ISO 9001:2015 Certified
Live Customer Support
4.5/5 on Trustpilot
100% Quality Guarantee

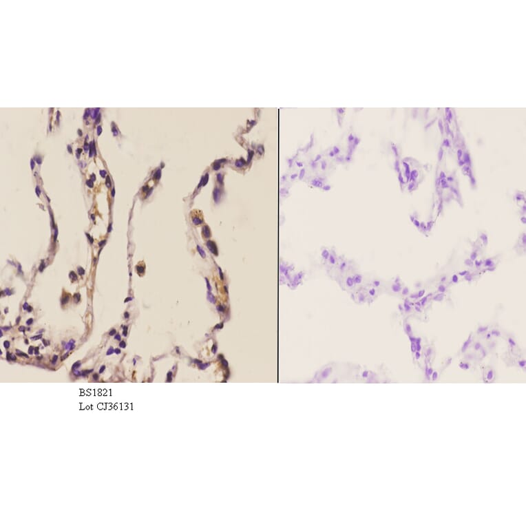
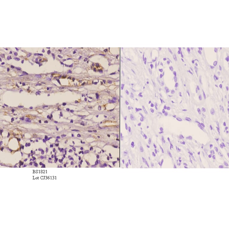
Anti-NOS1 (Y846) Antibody (A25820)

$390

Rabbit polyclonal antibody to NOS1 (Y846) for WB, IHC and IF.

Shipping Information

$40
Dispatched from St. Louis, MO.
Lead Time: 7-10 business days.
Name
Anti-NOS1 (Y846) Antibody
Description
Rabbit polyclonal antibody to NOS1 (Y846)
Specificity
NOS1 (Y846) pAb detects endogenous levels of NOS1 protein.
Applications
WB, IHC, IF
Reactivity
Human, Mouse, Rat
Immunogen
Synthetic peptide, corresponding to amino acids 815-862 of Human NOS1.
Host
Rabbit
Clonality
Polyclonal
Conjugate

Unconjugated

Molecular Weight
~ 43,125,149,160 kDa
Purity
The antibody was affinity-purified from rabbit antiserum by affinity-chromatography using epitope-specific immunogen and the purity is > 95% (by SDS-PAGE).
Product Form
1 mg/ml in Phosphate buffered saline (PBS) with 0.05% sodium azide, approx. pH 7.2.
Synonyms
2310005C01Rik, BNOS, Constitutive NOS, EC 1.14.13.39, IHPS 1, IHPS1, N-NOS, NC-NOS, neuronal Nitric Oxide Synthase, Neuronal NOS, Nitric oxide synthase , neuronal, included, Nitric oxide synthase 1, Nitric oxide synthase 1 (neuronal), Nitric oxide synthase, brain, Nitric oxide synthase, penile neuronal, included, NNOS, nNOS (neuronal), NO, NOS, NOS 1, NOS type I, NOS-I, NOS1_HUMAN, Peptidyl-cysteine S-nitrosylase NOS1
Disclaimer
This product is for research use only. It is not intended for diagnostic or therapeutic use.
Publishing research using Anti-NOS1 (Y846) Antibody (A25820)? Please let us know so that we can list the citation on this page.