Recombinant fusion protein containing a sequence corresponding to amino acids 428-657 of human Nuclear Matrix Protein p84 (Nuclear Matrix Protein p84 (THOC1)) (NP_005122.2).
Western Blot - Anti-Nuclear Matrix Protein p84 Antibody (A16100)
Western blot analysis of extracts of various cell lines, using Anti-Nuclear Matrix Protein p84 Antibody (A16100) at 1:1,000 dilution. The secondary antibody was Goat Anti-Rabbit IgG H&L Antibody (HRP) at 1:10,000 dilution. Lysates/proteins were present at 25µg per lane. The blocking buffer used was 3% non-fat dry milk in TBST. Detection was with a ECL Basic Kit. Exposure time: 1s.
Western Blot - Anti-Nuclear Matrix Protein p84 Antibody (A16100)
Western blot analysis of extracts of various cell lines, using Anti-Nuclear Matrix Protein p84 Antibody (A16100) at 1:1,000 dilution. The secondary antibody was Goat Anti-Rabbit IgG H&L Antibody (HRP) at 1:10,000 dilution. Lysates/proteins were present at 25µg per lane. The blocking buffer used was 3% non-fat dry milk in TBST. Detection was with a ECL Basic Kit. Exposure time: 30s.
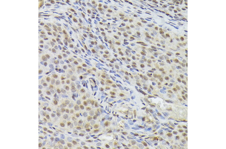
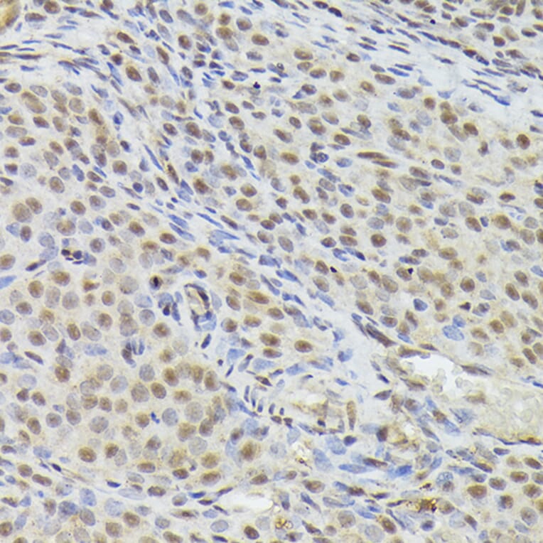
Immunohistochemistry - Anti-Nuclear Matrix Protein p84 Antibody (A16100)
Immunohistochemistry analysis of paraffin-embedded human esophageal cancer using Anti-Nuclear Matrix Protein p84 Antibody (A16100) at a dilution of 1:100 (40x lens). Perform high pressure antigen retrieval with 10 mM citrate buffer pH 6.0 before commencing with IHC staining protocol.
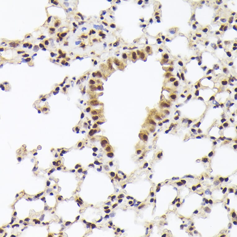
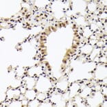
Immunohistochemistry - Anti-Nuclear Matrix Protein p84 Antibody (A16100)
Immunohistochemistry analysis of paraffin-embedded mouse lung using Anti-Nuclear Matrix Protein p84 Antibody (A16100) at a dilution of 1:100 (40x lens). Perform high pressure antigen retrieval with 10 mM citrate buffer pH 6.0 before commencing with IHC staining protocol.
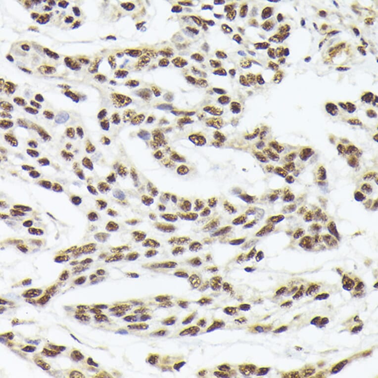
Immunohistochemistry - Anti-Nuclear Matrix Protein p84 Antibody (A16100)
Immunohistochemistry analysis of paraffin-embedded rat ovary using Anti-Nuclear Matrix Protein p84 Antibody (A16100) at a dilution of 1:100 (40x lens). Perform high pressure antigen retrieval with 10 mM citrate buffer pH 6.0 before commencing with IHC staining protocol.
Immunofluorescence - Anti-Nuclear Matrix Protein p84 Antibody (A16100)
Immunofluorescence analysis of U2OS cells using Anti-Nuclear Matrix Protein p84 Antibody (A16100) at a dilution of 1:100. DAPI was used to stain the cell nuclei (blue).