Primary Antibodies
Secondary Antibodies
Proteins & Peptides
ELISA Kits
About Us
Contact Us
Sign In/Register
0
ISO 9001:2015 Certified
Live Customer Support
4.5/5 on Trustpilot
100% Quality Guarantee
Home
Primary Antibodies
Notch2 Antibodies
Anti-NOTCH2 Antibody (A37269)
Anti-NOTCH2 Antibody (A37269)
Overview
Specifications
Images
Enlarge Image
Enlarge Image
$430
Product Datasheet
Rabbit polyclonal antibody to NOTCH2 for WB and IHC.
100% Guarantee
Price Match Guarantee
Product Size:
100µl
Quantity:
1
2
3
4
5
6
7
8
9
10
Add To Cart
Request a Quotation
Custom or Bulk Request
Shipping Information
Freight/Packing Charges:
$40
Dispatched from St. Louis, MO.
Lead Time: 6-9 business days.
Tags:
Dendritic Cell Marker
Specifications
Name
Anti-NOTCH2 Antibody
Description
Rabbit polyclonal antibody to NOTCH2
Specificity
The antibody detects endogenous levels of total NOTCH2 protein.
Applications
WB
,
IHC
Reactivity
Human
Immunogen
Synthetic peptide corresponding to residues near the C terminal of human notch 2
Host
Rabbit
Clonality
Polyclonal
Conjugate
Unconjugated
Purification
Antigen affinity purification.
Concentration
0.9 mg/mL
Formulation
Supplied in PBS, pH 7.3, containing 0.05% sodium azide and 50% glycerol.
Storage
Shipped at 4°C. Upon delivery aliquot and store at -20°C. Avoid freeze/thaw cycles.
Synonyms
hN2, N2N, Neurogenic locus notch homolog protein 2, Notch 2, Notch homolog 2 N-terminal-like protein, Notch homolog 2 N-terminal-like protein A, NOTCH2NL, NOTCH2NLA
Suitable Secondaries
Goat Anti-Rabbit IgG H&L Antibody (AP) (A294874)
Goat Anti-Rabbit IgG H&L Antibody (Biotin) (A294795)
Goat Anti-Rabbit IgG H&L Antibody (FITC) (A294887)
Goat Anti-Rabbit IgG H&L Antibody (HRP) (A294888)
See all Anti-Rabbit IgG Secondaries →
Disclaimer
This product is for research use only. It is not intended for diagnostic or therapeutic use.
Scientific Validation Data
Validation Data
(2)
Enlarge Image
Anti-NOTCH2 Antibody (A37269)
Gel: 8% SDS-PAGE Lysate: 40ug Hela cell Primary antibody: 1/450 dilution Secondary antibody dilution: 1/8000 Exposure time: 10 minutes
Enlarge Image
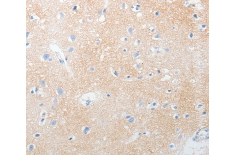
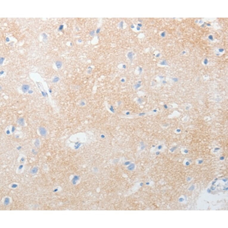
Immunohistochemistry - Anti-NOTCH2 Antibody (A37269)
Immunohistochemical analysis of paraffin-embedded Human brain tissue using #37193 at dilution 1/30.
Publishing research using Anti-NOTCH2 Antibody (A37269)? Please
let us know
so that we can list the citation on this page.
Alternative products to Anti-NOTCH2 Antibody (A37269)
(4)
A329685
Anti-Notch2 Antibody
Rabbit polyclonal antibody to Notch2 for WB, ICC/IF and ELISA.
(2)
A11168
Anti-Notch2 Antibody
Rabbit polyclonal antibody to Notch2 for WB and ICC/IF.
A93619
Anti-Notch 2 (cleaved Asp1733) Antibody
Rabbit polyclonal antibody to Notch 2 (cleaved Asp1733) for IF, WB, IHC and ELISA.
(2)
A93536
Anti-NOTCH2 (cleaved Ala1734) Antibody
Rabbit polyclonal antibody to NOTCH2 (cleaved Ala1734) for WB and ELISA.
A93535
Anti-NOTCH2 (cleaved Val1697) Antibody
Rabbit polyclonal antibody to NOTCH2 (cleaved Val1697) for WB and ELISA.
A337938
Anti-Notch2 Nanobody [SAA1287]
Recombinant alpaca monoclonal [SAA1287] nanobody to Notch2 for ELISA.
(4)
A329685
Anti-Notch2 Antibody
Rabbit polyclonal antibody to Notch2 for WB, ICC/IF and ELISA.
(2)
A11168
Anti-Notch2 Antibody
Rabbit polyclonal antibody to Notch2 for WB and ICC/IF.
A93619
Anti-Notch 2 (cleaved Asp1733) Antibody
Rabbit polyclonal antibody to Notch 2 (cleaved Asp1733) for IF, WB, IHC and ELISA.
(2)
A93536
Anti-NOTCH2 (cleaved Ala1734) Antibody
Rabbit polyclonal antibody to NOTCH2 (cleaved Ala1734) for WB and ELISA.
A93535
Anti-NOTCH2 (cleaved Val1697) Antibody
Rabbit polyclonal antibody to NOTCH2 (cleaved Val1697) for WB and ELISA.
A337938
Anti-Notch2 Nanobody [SAA1287]
Recombinant alpaca monoclonal [SAA1287] nanobody to Notch2 for ELISA.
See all NOTCH2 Antibodies
Proteins predicted to interact with Notch2
Predicted protein interactions based upon String database. Revelancy score correlates with probability of interaction.
Jagged1 Antibodies
99.9% Relevancy Score
DLL4 Antibodies
99.9% Relevancy Score
Jagged 2 Antibodies
99.9% Relevancy Score
DLL1 Antibodies
99.9% Relevancy Score
RBPJ Antibodies
99.8% Relevancy Score
DLL3 Antibodies
99.8% Relevancy Score
MAML1 Antibodies
99.1% Relevancy Score
Lunatic Fringe Antibodies
97.9% Relevancy Score
Numb Antibodies
97.5% Relevancy Score
Top