Primary Antibodies
Secondary Antibodies
Proteins & Peptides
ELISA Kits
About Us
Contact Us
Sign In/Register
0
ISO 9001:2015 Certified
Live Customer Support
4.5/5 on Trustpilot
100% Quality Guarantee
Home
Primary Antibodies
NUDT18 Antibodies
Anti-NUDT18 Antibody (A45684)
Anti-NUDT18 Antibody (A45684)
Overview
Specifications
Images
Enlarge Image
$430
Product Datasheet
Rabbit polyclonal antibody to NUDT18 for IHC.
100% Guarantee
Price Match Guarantee
Product Size:
100µl
Quantity:
1
2
3
4
5
6
7
8
9
10
Add To Cart
Request a Quotation
Custom or Bulk Request
Shipping Information
Freight/Packing Charges:
$40
Dispatched from St. Louis, MO.
Lead Time: 6-9 business days.
Specifications
Name
Anti-NUDT18 Antibody
Description
Rabbit polyclonal antibody to NUDT18
Specificity
The antibody detects endogenous levels of total NUDT18 protein.
Applications
IHC
Dilutions
Immunohistochemistry: 1:100-1:200
Reactivity
Human
Immunogen
Fusion protein of human NUDT18
Host
Rabbit
Clonality
Polyclonal
Conjugate
Unconjugated
Purification
Antigen affinity purification.
Concentration
1.9 mg/mL
Formulation
Rabbit IgG in pH7.4 PBS, 0.05% NaN3, 40% Glycerol.
Storage
Shipped at 4°C. Upon delivery aliquot and store at -20°C. Avoid freeze/thaw cycles.
Synonyms
2-hydroxy-dADP phosphatase, 7,8-dihydro-8-oxoguanine phosphatase, 8-oxo-dGDP phosphatase NUDT18, MTH3, MutT homolog 3, Nucleoside diphosphate-linked moiety X motif 18, Nudix motif 18
Suitable Secondaries
Goat Anti-Rabbit IgG H&L Antibody (AP) (A294874)
Goat Anti-Rabbit IgG H&L Antibody (Biotin) (A294795)
Goat Anti-Rabbit IgG H&L Antibody (FITC) (A294887)
Goat Anti-Rabbit IgG H&L Antibody (HRP) (A294888)
See all Anti-Rabbit IgG Secondaries →
Disclaimer
This product is for research use only. It is not intended for diagnostic or therapeutic use.
Scientific Validation Data
Validation Data
(1)
Enlarge Image
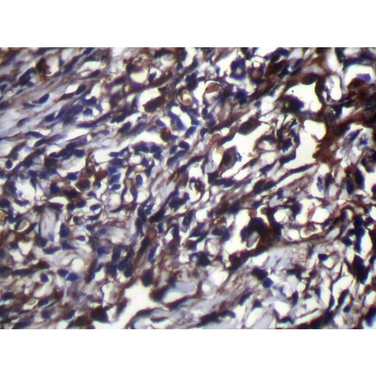
Immunohistochemistry - Anti-NUDT18 Antibody (A45684)
Immunohistochemical analysis of paraffin-embedded Human Lung cancer tissue using #42946 at dilution 1/100,
Publishing research using Anti-NUDT18 Antibody (A45684)? Please
let us know
so that we can list the citation on this page.
Alternative products to Anti-NUDT18 Antibody (A45684)
A322554
Anti-NUDT18 Antibody [OTI1B4]
Mouse monoclonal [OTI1B4] antibody to NUDT18 for Flow Cytometry and WB.
A322553
Anti-NUDT18 Antibody [OTI1B4] - BSA and Azide free
Mouse monoclonal [OTI1B4] antibody to NUDT18 for Flow Cytometry and WB.
A10441
Anti-NUDT18 Antibody
Rabbit polyclonal antibody to NUDT18 for WB.
A322554
Anti-NUDT18 Antibody [OTI1B4]
Mouse monoclonal [OTI1B4] antibody to NUDT18 for Flow Cytometry and WB.
A322553
Anti-NUDT18 Antibody [OTI1B4] - BSA and Azide free
Mouse monoclonal [OTI1B4] antibody to NUDT18 for Flow Cytometry and WB.
A10441
Anti-NUDT18 Antibody
Rabbit polyclonal antibody to NUDT18 for WB.
Proteins predicted to interact with NUDT18
Predicted protein interactions based upon String database. Revelancy score correlates with probability of interaction.
NUDT15 Antibodies
84.4% Relevancy Score
NUDT5 Antibodies
81.1% Relevancy Score
MTH1 Antibodies
76.5% Relevancy Score
NUDT14 Antibodies
75% Relevancy Score
NUDT22 Antibodies
71.6% Relevancy Score
NUDT12 Antibodies
71.4% Relevancy Score
NUDT2 Antibodies
66.1% Relevancy Score
DUT Antibodies
60% Relevancy Score
NUDT6 Antibodies
55.1% Relevancy Score
Top