Primary Antibodies
Secondary Antibodies
Proteins & Peptides
ELISA Kits
About Us
Contact Us
Sign In/Register
0
ISO 9001:2015 Certified
Live Customer Support
4.5/5 on Trustpilot
100% Quality Guarantee
Home
Primary Antibodies
NLRP6 Antibodies
Anti-NLRP6 Antibody (A46254)
Anti-NLRP6 Antibody (A46254)
Overview
Specifications
Images
Enlarge Image
Enlarge Image
$430
Rabbit polyclonal antibody to NLRP6 for IHC.
100% Guarantee
Price Match Guarantee
Product Size:
100µl
Quantity:
1
2
3
4
5
6
7
8
9
10
Add To Cart
Request a Quotation
Custom or Bulk Request
Shipping Information
Freight/Packing Charges:
$40
Dispatched from St. Louis, MO.
Lead Time: 6-9 business days.
Specifications
Name
Anti-NLRP6 Antibody
Description
Rabbit polyclonal antibody to NLRP6
Specificity
The antibody detects endogenous levels of total NLRP6 protein.
Applications
IHC
Reactivity
Human
Immunogen
Synthetic peptide corresponding to a region derived from internal residues of human NLR family, pyrin domain containing 6
Host
Rabbit
Clonality
Polyclonal
Conjugate
Unconjugated
Purification
Antigen affinity purification.
Concentration
3 mg/ml
Formulation
Rabbit IgG in pH7.3 PBS, 0.05% NaN3, 50% Glycerol.
Storage
Store at -20˚C
Synonyms
Angiotensin II/vasopressin receptor, NACHT, LRR and PYD domains-containing protein 6, NALP6, PYPAF5, PYRIN-containing APAF1-like protein 5
Suitable Secondaries
Goat Anti-Rabbit IgG H&L Antibody (AP) (A294874)
Goat Anti-Rabbit IgG H&L Antibody (Biotin) (A294795)
Goat Anti-Rabbit IgG H&L Antibody (FITC) (A294887)
Goat Anti-Rabbit IgG H&L Antibody (HRP) (A294888)
See all Anti-Rabbit IgG Secondaries →
Disclaimer
This product is for research use only. It is not intended for diagnostic or therapeutic use.
Scientific Validation Data
Validation Data
(2)
Enlarge Image
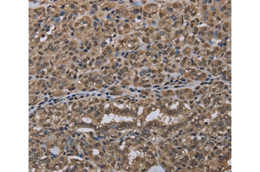
Immunohistochemistry - Anti-NLRP6 Antibody (A46254)
Immunohistochemical analysis of paraffin-embedded Human thyroid cancer tissue using #37752 at dilution 1/50.
Enlarge Image
Immunohistochemistry - Anti-NLRP6 Antibody (A46254)
Immunohistochemical analysis of paraffin-embedded Human brain tissue using #37752 at dilution 1/50.
Publishing research using Anti-NLRP6 Antibody (A46254)? Please
let us know
so that we can list the citation on this page.
Alternative products to Anti-NLRP6 Antibody (A46254)
A87824
Anti-NLRP6 Antibody
Rabbit polyclonal antibody to NLRP6 for WB.
(2)
A48841
Anti-NALP6 Antibody
Rabbit polyclonal antibody to NALP6 for E, WB and ICC.
A309887
Anti-Nlrp6 Antibody
Rabbit polyclonal antibody to Nlrp6 for WB.
A87824
Anti-NLRP6 Antibody
Rabbit polyclonal antibody to NLRP6 for WB.
(2)
A48841
Anti-NALP6 Antibody
Rabbit polyclonal antibody to NALP6 for E, WB and ICC.
A309887
Anti-Nlrp6 Antibody
Rabbit polyclonal antibody to Nlrp6 for WB.
Proteins predicted to interact with NLRP6
Predicted protein interactions based upon String database. Revelancy score correlates with probability of interaction.
NLRC4 Antibodies
99.9% Relevancy Score
AIM2 Antibodies
99.9% Relevancy Score
Caspase-1 Antibodies
99.9% Relevancy Score
NLRP3 Antibodies
99.8% Relevancy Score
NLRP1 Antibodies
99.8% Relevancy Score
ASC Antibodies
99.4% Relevancy Score
NLRP7 Antibodies
98.8% Relevancy Score
NALP12 Antibodies
98.6% Relevancy Score
Pyrin Antibodies
98.4% Relevancy Score
Top