ISO 9001:2015 Certified
Live Customer Support
4.5/5 on Trustpilot
100% Quality Guarantee

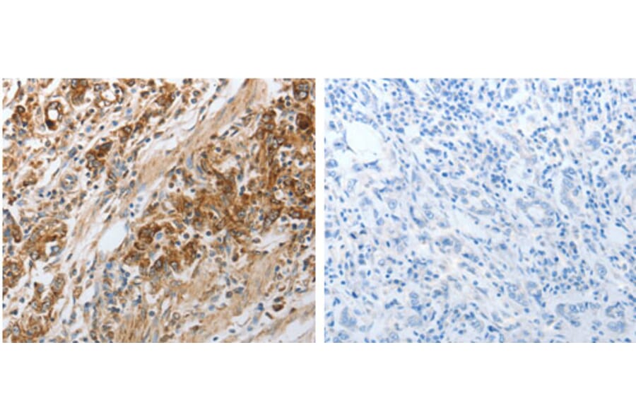
Anti-NPY1R Antibody (A48158)

Rabbit polyclonal antibody to NPY1R for ELISA, WB and IHC.

Shipping Information

$40
Dispatched from St. Louis, MO.
Lead Time: 6-9 business days.
Name
Anti-NPY1R Antibody
Description
Rabbit polyclonal antibody to NPY1R
Specificity
The antibody detects endogenous level of total NPY1R protein.
Applications
ELISA, WB, IHC
Dilutions
ELISA: 1:1000-1:5000 Western blotting: 1:500-1:2000 Immunohistochemistry: 1:25-1:100
Reactivity
Human, Mouse, Rat
Immunogen
Synthetic peptide corresponding to a region derived from 370-384 amino acids of Human neuropeptide Y receptor Y1
Host
Rabbit
Clonality
Polyclonal
Conjugate

Unconjugated

Predicted MW
44kd
Formulation
Supplied in phosphate-buffered saline (without Mg²? and Ca²?), pH 7.3, containing 150 mM NaCl, 0.05% sodium azide, and 50% glycerol.
Storage
Shipped at 4°C. Upon delivery aliquot and store at -20°C. Avoid freeze/thaw cycles.
Synonyms
Neuropeptide Y receptor type 1, NPY1-R, NPYR, NPYY1
Disclaimer
This product is for research use only. It is not intended for diagnostic or therapeutic use.
Publishing research using Anti-NPY1R Antibody (A48158)? Please let us know so that we can list the citation on this page.

Alternative products to Anti-NPY1R Antibody (A48158)

Proteins predicted to interact with NPY1R

Predicted protein interactions based upon String database. Revelancy score correlates with probability of interaction.
99.9% Relevancy Score
99.9% Relevancy Score
99.2% Relevancy Score
92.1% Relevancy Score
91.7% Relevancy Score
91.4% Relevancy Score
89.1% Relevancy Score
82.7% Relevancy Score