ISO 9001:2015 Certified
Live Customer Support
4.5/5 on Trustpilot
100% Quality Guarantee

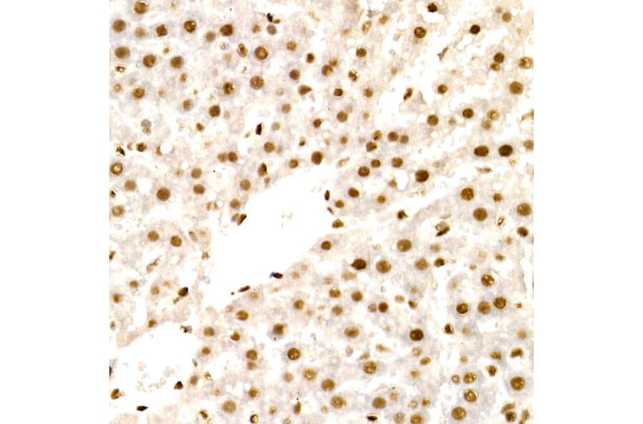
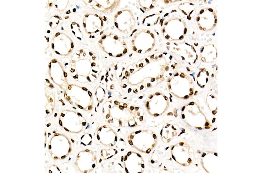
Anti-NR2F2 Antibody (A8562)

Rabbit polyclonal antibody to NR2F2 for WB, IHC and ICC/IF.

Shipping Information

$40
Dispatched from St. Louis, MO.
Lead Time: 7-10 business days.
Name
Anti-NR2F2 Antibody
Description
Rabbit polyclonal antibody to NR2F2.
Applications
WB, IHC, ICC/IF
Dilutions
WB: 1:500-1:1,000, IHC: 1:50-1:200, ICC/IF: 1:50-1:200
Reactivity
Human, Mouse, Rat
Immunogen
A synthetic peptide corresponding to a sequence within amino acids 1-100 of human NR2F2 (NP_066285.1).
Sequence
MAMVVSTWRDPQDEVPGSQGSQASQAPPVPGPPPGAPHTPQTPGQGGPASTPAQTAAGGQGGPGGPGSDKQQQQQHIECVVCGDKSSGKHYGQFTCEGCK
Host
Rabbit
Clonality
Polyclonal
Isotype
IgG
Conjugate

Unconjugated

Purification
Affinity purification.
Concentration
Lot Specific
Molecular Weight
47 kDa
Product Form
Liquid
Formulation
Supplied in Phosphate Buffered Saline, pH 7.3, with 50% Glycerol and 0.02% Sodium Azide.
Storage
Shipped at 4°C. Upon delivery aliquot and store at -20°C. Avoid freeze/thaw cycles.
Synonyms
Apolipoprotein A-I regulatory protein 1, ARP-1, ARP1, COUP transcription factor 2, COUP transcription factor II, COUP-TF II, COUP-TF2, Nuclear receptor subfamily 2 group F member 2, TFCOUP2
Disclaimer
This product is for research use only. It is not intended for diagnostic or therapeutic use.
Publishing research using Anti-NR2F2 Antibody (A8562)? Please let us know so that we can list the citation on this page.

Alternative products to Anti-NR2F2 Antibody (A8562)

Proteins predicted to interact with NR2F2

Predicted protein interactions based upon String database. Revelancy score correlates with probability of interaction.
92.9% Relevancy Score
89.9% Relevancy Score
88.7% Relevancy Score
84.7% Relevancy Score
80.5% Relevancy Score
80.3% Relevancy Score
78.4% Relevancy Score
77.9% Relevancy Score
75.8% Relevancy Score