder. Lane 2: human A549 Cells 15 ug). Load: 15 ug. Block: 5% Skim Milk Powder in TBST. 5 hours at room temperature with shaking. The secondary antibody used was Goat anti-mouse IgG:HRP at 1:1,000 for 1 hour at room temperature with shaking. Color Development: Chemiluminescent for HRP (Moss) for 5 minutes in room temperature. Predicted/Observed Size: Multiple Bands.
Immunohistochemistry analysis of human colon carcinoma, fixed in formalin. The Primary Antibody used was Anti-Nitrotyrosine Antibody [39B6] (A304794) at 1:25,000 for 12 hours at 4°C. The secondary antibody used was Biotin Goat Anti-Mouse at 1:2000 for 1 hour at room temperature. Counterstain: Mayer Hematoxylin (purple/blue) nuclear stain at 200 µl for 2 minutes at room temperature. Magnification: 40x.
Immunohistochemistry analysis of mouse backskin, fixed in Bouin's fixative solution and paraffin-embedded. The Primary Antibody used was Anti-Nitrotyrosine Antibody [39B6] (A304794) at 1:100 for 1 hour at room temperature. The secondary antibody used was FITC Goat Anti-Mouse (green) at 1:50 for 1 hour at room temperature. Backskin obtained from transgenic mice.
Immunohistochemistry analysis of rat liver tissue. The Primary Antibody used was Anti-Nitrotyrosine Antibody [39B6] (A304794) at 1:1,000. The secondary antibody used was FITC Goat Anti-Mouse (green).
Immunohistochemistry analysis of mouse inflamed colon, fixed in formalin. The Primary Antibody used was Anti-Nitrotyrosine Antibody [39B6] (A304794) at 1:1000000 for 12 hours at 4°C. The secondary antibody used was Biotin Goat Anti-Mouse at 1:2000 for 1 hour at room temperature. Counterstain: Mayer Hematoxylin (purple/blue) nuclear stain at 200 µl for 2 minutes at room temperature. Magnification: 40x. With anti-microbial.
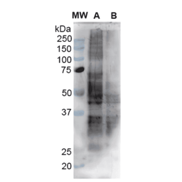
Western Blot - Anti-Nitrotyrosine Antibody [39B6] (A304794)
Western blot analysis of human HEK293 cells showing detection of Nitrotyrosine protein using Anti-Nitrotyrosine Antibody [39B6] (A304794) diluted in 1. Lane 1: MW Ladder. Lane A: Nitrosylated-HEK293 (15uL). Lane B: HEK293 (15 ug). Block: 5% Skim Milk Powder in TBST. 5% BSA and TBST for 1 hours at room temperature with shaking. The secondary antibody used was Goat anti-mouse IgG: HRP at 1:4,000 for 1 hour at room temperature with shaking. Predicted/Observed Size: Multiple Bands.
Immunohistochemistry analysis of mouse retinal injury model. The Primary Antibody used was Anti-Nitrotyrosine Antibody [39B6] (A304794) at 1:1,000. The secondary antibody used was Alexa Fluor 594 Goat Anti-Mouse (red).