ISO 9001:2015 Certified
Live Customer Support
4.5/5 on Trustpilot
100% Quality Guarantee

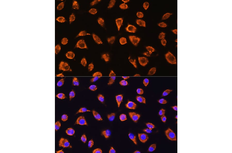
Anti-NOTCH4 Antibody (A16148)

Rabbit polyclonal antibody to NOTCH4 for WB and ICC/IF.

Shipping Information

$40
Dispatched from St. Louis, MO.
Lead Time: 7-10 business days.
Name
Anti-NOTCH4 Antibody
Description
Rabbit polyclonal antibody to NOTCH4.
Applications
WB, ICC/IF
Dilutions
WB: 1:500-1:2,000, ICC/IF: 1:50-1:200
Reactivity
Human, Mouse, Rat
Immunogen
Recombinant fusion protein containing a sequence corresponding to amino acids 1824-2003 of human NOTCH4 (NP_004548.3).
Sequence
PPEARHKATPGREAGPFPRARTVSVSVPPHGGGALPRCRTLSAGAGPRGGGACLQARTWSVDLAARGGGAYSHCRSLSGVGAGGGPTPRGRRFSAGMRGPRPNPAIMRGRYGVAAGRGGRVSTDDWPCDWVALGACGSASNIPIPPPCLTPSPERGSPQLDCGPPALQEMPINQGGEGKK
Host
Rabbit
Clonality
Polyclonal
Isotype
IgG
Conjugate

Unconjugated

Purification
Affinity purification.
Concentration
Lot Specific
Molecular Weight
88 kDa
Product Form
Liquid
Formulation
Supplied in Phosphate Buffered Saline, pH 7.3, with 50% Glycerol and 0.02% Sodium Azide.
Storage
Shipped at 4°C. Upon delivery aliquot and store at -20°C. Avoid freeze/thaw cycles.
Synonyms
hNotch4, INT3, Neurogenic locus notch homolog protein 4, Notch 4
Disclaimer
This product is for research use only. It is not intended for diagnostic or therapeutic use.
Publishing research using Anti-NOTCH4 Antibody (A16148)? Please let us know so that we can list the citation on this page.

Alternative products to Anti-NOTCH4 Antibody (A16148)

Proteins predicted to interact with Notch4

Predicted protein interactions based upon String database. Revelancy score correlates with probability of interaction.
99.9% Relevancy Score
99.9% Relevancy Score
99.8% Relevancy Score
99.8% Relevancy Score
99.8% Relevancy Score
98.8% Relevancy Score
98.4% Relevancy Score
98.1% Relevancy Score
97.1% Relevancy Score