Primary Antibodies
Secondary Antibodies
Proteins & Peptides
ELISA Kits
About Us
Contact Us
Sign In/Register
0
ISO 9001:2015 Certified
Live Customer Support
4.5/5 on Trustpilot
100% Quality Guarantee
Home
Primary Antibodies
Anti-NogoA Antibody (A47910)
Anti-NogoA Antibody (A47910)
Overview
Specifications
Images
Enlarge Image
Enlarge Image
$780
Product Datasheet
Rabbit polyclonal antibody to NogoA for ELISA, WB and IHC.
100% Guarantee
Price Match Guarantee
Product Size:
100µl
Quantity:
1
2
3
4
5
6
7
8
9
10
Add To Cart
Request a Quotation
Custom or Bulk Request
Shipping Information
Freight/Packing Charges:
$40
Dispatched from St. Louis, MO.
Lead Time: 6-9 business days.
Specifications
Name
Anti-NogoA Antibody
Description
Rabbit polyclonal antibody to NogoA
Specificity
At least five isoforms, of Nogo are known to exist; this antibody is This antibody is specific for NogoA.
Applications
ELISA
,
WB
,
IHC
Reactivity
Human, Mouse, Rat
Immunogen
Raised against a 23 amino acid peptide from near the amino terminus of human NogoA.
Host
Rabbit
Clonality
Polyclonal
Conjugate
Unconjugated
Purification
Affinity chromatography purified via peptide column
Formulation
Supplied in phosphate-buffered saline with 0.02% Sodium Azide.
Storage
Shipped at 4°C. Upon delivery aliquot and store at -20°C. Avoid freeze/thaw cycles.
Suitable Secondaries
Goat Anti-Rabbit IgG H&L Antibody (AP) (A294874)
Goat Anti-Rabbit IgG H&L Antibody (Biotin) (A294795)
Goat Anti-Rabbit IgG H&L Antibody (FITC) (A294887)
Goat Anti-Rabbit IgG H&L Antibody (HRP) (A294888)
See all Anti-Rabbit IgG Secondaries →
Disclaimer
This product is for research use only. It is not intended for diagnostic or therapeutic use.
Scientific Validation Data
Validation Data
(2)
Enlarge Image
Anti-NogoA Antibody (A47910)
Western blot analysis of NogoA in mouse brain tissue lysate with NogoA antibody at (A) 0.5 and (B) 1 µg/mL.
Enlarge Image
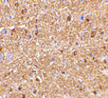
Immunohistochemistry - Anti-NogoA Antibody (A47910)
Immunohistochemistry of NogoA in mouse brain tissue with NogoA antibody at 2.5 µg/mL.
Publishing research using Anti-NogoA Antibody (A47910)? Please
let us know
so that we can list the citation on this page.
Top