ISO 9001:2015 Certified
Live Customer Support
4.5/5 on Trustpilot
100% Quality Guarantee

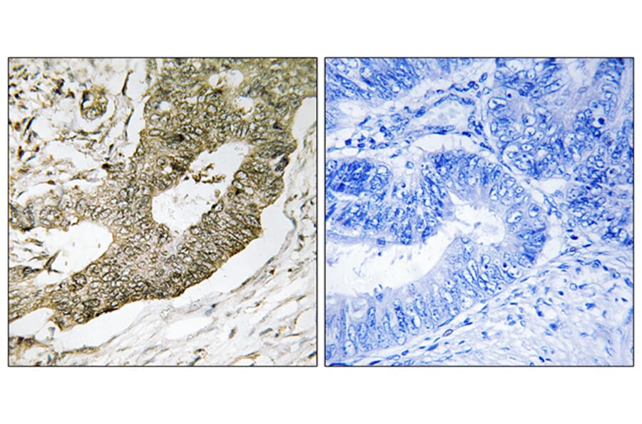
Anti-NUCKS1 Antibody (A96627)

Rabbit polyclonal antibody to NUCKS1 for IHC, IF and ELISA.

Shipping Information

$40
Dispatched from St. Louis, MO.
Lead Time: 6-8 business days.
Name
Anti-NUCKS1 Antibody
Description
Rabbit polyclonal antibody to NUCKS1.
Applications
IHC, IF, ELISA
Dilutions
IHC: 1:50~1:100, ELISA: 1:10000
Reactivity
Human, Mouse, Rat
Cross Reactivity
No reported cross-reactivity.
Immunogen
Synthetic peptide derived from human NUCKS1 (amino acids 28-77).
Host
Rabbit
Clonality
Polyclonal
Isotype
IgG
Conjugate

Unconjugated

Purification
Purified from rabbit serum by antigen affinity chromatography using the immunizing peptide.
Molecular Weight
27kDa
Product Form
Liquid
Formulation
Supplied in Phosphate Buffered Saline (without Mg2+ and Ca2+), pH 7.4, with 150mM NaCl, 0.02% Sodium Azide, and 50% Glycerol.
Storage
Shipped at 4°C. Upon delivery aliquot and store at -20°C. Avoid freeze / thaw cycles.
Synonyms
NUCKS, Nuclear ubiquitous casein and cyclin-dependent kinase substrate 1, P1
Disclaimer
This product is for research use only. It is not intended for diagnostic or therapeutic use.
Publishing research using Anti-NUCKS1 Antibody (A96627)? Please let us know so that we can list the citation on this page.

Alternative products to Anti-NUCKS1 Antibody (A96627)

Proteins predicted to interact with NUCKS1

Predicted protein interactions based upon String database. Revelancy score correlates with probability of interaction.
97% Relevancy Score
82.3% Relevancy Score
78.8% Relevancy Score
68.3% Relevancy Score
63.1% Relevancy Score
57.2% Relevancy Score
54.4% Relevancy Score
50.4% Relevancy Score
49.7% Relevancy Score