ISO 9001:2015 Certified
Live Customer Support
4.5/5 on Trustpilot
100% Quality Guarantee

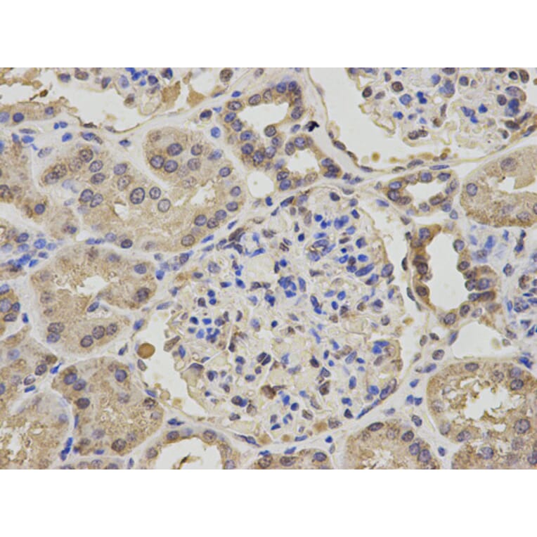
Anti-NPC2 Antibody (A30776)

$435

Rabbit polyclonal antibody to NPC2 for WB, IHC and IF.

Shipping Information

$40
Dispatched from St. Louis, MO.
Lead Time: 7-10 business days.
Name
Anti-NPC2 Antibody
Description
Rabbit polyclonal antibody to NPC2
Specificity
NPC2 pAb detects endogenous levels of NPC2 protein.
Applications
WB, IHC, IF
Reactivity
Human, Mouse, Rat
Immunogen
Recombinant full length Human NPC2.
Host
Rabbit
Clonality
Polyclonal
Conjugate

Unconjugated

Molecular Weight
~17 kDa
Purity
The antibody was affinity-purified from rabbit antiserum by affinity-chromatography using epitope-specific immunogen and the purity is > 95% (by SDS-PAGE).
Product Form
1mg/ml in PBS with 0.1% Sodium Azide, 50% Glycerol.
Synonyms
Epididymal secretory protein E1, HE1, Human epididymis-specific protein 1, Niemann-Pick disease type C2 protein, NPC intracellular cholesterol transporter 2
Disclaimer
This product is for research use only. It is not intended for diagnostic or therapeutic use.
Publishing research using Anti-NPC2 Antibody (A30776)? Please let us know so that we can list the citation on this page.

Alternative products to Anti-NPC2 Antibody (A30776)

Proteins predicted to interact with NPC2

Predicted protein interactions based upon String database. Revelancy score correlates with probability of interaction.
99.9% Relevancy Score
92.5% Relevancy Score
86.1% Relevancy Score
80.8% Relevancy Score
72.8% Relevancy Score
72.2% Relevancy Score
71% Relevancy Score
67.2% Relevancy Score