Supplied in Phosphate Buffered Saline, pH 7.3, with 50% Glycerol and 0.01% Thiomersal.
Storage
Shipped at 4°C. Upon delivery aliquot and store at -20°C. Avoid freeze/thaw cycles.
Synonyms
28S rRNA (cytosine-C(5))-methyltransferase, NOL1-related protein, NOL1/NOP2/Sun domain family member 5, NOL1R, NSUN5A, WBSCR20, WBSCR20A, Williams-Beuren syndrome chromosomal region 20A protein
Western blot analysis of extracts of Rat brain, using Anti-NSUN5 Antibody (A11908) at 1:1,000 dilution. The secondary antibody was Goat Anti-Rabbit IgG H&L Antibody (HRP) at 1:10,000 dilution. Lysates/proteins were present at 25µg per lane. The blocking buffer used was 3% non-fat dry milk in TBST. Detection was with a ECL Basic Kit. Exposure time: 90s.
Western blot analysis of extracts of various cell lines, using Anti-NSUN5 Antibody (A11908) at 1:1,000 dilution. The secondary antibody was Goat Anti-Rabbit IgG H&L Antibody (HRP) at 1:10,000 dilution. Lysates/proteins were present at 25µg per lane. The blocking buffer used was 3% non-fat dry milk in TBST. Detection was with a ECL Basic Kit. Exposure time: 180s.
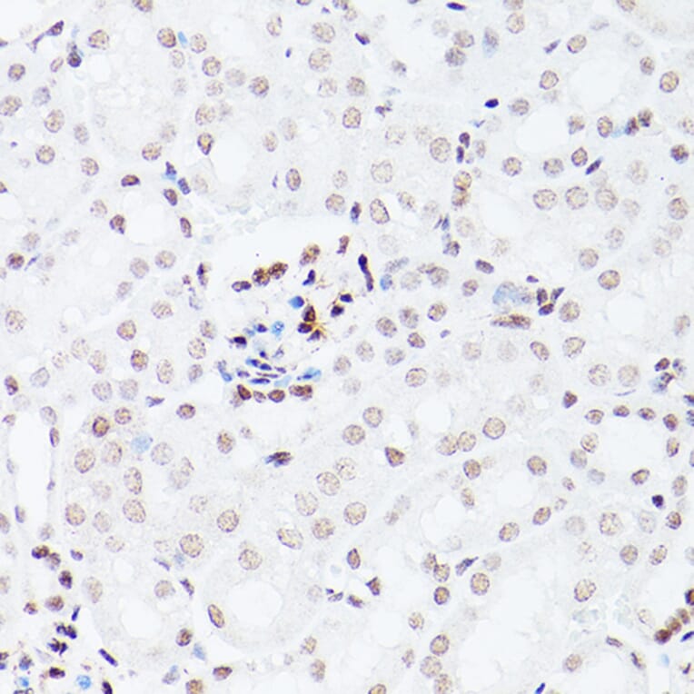
Immunohistochemistry analysis of paraffin-embedded mouse kidney using Anti-NSUN5 Antibody (A11908) Immunohistochemistry analysis of paraffin-embedded Mouse kidney using NSUN5 antibody (A11908) at a dilution of 1:100 (40x lens). Perform high pressure antigen retrieval with 10 mM citrate buffer pH 6.0 before commencing with IHC staining protocol.
Immunohistochemistry analysis of paraffin-embedded mouse spinal cord using Anti-NSUN5 Antibody (A11908)Immunohistochemistry analysis of paraffin-embedded Mouse spinal cord using NSUN5 antibody (A11908) at a dilution of 1:100 (40x lens). Perform high pressure antigen retrieval with 10 mM citrate buffer pH 6.0 before commencing with IHC staining protocol.
Immunohistochemistry analysis of paraffin-embedded rat brain using Anti-NSUN5 Antibody (A11908 )Immunohistochemistry analysis of paraffin-embedded Rat brain using NSUN5 antibody (A11908) at a dilution of 1:100 (40x lens). Perform high pressure antigen retrieval with 10 mM citrate buffer pH 6.0 before commencing with IHC staining protocol.