ISO 9001:2015 Certified
Live Customer Support
4.5/5 on Trustpilot
100% Quality Guarantee

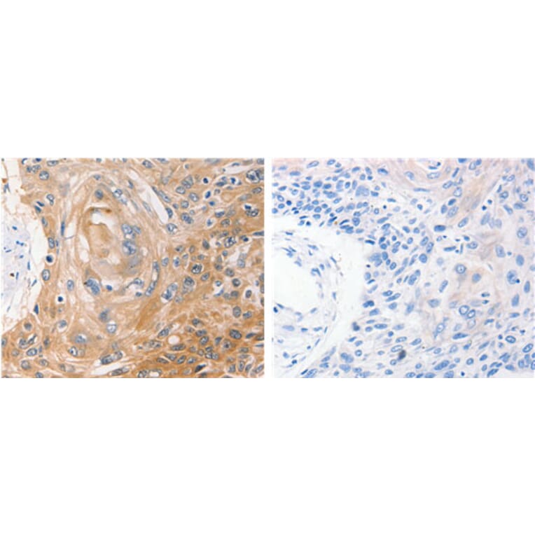
Anti-NME1 Antibody (A48476)

Rabbit polyclonal antibody to NME1 for ELISA, WB and IHC.

Shipping Information

$40
Dispatched from St. Louis, MO.
Lead Time: 6-9 business days.
Name
Anti-NME1 Antibody
Description
Rabbit polyclonal antibody to NME1
Specificity
The antibody detects endogenous level of total NME1 protein.
Applications
ELISA, WB, IHC
Reactivity
Human
Immunogen
Full length fusion protein
Host
Rabbit
Clonality
Polyclonal
Conjugate

Unconjugated

Formulation
Supplied in phosphate-buffered saline (without Mg²? and Ca²?), pH 7.3, containing 150 mM NaCl, 0.05% sodium azide, and 50% glycerol.
Storage
Shipped at 4°C. Upon delivery aliquot and store at -20°C. Avoid freeze/thaw cycles.
Synonyms
GAAD, Granzyme A-activated DNase, Metastasis inhibition factor nm23, NDK A, NDP kinase A, NDPKA, NM23, NM23-H1, Nucleoside diphosphate kinase A, Tumor metastatic process-associated protein
Disclaimer
This product is for research use only. It is not intended for diagnostic or therapeutic use.
Publishing research using Anti-NME1 Antibody (A48476)? Please let us know so that we can list the citation on this page.

Alternative products to Anti-NME1 Antibody (A48476)

Proteins predicted to interact with NME1

Predicted protein interactions based upon String database. Revelancy score correlates with probability of interaction.
99.5% Relevancy Score
98.9% Relevancy Score
98.4% Relevancy Score
98.2% Relevancy Score
97.8% Relevancy Score
96.5% Relevancy Score
95.8% Relevancy Score
95.8% Relevancy Score
95.1% Relevancy Score