Primary Antibodies
Secondary Antibodies
Proteins & Peptides
ELISA Kits
About Us
Contact Us
Sign In/Register
0
ISO 9001:2015 Certified
Live Customer Support
4.5/5 on Trustpilot
100% Quality Guarantee
Home
Primary Antibodies
WDR74 Antibodies
Anti-NSA1 Antibody (A48437)
Anti-NSA1 Antibody (A48437)
Overview
Specifications
Images
Enlarge Image
Enlarge Image
$780
Product Datasheet
Rabbit polyclonal antibody to NSA1 for ELISA, WB and IHC.
100% Guarantee
Price Match Guarantee
Product Size:
100µl
Quantity:
1
2
3
4
5
6
7
8
9
10
Add To Cart
Request a Quotation
Custom or Bulk Request
Shipping Information
Freight/Packing Charges:
$40
Dispatched from St. Louis, MO.
Lead Time: 6-9 business days.
Specifications
Name
Anti-NSA1 Antibody
Description
Rabbit polyclonal antibody to NSA1
Applications
ELISA
,
WB
,
IHC
Reactivity
Human, Mouse, Rat
Immunogen
Raised against an 18 amino acid peptide near the carboxy terminus of human NSA1.
Host
Rabbit
Clonality
Polyclonal
Conjugate
Unconjugated
Purification
Affinity chromatography purified via peptide column
Formulation
Supplied in phosphate-buffered saline with 0.02% Sodium Azide.
Storage
Shipped at 4°C. Upon delivery aliquot and store at -20°C. Avoid freeze/thaw cycles.
Synonyms
NOP seven-associated protein 1, WD repeat-containing protein 74
Suitable Secondaries
Goat Anti-Rabbit IgG H&L Antibody (AP) (A294874)
Goat Anti-Rabbit IgG H&L Antibody (Biotin) (A294795)
Goat Anti-Rabbit IgG H&L Antibody (FITC) (A294887)
Goat Anti-Rabbit IgG H&L Antibody (HRP) (A294888)
See all Anti-Rabbit IgG Secondaries →
Disclaimer
This product is for research use only. It is not intended for diagnostic or therapeutic use.
Scientific Validation Data
Validation Data
(2)
Enlarge Image
Anti-NSA1 Antibody (A48437)
Western blot analysis of NSA1 in mouse liver tissue lysate with NSA1 antibody at (A) 1 and (B) 2 µg/mL.
Enlarge Image
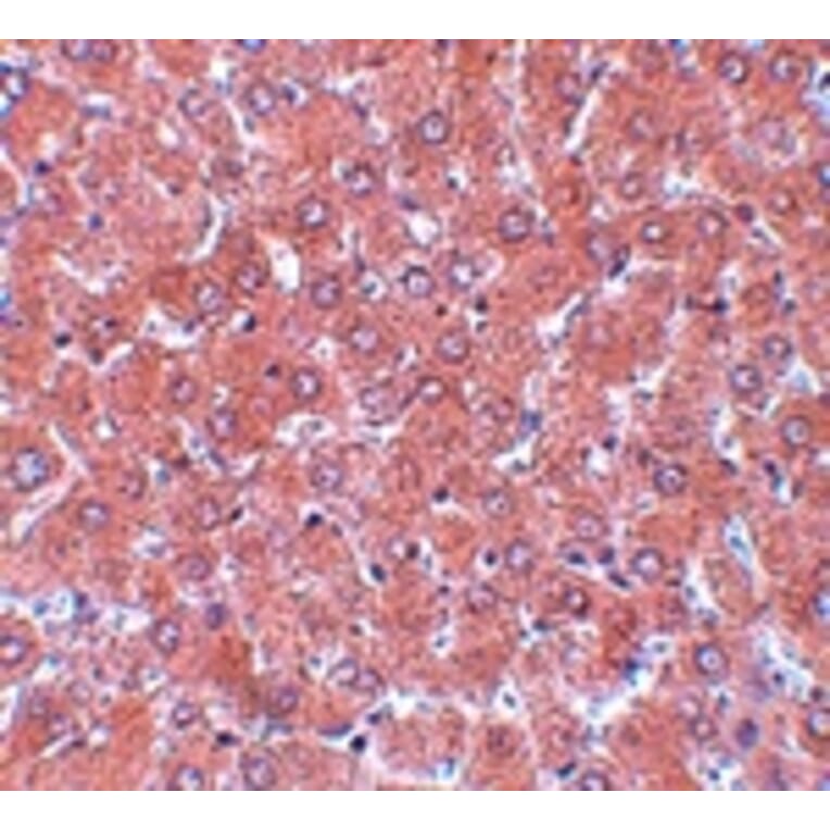
Immunohistochemistry - Anti-NSA1 Antibody (A48437)
Immunohistochemistry of NSA1 in rat liver tissue with NSA1 antibody at 5 µg/mL.
Publishing research using Anti-NSA1 Antibody (A48437)? Please
let us know
so that we can list the citation on this page.
Alternative products to Anti-NSA1 Antibody (A48437)
A323121
Anti-WDR74 Antibody [OTI4B2]
Mouse monoclonal [OTI4B2] antibody to WDR74 for IHC and WB.
A323120
Anti-WDR74 Antibody [OTI4B2] - BSA and Azide free
Mouse monoclonal [OTI4B2] antibody to WDR74 for IHC and WB.
A323123
Anti-WDR74 Antibody [OTI4F2]
Mouse monoclonal [OTI4F2] antibody to WDR74 for WB.
A323122
Anti-WDR74 Antibody [OTI4F2] - BSA and Azide free
Mouse monoclonal [OTI4F2] antibody to WDR74 for WB.
A49685
Anti-NSA1 Antibody
Rabbit polyclonal antibody to NSA1 for ELISA and WB.
A323121
Anti-WDR74 Antibody [OTI4B2]
Mouse monoclonal [OTI4B2] antibody to WDR74 for IHC and WB.
A323120
Anti-WDR74 Antibody [OTI4B2] - BSA and Azide free
Mouse monoclonal [OTI4B2] antibody to WDR74 for IHC and WB.
A323123
Anti-WDR74 Antibody [OTI4F2]
Mouse monoclonal [OTI4F2] antibody to WDR74 for WB.
A323122
Anti-WDR74 Antibody [OTI4F2] - BSA and Azide free
Mouse monoclonal [OTI4F2] antibody to WDR74 for WB.
A49685
Anti-NSA1 Antibody
Rabbit polyclonal antibody to NSA1 for ELISA and WB.
See all NSA1 Antibodies
Proteins predicted to interact with WDR74
Predicted protein interactions based upon String database. Revelancy score correlates with probability of interaction.
EBNA1 Binding Protein 2 Antibodies
99.8% Relevancy Score
WDR12 Antibodies
99.8% Relevancy Score
Pescadillo Antibodies
99.7% Relevancy Score
MAK16 Antibodies
99.7% Relevancy Score
TINP1 Antibodies
99.7% Relevancy Score
FTSJ3 Antibodies
99.7% Relevancy Score
DDX18 Antibodies
99.4% Relevancy Score
GTPBP4 Antibodies
99.4% Relevancy Score
BXDC2 Antibodies
99% Relevancy Score
Top