ISO 9001:2015 Certified
Live Customer Support
4.5/5 on Trustpilot
100% Quality Guarantee

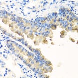
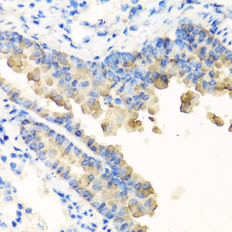
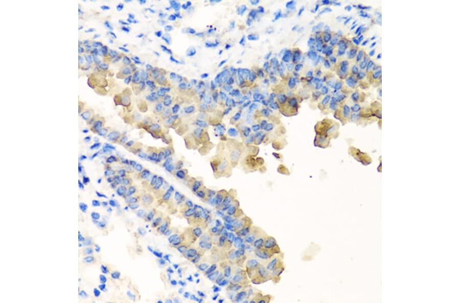
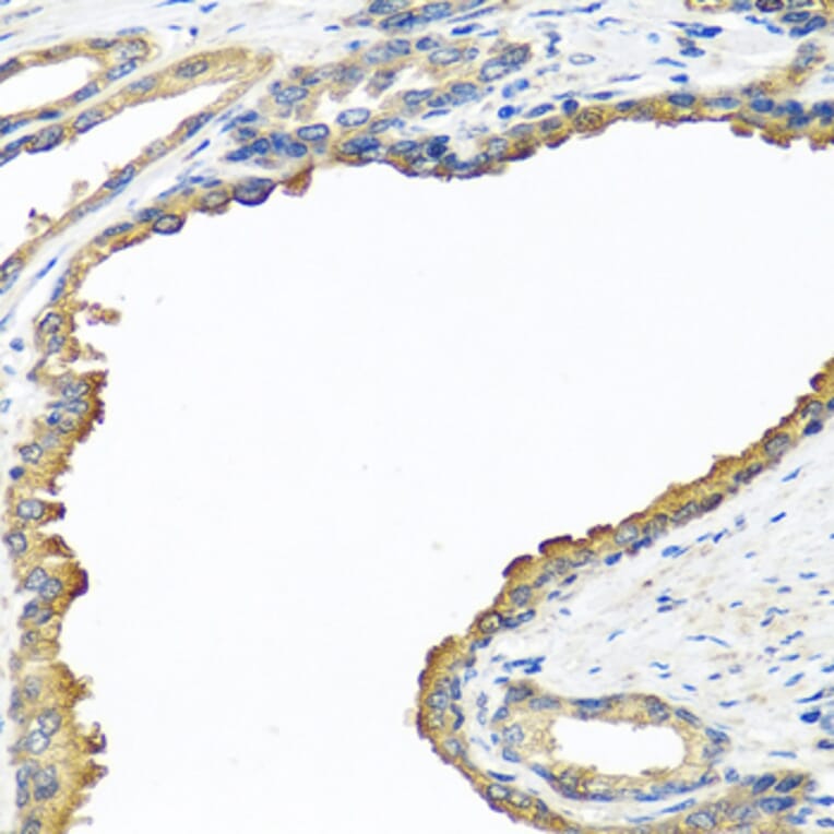
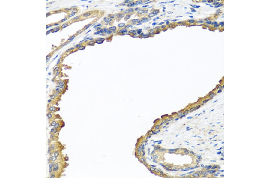
Anti-Nyctalopin Antibody (A12175)

Rabbit polyclonal antibody to Nyctalopin for WB and IHC.

Shipping Information

$40
Dispatched from St. Louis, MO.
Lead Time: 7-10 business days.
Name
Anti-Nyctalopin Antibody
Description
Rabbit polyclonal antibody to Nyctalopin.
Applications
WB, IHC
Dilutions
WB: 1:500-1:2,000, IHC: 1:50-1:100
Reactivity
Human, Mouse
Immunogen
Recombinant fusion protein containing a sequence corresponding to amino acids 282-481 of human NYX (NP_072089.1).
Sequence
LLYLDRNSIAFVEEGAFQNLSGLLALHLNGNRLTVLAWVAFQPGFFLGRLFLFRNPWCCDCRLEWLRDWMEGSGRVTDVPCASPGSVAGLDLSQVTFGRSSDGLCVDPEELNLTTSSPGPSPEPAATTVSRFSSLLSKLLAPRVPVEEAANTTGGLANASLSDSLSSRGVGGAGRQPWFLLASCLLPSVAQHVVFGLQMD
Host
Rabbit
Clonality
Polyclonal
Isotype
IgG
Conjugate

Unconjugated

Purification
Affinity purification.
Concentration
Lot Specific
Molecular Weight
52 kDa
Product Form
Liquid
Formulation
Supplied in Phosphate Buffered Saline, pH 7.3, with 50% Glycerol and 0.02% Sodium Azide.
Storage
Shipped at 4°C. Upon delivery aliquot and store at -20°C. Avoid freeze/thaw cycles.
Disclaimer
This product is for research use only. It is not intended for diagnostic or therapeutic use.
Publishing research using Anti-Nyctalopin Antibody (A12175)? Please let us know so that we can list the citation on this page.