Western Blot - Anti-nmt55/p54nrb Antibody [ARC0836] (A306132)
Western blot analysis of extracts of various cell lines, using Anti-nmt55/p54nrb Antibody [ARC0836] (A306132) at 1:1,000 dilution. The secondary antibody was Goat Anti-Rabbit IgG H&L Antibody (HRP) at 1:10,000 dilution. Lysates/proteins were present at 25µg per lane. The blocking buffer used was 3% non-fat dry milk in TBST. Detection was with a ECL Basic Kit. Exposure time: 3min.
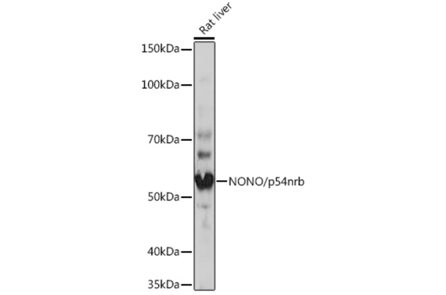
Western Blot - Anti-nmt55/p54nrb Antibody [ARC0836] (A306132)
Western blot analysis of extracts of Rat liver, using Anti-nmt55/p54nrb Antibody [ARC0836] (A306132) at 1:1,000 dilution. The secondary antibody was Goat Anti-Rabbit IgG H&L Antibody (HRP) at 1:10,000 dilution. Lysates/proteins were present at 25µg per lane. The blocking buffer used was 3% non-fat dry milk in TBST. Detection was with a ECL Basic Kit. Exposure time: 3min.
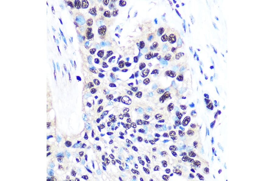
Immunohistochemistry analysis of paraffin-embedded human esophageal cancer using Anti-nmt55/p54nrb Antibody [ARC0836] (A306132) at a dilution of 1:100 (40x lens). Perform microwave antigen retrieval with 10 mM PBS buffer pH 7.2 before commencing with IHC staining protocol.
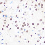
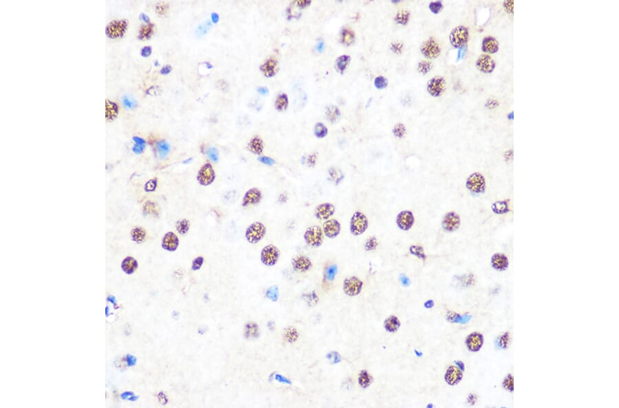
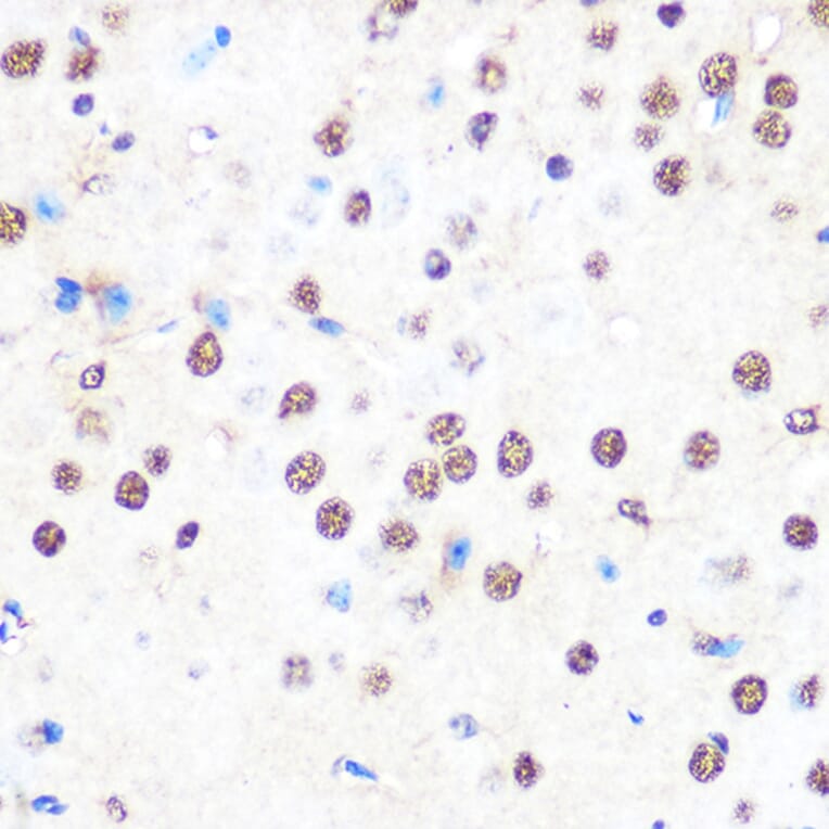
Immunohistochemistry analysis of paraffin-embedded mouse brain using Anti-nmt55/p54nrb Antibody [ARC0836] (A306132) at a dilution of 1:100 (40x lens). Perform microwave antigen retrieval with 10 mM PBS buffer pH 7.2 before commencing with IHC staining protocol.
Immunofluorescence analysis of C6 cells using Anti-nmt55/p54nrb Antibody [ARC0836] (A306132) at a dilution of 1:100 (40x lens). DAPI was used to stain the cell nuclei (blue).
Immunofluorescence analysis of NIH-3T3 cells using Anti-nmt55/p54nrb Antibody [ARC0836] (A306132) at a dilution of 1:100 (40x lens). DAPI was used to stain the cell nuclei (blue).
Immunofluorescence analysis of U-2 OS cells using Anti-nmt55/p54nrb Antibody [ARC0836] (A306132) at a dilution of 1:100 (40x lens). DAPI was used to stain the cell nuclei (blue).