Primary Antibodies
Secondary Antibodies
Proteins & Peptides
ELISA Kits
About Us
Contact Us
Sign In/Register
0
ISO 9001:2015 Certified
Live Customer Support
4.5/5 on Trustpilot
100% Quality Guarantee
Home
Primary Antibodies
NUP160 Antibodies
Anti-NUP160 Antibody (A47599)
Anti-NUP160 Antibody (A47599)
Overview
Specifications
Images
Enlarge Image
Enlarge Image
$780
Product Datasheet
Rabbit polyclonal antibody to NUP160 for ELISA, WB and IHC.
100% Guarantee
Price Match Guarantee
Product Size:
100µl
Quantity:
1
2
3
4
5
6
7
8
9
10
Add To Cart
Request a Quotation
Custom or Bulk Request
Shipping Information
Freight/Packing Charges:
$40
Dispatched from St. Louis, MO.
Lead Time: 6-9 business days.
Specifications
Name
Anti-NUP160 Antibody
Description
Rabbit polyclonal antibody to NUP160
Applications
ELISA
,
WB
,
IHC
Reactivity
Human, Mouse, Rat
Immunogen
Raised against a 14 amino acid peptide from near the carboxy terminus of human NUP160.
Host
Rabbit
Clonality
Polyclonal
Conjugate
Unconjugated
Purification
Affinity chromatography purified via peptide column
Formulation
Supplied in phosphate-buffered saline with 0.02% Sodium Azide.
Storage
Shipped at 4°C. Upon delivery aliquot and store at -20°C. Avoid freeze/thaw cycles.
Synonyms
160 kDa nucleoporin, KIAA0197, Nuclear pore complex protein Nup160, Nucleoporin Nup160, NUP120
Suitable Secondaries
Goat Anti-Rabbit IgG H&L Antibody (AP) (A294874)
Goat Anti-Rabbit IgG H&L Antibody (Biotin) (A294795)
Goat Anti-Rabbit IgG H&L Antibody (FITC) (A294887)
Goat Anti-Rabbit IgG H&L Antibody (HRP) (A294888)
See all Anti-Rabbit IgG Secondaries →
Disclaimer
This product is for research use only. It is not intended for diagnostic or therapeutic use.
Scientific Validation Data
Validation Data
(2)
Enlarge Image
Anti-NUP160 Antibody (A47599)
Western blot analysis of NUP160 in rat brain tissue lysate with NUP160 antibody at (A) 0.5 and (B) 1 µg/mL.
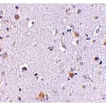
Enlarge Image
Immunohistochemistry - Anti-NUP160 Antibody (A47599)
Immunohistochemistry of NUP160 in human brain tissue with NUP160 antibody at 2.5 µg/mL.
Publishing research using Anti-NUP160 Antibody (A47599)? Please
let us know
so that we can list the citation on this page.
Alternative products to Anti-NUP160 Antibody (A47599)
(2)
A98779
Anti-NUP160 Antibody
Rabbit polyclonal antibody to NUP160 for WB and ELISA.
A40390
Anti-Nup160 Antibody
Rabbit polyclonal antibody to Nup160 for ELISA and WB.
A26833
Anti-Nup160 (L424) Antibody
Rabbit polyclonal antibody to Nup160 (L424) for WB.
A17106
Anti-NUP160 Antibody
Rabbit polyclonal antibody to NUP160 for WB and IHC.
A88347
Anti-NUP160 Antibody
Rabbit polyclonal antibody to NUP160 for WB.
(2)
A98779
Anti-NUP160 Antibody
Rabbit polyclonal antibody to NUP160 for WB and ELISA.
A40390
Anti-Nup160 Antibody
Rabbit polyclonal antibody to Nup160 for ELISA and WB.
A26833
Anti-Nup160 (L424) Antibody
Rabbit polyclonal antibody to Nup160 (L424) for WB.
A17106
Anti-NUP160 Antibody
Rabbit polyclonal antibody to NUP160 for WB and IHC.
A88347
Anti-NUP160 Antibody
Rabbit polyclonal antibody to NUP160 for WB.
See all NUP160 Antibodies
Proteins predicted to interact with NUP160
Predicted protein interactions based upon String database. Revelancy score correlates with probability of interaction.
NUP133 Antibodies
99.9% Relevancy Score
NUP98 Antibodies
99.9% Relevancy Score
Pericentrin 1 Antibodies
99.9% Relevancy Score
SEC13 Antibodies
99.9% Relevancy Score
NUP107 Antibodies
99.9% Relevancy Score
NUP205 Antibodies
99.7% Relevancy Score
NUP153 Antibodies
99.6% Relevancy Score
NUP155 Antibodies
99.4% Relevancy Score
RanBP2 Antibodies
99.2% Relevancy Score
Top