ISO 9001:2015 Certified
Live Customer Support
4.5/5 on Trustpilot
100% Quality Guarantee

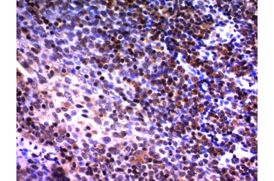
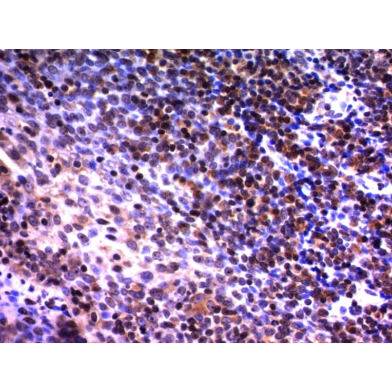
Anti-NuMA Antibody [A73-B/D12] - BSA and Azide free (A254329)

Mouse monoclonal [A73-B/D12] antibody to NuMA for Flow Cytometry, IF and IHC-P.

Alternative Formats and ConjugatesAlternative Formats

Shipping Information

$40
Dispatched from St. Louis, MO.
Lead Time: 5-8 business days.
Name
Anti-NuMA Antibody [A73-B/D12] - BSA and Azide free
Description
Mouse monoclonal [A73-B/D12] antibody to NuMA.
Specificity
This antibody recognizes a phosphorylated protein of 228kDa, identified as nuclear mitotic apparatus protein (NuMA). Its epitope is resistant to phosphatases. NuMA is intra-nuclear protein and present in nucleus during interphase. At the onset of mitosis, it redistributes from the nucleus to two centrosomal structures that later will become part of the mitotic spindle pole. After anaphase, the protein redistributes from the spindle polar region into reforming nucleus. NuMA is an essential protein during mitosis for the terminal phases of chromosome separation and/or nuclear reassembly. Recently a study shows that NuMA is cleaved to a 180 to 200kDa during apoptosis. Chromosomal translocation of this gene with the RARA (retinoic acid receptor, alpha) gene on chromosome 17 has been detected in patients with acute promyelocytic leukemia.
Applications
Flow Cytometry, IF, IHC-P
Dilutions
Flow Cytometry: 1-2 µg/million cells, IF: 1-2 µg/ml, IHC-P: 1-2 µg/ml
Reactivity
Human
Immunogen
Colon carcinoma 174T cells.
Host
Mouse
Clonality
Monoclonal
Clone ID
A73-B/D12
Isotype
IgM
Light Chains
kappa
Conjugate

Unconjugated

Purification
PEG precipitation.
Concentration
1 mg/ml
Product Form
Liquid
Formulation
Supplied in 10mM Phosphate Buffered Saline; without Sodium Azide and carrier free.
Storage
Shipped at 4°C. Upon delivery aliquot and store at -20°C. Avoid freeze / thaw cycles.
General Notes
This monoclonal antibody is also available in a different formulation with BSA and Sodium Azide - Anti-NuMA Antibody [A73-B/D12] (A251052).
Synonyms
NMP-22, NMP22, Nuclear matrix protein-22, Nuclear mitotic apparatus protein, Nuclear mitotic apparatus protein 1, NuMA protein, NUMA1, SP-H antigen
Isotype Controls
Disclaimer
This product is for research use only. It is not intended for diagnostic or therapeutic use.
Publishing research using Anti-NuMA Antibody [A73-B/D12] - BSA and Azide free (A254329)? Please let us know so that we can list the citation on this page.

Alternative products to Anti-NuMA Antibody [A73-B/D12] - BSA and Azide free (A254329)

Proteins predicted to interact with NuMA

Predicted protein interactions based upon String database. Revelancy score correlates with probability of interaction.
99.7% Relevancy Score
92.4% Relevancy Score
92.1% Relevancy Score
90% Relevancy Score
89.6% Relevancy Score
88.4% Relevancy Score
86.4% Relevancy Score
85.8% Relevancy Score
85.1% Relevancy Score