ISO 9001:2015 Certified
Live Customer Support
4.5/5 on Trustpilot
100% Quality Guarantee

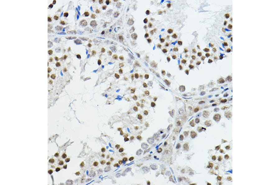
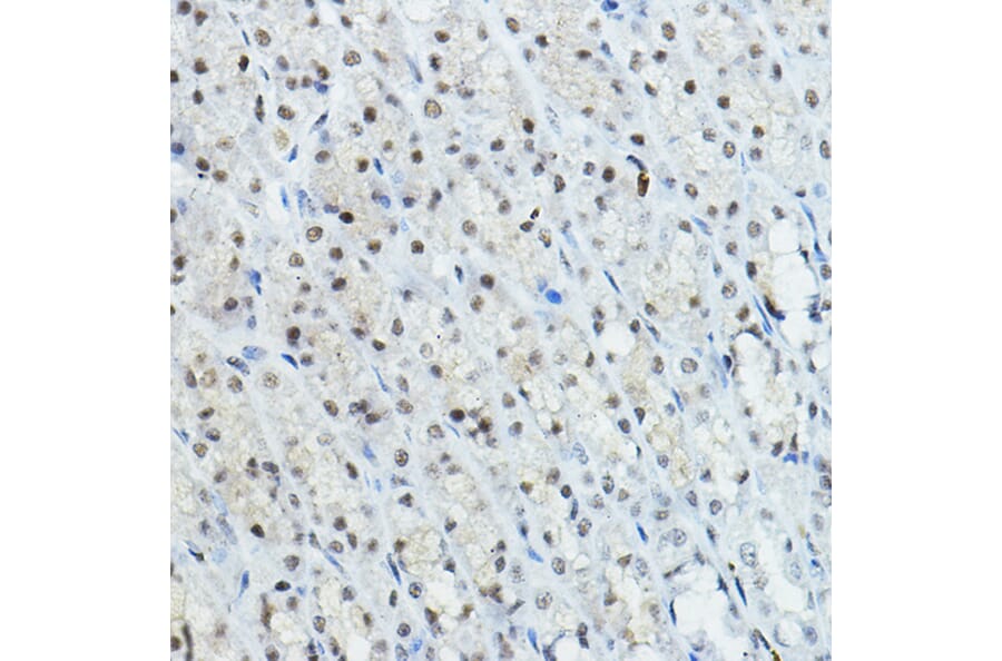
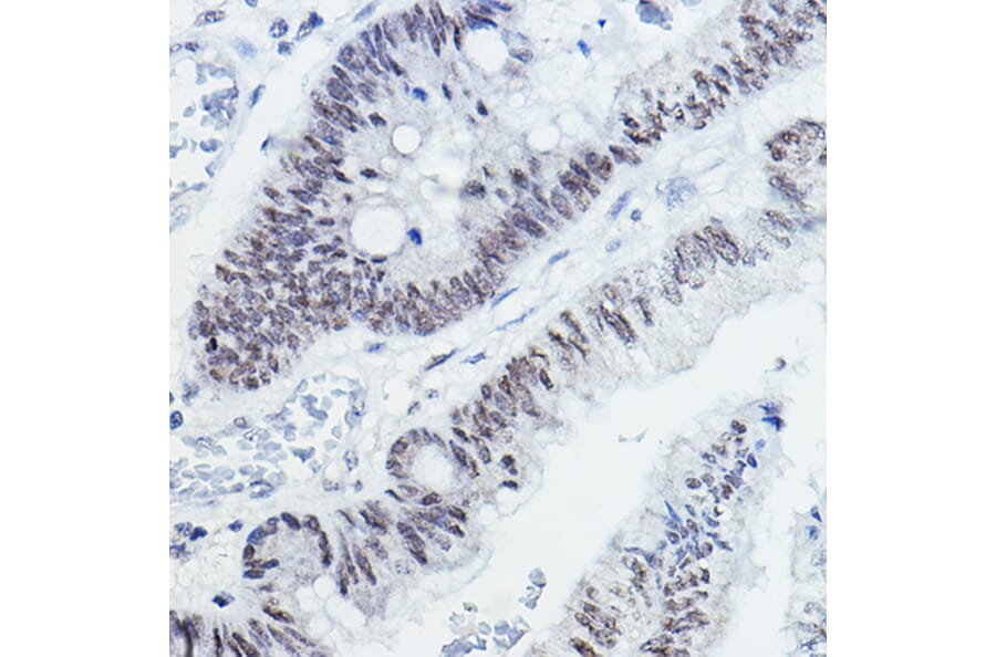
Anti-Nuclear Receptor Corepressor NCoR Antibody (A10050)

Rabbit polyclonal antibody to Nuclear Receptor Corepressor NCoR for WB, IHC and ICC/IF.

Shipping Information

$40
Dispatched from St. Louis, MO.
Lead Time: 7-10 business days.
Name
Anti-Nuclear Receptor Corepressor NCoR Antibody
Description
Rabbit polyclonal antibody to Nuclear Receptor Corepressor NCoR.
Applications
WB, IHC, ICC/IF
Dilutions
WB: 1:100-1:500, IHC: 1:50-1:200, ICC/IF: 1:50-1:100
Reactivity
Human, Mouse, Rat
Immunogen
Recombinant fusion protein containing a sequence corresponding to amino acids 1-200 of human NCOR1 (NP_006302.2).
Sequence
MSSSGYPPNQGAFSTEQSRYPPHSVQYTFPNTRHQQEFAVPDYRSSHLEVSQASQLLQQQQQQQLRRRPSLLSEFHPGSDRPQERRTSYEPFHPGPSPVDHDSLESKRPRLEQVSDSHFQRVSAAVLPLVHPLPEGLRASADAKKDPAFGGKHEAPSSPISGQPCGDDQNASPSKLSKEELIQSMDRVDREIAKVEQQIL
Host
Rabbit
Clonality
Polyclonal
Isotype
IgG
Conjugate

Unconjugated

Purification
Affinity purification.
Concentration
Lot Specific
Molecular Weight
270 kDa
Product Form
Liquid
Formulation
Supplied in Phosphate Buffered Saline, pH 7.3, with 50% Glycerol and 0.02% Sodium Azide.
Storage
Shipped at 4°C. Upon delivery aliquot and store at -20°C. Avoid freeze/thaw cycles.
Synonyms
hN CoR, hNCoR, KIAA1047, N CoR, N Cor/SMRT corepressor Rip13, N CoR1, N-CoR, N-CoR1, NCoR, NCOR 1, Ncor1, NCOR1_HUMAN, Nuclear receptor co repressor 1, Nuclear receptor corepressor 1, Retinoid X receptor interacting protein 13, RIP13, Rxrip13, thyroid hormone and retinoic acid receptor associated corepressor 1, TRAC 1, TRAC1
Disclaimer
This product is for research use only. It is not intended for diagnostic or therapeutic use.
Publishing research using Anti-Nuclear Receptor Corepressor NCoR Antibody (A10050)? Please let us know so that we can list the citation on this page.

Alternative products to Anti-Nuclear Receptor Corepressor NCoR Antibody (A10050)