Primary Antibodies
Secondary Antibodies
Proteins & Peptides
ELISA Kits
About Us
Contact Us
Sign In/Register
0
ISO 9001:2015 Certified
Live Customer Support
4.5/5 on Trustpilot
100% Quality Guarantee
Home
Primary Antibodies
NOL3 Antibodies
Anti-NOL3 Antibody (A46752)
Anti-NOL3 Antibody (A46752)
Overview
Specifications
Images
Enlarge Image
Enlarge Image
$430
Rabbit polyclonal antibody to NOL3 for IHC.
100% Guarantee
Price Match Guarantee
Product Size:
100µl
Quantity:
1
2
3
4
5
6
7
8
9
10
Add To Cart
Request a Quotation
Custom or Bulk Request
Shipping Information
Freight/Packing Charges:
$40
Dispatched from St. Louis, MO.
Lead Time: 6-9 business days.
Specifications
Name
Anti-NOL3 Antibody
Description
Rabbit polyclonal antibody to NOL3
Specificity
The antibody detects endogenous levels of total NOL3 protein.
Applications
IHC
Reactivity
Human
Immunogen
Full length fusion protein
Host
Rabbit
Clonality
Polyclonal
Conjugate
Unconjugated
Purification
Antigen affinity purification.
Concentration
1.4 mg/ml
Formulation
Rabbit IgG in pH7.3 PBS, 0.05% NaN3, 50% Glycerol.
Storage
Store at -20˚C
Synonyms
Apoptosis repressor with CARD, ARC, Muscle-enriched cytoplasmic protein, Myp, NOP, Nop30, Nucleolar protein 3, Nucleolar protein of 30 kDa
Suitable Secondaries
Goat Anti-Rabbit IgG H&L Antibody (AP) (A294874)
Goat Anti-Rabbit IgG H&L Antibody (Biotin) (A294795)
Goat Anti-Rabbit IgG H&L Antibody (FITC) (A294887)
Goat Anti-Rabbit IgG H&L Antibody (HRP) (A294888)
See all Anti-Rabbit IgG Secondaries →
Disclaimer
This product is for research use only. It is not intended for diagnostic or therapeutic use.
Scientific Validation Data
Validation Data
(2)
Enlarge Image
Immunohistochemistry - Anti-NOL3 Antibody (A46752)
Immunohistochemical analysis of paraffin-embedded Human brain tissue using #36121 at dilution 1/35.
Enlarge Image
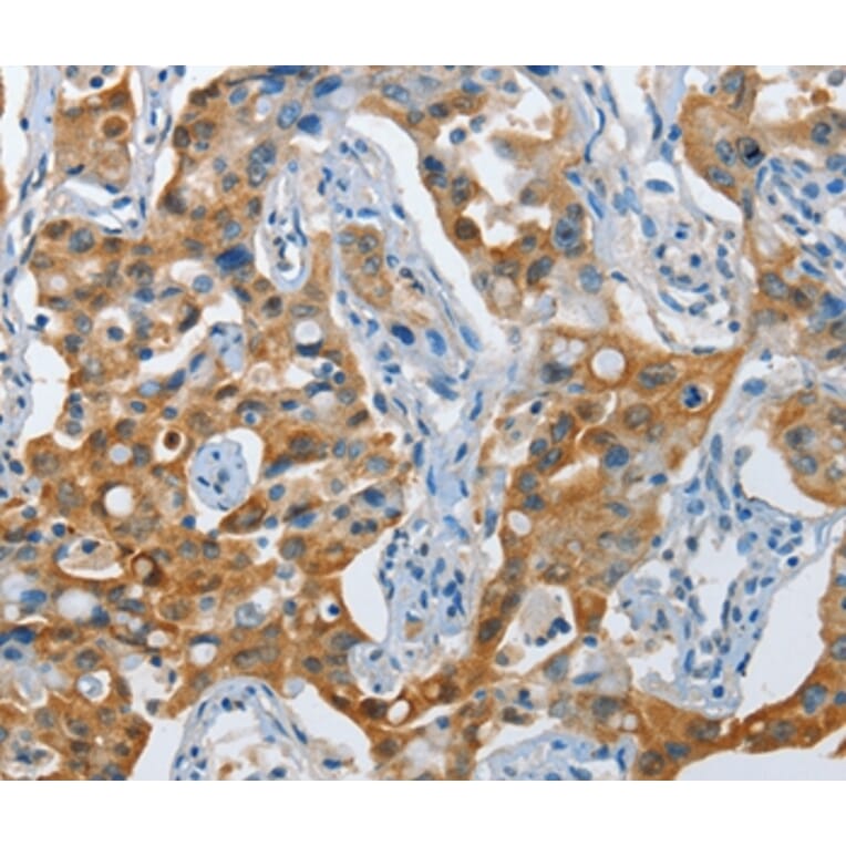
Immunohistochemistry - Anti-NOL3 Antibody (A46752)
Immunohistochemical analysis of paraffin-embedded Human liver cancer tissue using #36121 at dilution 1/35.
Publishing research using Anti-NOL3 Antibody (A46752)? Please
let us know
so that we can list the citation on this page.
Alternative products to Anti-NOL3 Antibody (A46752)
(4)
A15171
Anti-NOL3 Antibody
Rabbit polyclonal antibody to NOL3 for WB, IHC and ICC/IF.
(2)
A40006
Anti-NOL3 Antibody
Rabbit polyclonal antibody to NOL3 for WB and IF.
(3)
A100060
Anti-ARC Antibody
Rabbit polyclonal antibody to ARC for WB, IHC and ELISA.
A49362
Anti-Nop30 Antibody
Rabbit polyclonal antibody to Nop30 for E and WB.
A89054
Anti-NOL3 Antibody
Rabbit polyclonal antibody to NOL3 for WB, ICC/IF and ELISA.
(4)
A15171
Anti-NOL3 Antibody
Rabbit polyclonal antibody to NOL3 for WB, IHC and ICC/IF.
(2)
A40006
Anti-NOL3 Antibody
Rabbit polyclonal antibody to NOL3 for WB and IF.
(3)
A100060
Anti-ARC Antibody
Rabbit polyclonal antibody to ARC for WB, IHC and ELISA.
A49362
Anti-Nop30 Antibody
Rabbit polyclonal antibody to Nop30 for E and WB.
A89054
Anti-NOL3 Antibody
Rabbit polyclonal antibody to NOL3 for WB, ICC/IF and ELISA.
See all NOL3 Antibodies
Proteins predicted to interact with NOL3
Predicted protein interactions based upon String database. Revelancy score correlates with probability of interaction.
Caspase-8 Antibodies
82.2% Relevancy Score
Caspase-2 Antibodies
55.8% Relevancy Score
Daxx Antibodies
53.9% Relevancy Score
FADD Antibodies
45.8% Relevancy Score
p53 Antibodies
43.3% Relevancy Score
ETNK2 Antibodies
42% Relevancy Score
BFAR Antibodies
41.2% Relevancy Score
RAIDD Antibodies
41.2% Relevancy Score
FLIP Antibodies
41.1% Relevancy Score
Top