Primary Antibodies
Secondary Antibodies
Proteins & Peptides
ELISA Kits
About Us
Contact Us
Sign In/Register
0
ISO 9001:2015 Certified
Live Customer Support
4.5/5 on Trustpilot
100% Quality Guarantee
Home
Primary Antibodies
Nephrin Antibodies
Anti-NPHS1 Antibody (A38139)
Anti-NPHS1 Antibody (A38139)
Overview
Specifications
Images
Enlarge Image
Enlarge Image
$415
Rabbit polyclonal antibody to NPHS1 for WB and IHC.
100% Guarantee
Price Match Guarantee
Product Size:
50µl
100µl
Quantity:
1
2
3
4
5
6
7
8
9
10
Add To Cart
Request a Quotation
Custom or Bulk Request
Shipping Information
Freight/Packing Charges:
$40
Dispatched from St. Louis, MO.
Lead Time: 6-9 business days.
Specifications
Name
Anti-NPHS1 Antibody
Description
Rabbit polyclonal antibody to NPHS1
Specificity
The antibody detects endogenous level of total NPHS1 antibody.
Applications
WB
,
IHC
Reactivity
Human, Mouse
Immunogen
A synthetic peptide of human NPHS1.
Host
Rabbit
Clonality
Polyclonal
Conjugate
Unconjugated
Purification
Antibodies were purified by affinity purification using immunogen.
Concentration
1 mg/ml
Formulation
Supplied at 1.0mg / mL in phosphate buffered saline (without Mg2+ and Ca2+), pH 7.4, 150mM NaCl, 0.02% sodium azide and 50% glycerol.
Storage
Store at -20˚C
Synonyms
NPHN, Renal glomerulus-specific cell adhesion receptor
Suitable Secondaries
Goat Anti-Rabbit IgG H&L Antibody (AP) (A294874)
Goat Anti-Rabbit IgG H&L Antibody (Biotin) (A294795)
Goat Anti-Rabbit IgG H&L Antibody (FITC) (A294887)
Goat Anti-Rabbit IgG H&L Antibody (HRP) (A294888)
See all Anti-Rabbit IgG Secondaries →
Disclaimer
This product is for research use only. It is not intended for diagnostic or therapeutic use.
Scientific Validation Data
Validation Data
(2)
Enlarge Image
Anti-NPHS1 Antibody (A38139)
Western blot analysis of extracts of various cell lines, using NPHS1 antibody. (1: Mouse spleen tissue lysate 2: Mouse kidney tissue lysate).
Enlarge Image
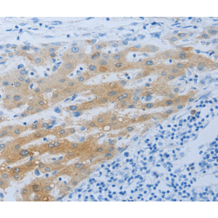
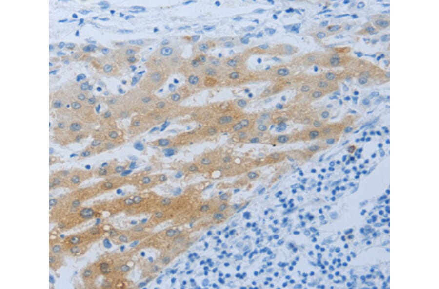
Immunohistochemistry - Anti-NPHS1 Antibody (A38139)
Immunohistochemistry analysis of paraffin-embedded Human liver cancer tissue using NPHS1 antibody.
Publishing research using Anti-NPHS1 Antibody (A38139)? Please
let us know
so that we can list the citation on this page.
Alternative products to Anti-NPHS1 Antibody (A38139)
(2)
A8263
Anti-Nephrin Antibody [Y17-R]
Rabbit monoclonal (Y17-R) antibody to Nephrin for WB, ELISA, IP and ICC.
A8268
Anti-Nephrin Antibody [G17-H]
Rabbit monoclonal (G17-H) antibody to Nephrin for WB, ELISA, IP and ICC.
A96354
Anti-Nephrin Antibody
Rabbit polyclonal antibody to Nephrin for IHC and ELISA.
(2)
A47454
Anti-Nephrin Antibody
Rabbit polyclonal antibody to Nephrin for E, WB and IHC.
(2)
A48146
Anti-NPHS1 Antibody
Rabbit polyclonal antibody to NPHS1 for E, WB and IHC.
(3)
A11603
Anti-Nephrin Antibody
Rabbit polyclonal antibody to Nephrin for WB and ELISA.
(2)
A26895
Anti-Nephrin (H892) Antibody
Rabbit polyclonal antibody to Nephrin (H892) for WB and IHC.
A49886
Anti-Nephrin Antibody
Rabbit polyclonal antibody to Nephrin for E and IHC.
A46507
Anti-NPHS1 Antibody
Rabbit polyclonal antibody to NPHS1 for IHC.
A44735
Anti-Nephrin Antibody
Rabbit polyclonal antibody to Nephrin for IHC.
(2)
A8263
Anti-Nephrin Antibody [Y17-R]
Rabbit monoclonal (Y17-R) antibody to Nephrin for WB, ELISA, IP and ICC.
A8268
Anti-Nephrin Antibody [G17-H]
Rabbit monoclonal (G17-H) antibody to Nephrin for WB, ELISA, IP and ICC.
A96354
Anti-Nephrin Antibody
Rabbit polyclonal antibody to Nephrin for IHC and ELISA.
(2)
A47454
Anti-Nephrin Antibody
Rabbit polyclonal antibody to Nephrin for E, WB and IHC.
(2)
A48146
Anti-NPHS1 Antibody
Rabbit polyclonal antibody to NPHS1 for E, WB and IHC.
(3)
A11603
Anti-Nephrin Antibody
Rabbit polyclonal antibody to Nephrin for WB and ELISA.
(2)
A26895
Anti-Nephrin (H892) Antibody
Rabbit polyclonal antibody to Nephrin (H892) for WB and IHC.
A49886
Anti-Nephrin Antibody
Rabbit polyclonal antibody to Nephrin for E and IHC.
A46507
Anti-NPHS1 Antibody
Rabbit polyclonal antibody to NPHS1 for IHC.
A44735
Anti-Nephrin Antibody
Rabbit polyclonal antibody to Nephrin for IHC.
See all NPHS1 Antibodies
Proteins predicted to interact with Nephrin
Predicted protein interactions based upon String database. Revelancy score correlates with probability of interaction.
KIRREL Antibodies
99.9% Relevancy Score
CD2AP Antibodies
99.9% Relevancy Score
NPHS2 Antibodies
99.9% Relevancy Score
NCK1 Antibodies
99.7% Relevancy Score
ZO-1 Antibodies
99.4% Relevancy Score
alpha Actinin 4 Antibodies
99.3% Relevancy Score
N-WASP Antibodies
99.2% Relevancy Score
TRPC6 Antibodies
99% Relevancy Score
P-Cadherin Antibodies
98.5% Relevancy Score
Top