Immunofluorescent analysis of a section of adult mouse cerebellar dentate nucleus stained with Anti-NSE Antibody (A104334), at a dilution of 1:3,000, in red. The section was co-stained with Anti-GFAP Antibody (A85419), at a dilution of 1:5,000, in green. The blue is Hoechst staining of nuclear DNA. Following transcardial perfusion of mouse with 4% paraformaldehyde, brain was post fixed for 24 hours, cut to 45µM, and free-floating sections were stained with above antibodies. Anti-NSE Antibody (A104334) detects NSE protein heavily expressed in the cytoplasm and dendrites of dentate neurons while Anti-GFAP Antibody (A85419) stains the network of astroglial cells.
Western blot analysis of tissue and cell lysates using Anti-NSE Antibody (A104334), at a dilution of 1:5,000, in green. The lanes contain: [Lane 1] protein standard (red), [Lane 2] rat brain, [Lane 3] mouse brain, [Lane 4] cow brain, and [Lane 5] SH-SY5Y cells. The strong band running at about 47kDa corresponds to the NSE protein.
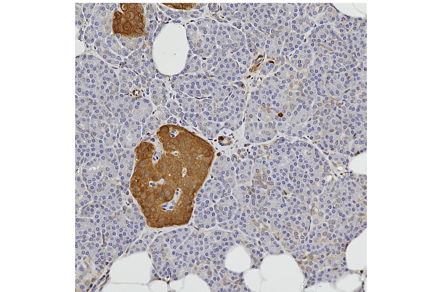
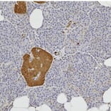
Immunohistochemistry analysis of a formalin fixed paraffin embedded human pancreas section with Anti-NSE Antibody (A104334) at a dilution of 1:10,000 detected in DAB (brown) following the ABC method. Counterstained with Hematoxylin (blue). The NSE antibody robustly stains the neuroendocrine cells of pancreatic islets.
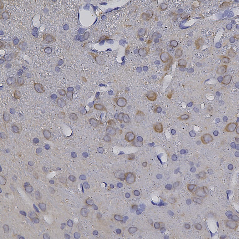
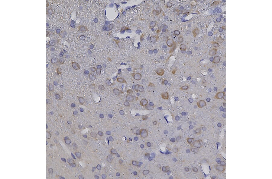
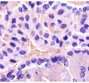
Immunohistochemistry analysis of a formalin fixed paraffin embedded rat cerebral cortex section with Anti-NSE Antibody (A104334) at a dilution of 1:10,000 detected in DAB (brown) following the ABC method. Counterstained with Hematoxylin (blue). The NSE protein is localized to the cytoplasm of most neurons, with the exception of Purkinje cells.
Publishing research using Anti-NSE Antibody (A104334)? Please let us know so that we can list the citation on this page.
Alternative products to Anti-NSE Antibody (A104334)