ISO 9001:2015 Certified
Live Customer Support
4.5/5 on Trustpilot
100% Quality Guarantee

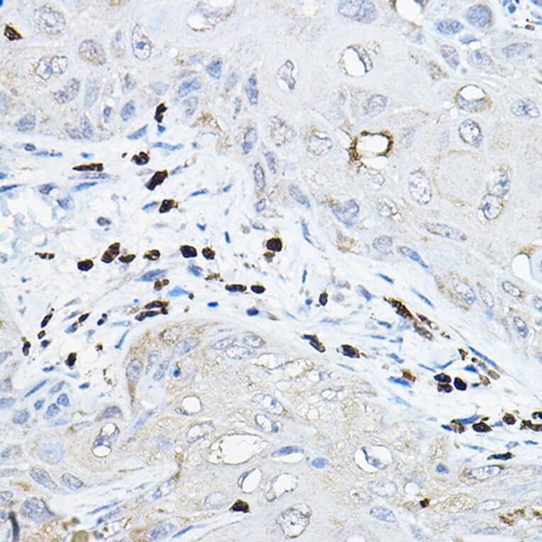
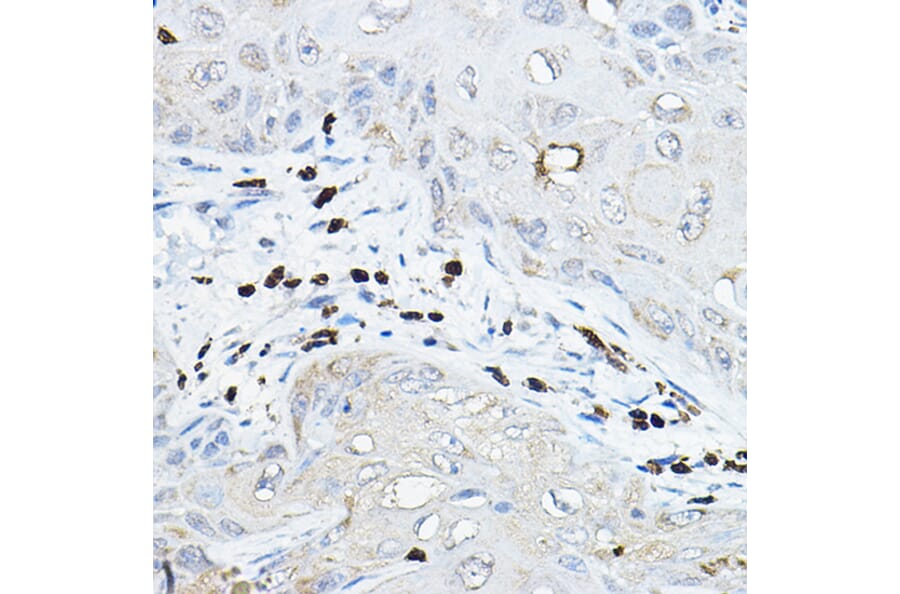
Anti-NOXA2/p67phox Antibody (A13354)

Rabbit polyclonal antibody to NOXA2/p67phox for WB and IHC.

Shipping Information

$40
Dispatched from St. Louis, MO.
Lead Time: 7-10 business days.
Name
Anti-NOXA2/p67phox Antibody
Description
Rabbit polyclonal antibody to NOXA2/p67phox.
Applications
WB, IHC
Dilutions
WB: 1:500-1:2,000, IHC: 1:50-1:200
Reactivity
Human, Mouse
Immunogen
Recombinant fusion protein containing a sequence corresponding to amino acids 227-526 of human NOXA2/p67phox (NP_000424.2).
Sequence
PPPRPKTPEIFRALEGEAHRVLFGFVPETKEELQVMPGNIVFVLKKGNDNWATVMFNGQKGLVPCNYLEPVELRIHPQQQPQEESSPQSDIPAPPSSKAPGRPQLSPGQKQKEEPKEVKLSVPMPYTLKVHYKYTVVMKTQPGLPYSQVRDMVSKKLELRLEHTKLSYRPRDSNELVPLSEDSMKDAWGQVKNYCLTLWCENTVGDQGFPDEPKESEKADANNQTTEPQLKKGSQVEALFSYEATQPEDLEFQEGDIILVLSKVNEEWLEGECKGKVGIFPKVFVEDCATTDLESTRREV
Host
Rabbit
Clonality
Polyclonal
Isotype
IgG
Conjugate

Unconjugated

Purification
Affinity purification.
Concentration
Lot Specific
Molecular Weight
68 kDa
Product Form
Liquid
Formulation
Supplied in Phosphate Buffered Saline, pH 7.3, with 50% Glycerol and 0.02% Sodium Azide.
Storage
Shipped at 4°C. Upon delivery aliquot and store at -20°C. Avoid freeze/thaw cycles.
Synonyms
67 kDa neutrophil oxidase factor, Chronic granulomatous disease autosomal 2, FLJ93058, NADPH oxidase activator 2, NCF-2, Ncf2, NCF2_HUMAN, Neutrophil cytosol factor 2, Neutrophil cytosolic factor 2 (65kD, chronic granulomatous disease, autosomal 2), Neutrophil NADPH oxidase factor 2, NOXA2, P67 PHOX, p67-phox, p67phox
Disclaimer
This product is for research use only. It is not intended for diagnostic or therapeutic use.
Publishing research using Anti-NOXA2/p67phox Antibody (A13354)? Please let us know so that we can list the citation on this page.

Alternative products to Anti-NOXA2/p67phox Antibody (A13354)