ISO 9001:2015 Certified
Live Customer Support
4.5/5 on Trustpilot
100% Quality Guarantee

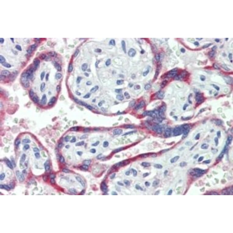
Anti-NOX2 Antibody (A84584)

Goat polyclonal antibody to NOX2 for ELISA and IHC.

Shipping Information

$40
Dispatched from St. Louis, MO.
Lead Time: 7-10 business days.
Name
Anti-NOX2 Antibody
Description
Goat polyclonal antibody to NOX2.
Applications
ELISA, IHC
Dilutions
ELISA: 1:64,000, IHC: 1-2µg/ml
Reactivity
Human
Immunogen
Synthetic peptide corresponding to the internal region of human NOX2.
Sequence
C-SYLNFARKRIKNP
Host
Goat
Clonality
Polyclonal
Isotype
IgG
Conjugate

Unconjugated

Purification
Purified from goat serum by ammonium sulphate precipitation followed by antigen affinity chromatography using the immunizing peptide.
Concentration
500 µg/ml
Product Form
Liquid
Formulation
Supplied in Tris Buffered Saline, pH 7.3, with 0.5% BSA and 0.02% Sodium Azide.
Storage
Shipped at 4°C. Upon delivery aliquot and store at -20°C. Avoid freeze/thaw cycles.
Synonyms
CGD91-phox, CYBB, Cytochrome b(558) subunit beta, Cytochrome b-245 heavy chain, Cytochrome b558 subunit beta, Heme-binding membrane glycoprotein gp91phox, NADPH oxidase 2, Neutrophil cytochrome b 91 kDa polypeptide
Isotype Controls
Disclaimer
This product is for research use only. It is not intended for diagnostic or therapeutic use.
Publishing research using Anti-NOX2 Antibody (A84584)? Please let us know so that we can list the citation on this page.

Alternative products to Anti-NOX2 Antibody (A84584)

Proteins predicted to interact with NOX2

Predicted protein interactions based upon String database. Revelancy score correlates with probability of interaction.
99.9% Relevancy Score
99.9% Relevancy Score
99.9% Relevancy Score
99.9% Relevancy Score
99.9% Relevancy Score
99.8% Relevancy Score
99.8% Relevancy Score
99.5% Relevancy Score
99.4% Relevancy Score