ISO 9001:2015 Certified
Live Customer Support
4.5/5 on Trustpilot
100% Quality Guarantee

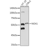
Anti-NOX1 Antibody (A90454)

Rabbit polyclonal antibody to NOX1 for WB and ICC/IF.

Shipping Information

$40
Dispatched from St. Louis, MO.
Lead Time: 7-10 business days.
Name
Anti-NOX1 Antibody
Description
Rabbit polyclonal antibody to NOX1.
Applications
WB, ICC/IF
Dilutions
WB: 1:100-1:500, ICC/IF: 1:50-1:200
Reactivity
Human, Rat
Immunogen
A synthetic peptide corresponding to a sequence within amino acids 200-300 of human NOX1 (NP_008983.2).
Sequence
YFEVFWYTHHLFIFYILGLGIHGIGGIVRGQTEESMNESHPRKCAESFEMWDDRDSHCRRPKFEGHPPESWKWILAPVILYICERILRFYRSQQKVVITKV
Host
Rabbit
Clonality
Polyclonal
Isotype
IgG
Conjugate

Unconjugated

Purification
Affinity purification.
Concentration
Lot Specific
Molecular Weight
65 kDa
Product Form
Liquid
Formulation
Supplied in Phosphate Buffered Saline, pH 7.3, with 50% Glycerol and 0.01% Thiomersal.
Storage
Shipped at 4°C. Upon delivery aliquot and store at -20°C. Avoid freeze/thaw cycles.
Synonyms
Mitogenic oxidase 1, MOX-1, MOX1, NADH/NADPH mitogenic oxidase subunit P65-MOX, NADPH oxidase 1, NOH-1, NOH1, NOX-1
Disclaimer
This product is for research use only. It is not intended for diagnostic or therapeutic use.
Publishing research using Anti-NOX1 Antibody (A90454)? Please let us know so that we can list the citation on this page.

Alternative products to Anti-NOX1 Antibody (A90454)

Proteins predicted to interact with NOX1

Predicted protein interactions based upon String database. Revelancy score correlates with probability of interaction.
99.9% Relevancy Score
99.9% Relevancy Score
99.9% Relevancy Score
99.9% Relevancy Score
99.9% Relevancy Score
99.9% Relevancy Score
99.8% Relevancy Score
99.8% Relevancy Score
99.2% Relevancy Score