Primary Antibodies
Secondary Antibodies
Proteins & Peptides
ELISA Kits
About Us
Contact Us
Sign In/Register
0
ISO 9001:2015 Certified
Live Customer Support
4.5/5 on Trustpilot
100% Quality Guarantee
Home
Primary Antibodies
Occludin Antibodies
Anti-OCLN Antibody (A48424)
Anti-OCLN Antibody (A48424)
Overview
Specifications
Images
Enlarge Image
Enlarge Image
$780
Product Datasheet
Rabbit polyclonal antibody to OCLN for ELISA, WB and IHC.
100% Guarantee
Price Match Guarantee
Product Size:
100µl
Quantity:
1
2
3
4
5
6
7
8
9
10
Add To Cart
Request a Quotation
Custom or Bulk Request
Shipping Information
Freight/Packing Charges:
$40
Dispatched from St. Louis, MO.
Lead Time: 6-9 business days.
Tags:
Intercellular Junction Marker
Neuroepithelial Marker
Specifications
Name
Anti-OCLN Antibody
Description
Rabbit polyclonal antibody to OCLN
Applications
ELISA
,
WB
,
IHC
Reactivity
Human, Mouse, Rat
Immunogen
Raised against a 15 amino acid peptide from near the carboxy terminus of human OCLN.
Host
Rabbit
Clonality
Polyclonal
Conjugate
Unconjugated
Purification
Affinity chromatography purified via peptide column
Formulation
Supplied in phosphate-buffered saline with 0.02% Sodium Azide.
Storage
Shipped at 4°C. Upon delivery aliquot and store at -20°C. Avoid freeze/thaw cycles.
Suitable Secondaries
Goat Anti-Rabbit IgG H&L Antibody (AP) (A294874)
Goat Anti-Rabbit IgG H&L Antibody (Biotin) (A294795)
Goat Anti-Rabbit IgG H&L Antibody (FITC) (A294887)
Goat Anti-Rabbit IgG H&L Antibody (HRP) (A294888)
See all Anti-Rabbit IgG Secondaries →
Disclaimer
This product is for research use only. It is not intended for diagnostic or therapeutic use.
Scientific Validation Data
Validation Data
(2)
Enlarge Image
Anti-OCLN Antibody (A48424)
Western blot analysis of OCLN in human liver tissue lysate with OCLN antibody at 1 µg/mL.
Enlarge Image
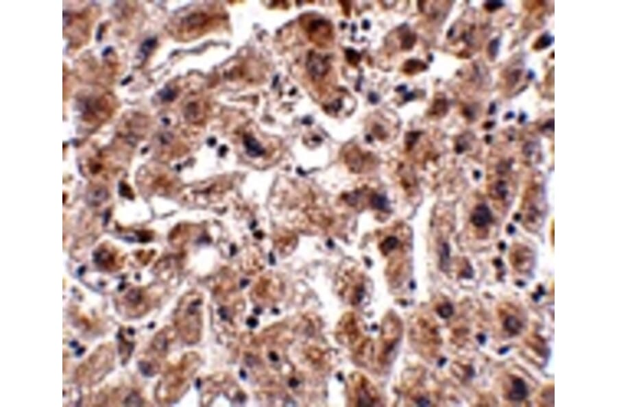
Immunohistochemistry - Anti-OCLN Antibody (A48424)
Immunohistochemistry of OCLN in human liver tissue with OCLN antibody at 2.5 µg/mL.
Publishing research using Anti-OCLN Antibody (A48424)? Please
let us know
so that we can list the citation on this page.
Alternative products to Anti-OCLN Antibody (A48424)
(2)
A14099
Anti-Occludin Antibody
Rabbit polyclonal antibody to Occludin for WB.
(4)
A248063
Anti-Occludin Antibody [OCLN/2181]
Mouse monoclonal [OCLN/2181] antibody to Occludin for WB and IHC-P.
(4)
A251246
Anti-Occludin Antibody [OCLN/2181] - BSA and Azide free
Mouse monoclonal [OCLN/2181] antibody to Occludin for WB and IHC-P.
(2)
A38682
Anti-OCLN Antibody
Rabbit polyclonal antibody to OCLN for WB and IHC.
(4)
A248064
Anti-Occludin Antibody [OCLN/2183]
Mouse monoclonal [OCLN/2183] antibody to Occludin for IHC-P.
(4)
A251247
Anti-Occludin Antibody [OCLN/2183] - BSA and Azide free
Mouse monoclonal [OCLN/2183] antibody to Occludin for IHC-P.
A24989
Anti-Occludin (A23) Antibody
Rabbit polyclonal antibody to Occludin (A23) for WB.
A25003
Anti-Occludin Antibody
Rabbit polyclonal antibody to Occludin for IHC.
A90904
Anti-Occludin Antibody
Rabbit polyclonal antibody to Occludin for WB.
A316806
Anti-Occludin Antibody [OCLN/8526R] - BSA and Azide free
Recombinant rabbit monoclonal [OCLN/8526R] antibody to Occludin for IHC-P.
A316805
Anti-Occludin Antibody [rOCLN/8525] - BSA and Azide free
Recombinant mouse monoclonal [rOCLN/8525] antibody to Occludin for IHC-P.
A316804
Anti-Occludin Antibody [OCLN/2182] - BSA and Azide free
Mouse monoclonal [OCLN/2182] antibody to Occludin for IHC-P.
(2)
A14099
Anti-Occludin Antibody
Rabbit polyclonal antibody to Occludin for WB.
(4)
A248063
Anti-Occludin Antibody [OCLN/2181]
Mouse monoclonal [OCLN/2181] antibody to Occludin for WB and IHC-P.
(4)
A251246
Anti-Occludin Antibody [OCLN/2181] - BSA and Azide free
Mouse monoclonal [OCLN/2181] antibody to Occludin for WB and IHC-P.
(2)
A38682
Anti-OCLN Antibody
Rabbit polyclonal antibody to OCLN for WB and IHC.
(4)
A248064
Anti-Occludin Antibody [OCLN/2183]
Mouse monoclonal [OCLN/2183] antibody to Occludin for IHC-P.
(4)
A251247
Anti-Occludin Antibody [OCLN/2183] - BSA and Azide free
Mouse monoclonal [OCLN/2183] antibody to Occludin for IHC-P.
A24989
Anti-Occludin (A23) Antibody
Rabbit polyclonal antibody to Occludin (A23) for WB.
A25003
Anti-Occludin Antibody
Rabbit polyclonal antibody to Occludin for IHC.
A90904
Anti-Occludin Antibody
Rabbit polyclonal antibody to Occludin for WB.
A316806
Anti-Occludin Antibody [OCLN/8526R] - BSA and Azide free
Recombinant rabbit monoclonal [OCLN/8526R] antibody to Occludin for IHC-P.
A316805
Anti-Occludin Antibody [rOCLN/8525] - BSA and Azide free
Recombinant mouse monoclonal [rOCLN/8525] antibody to Occludin for IHC-P.
A316804
Anti-Occludin Antibody [OCLN/2182] - BSA and Azide free
Mouse monoclonal [OCLN/2182] antibody to Occludin for IHC-P.
See all OCLN Antibodies
Proteins predicted to interact with Occludin
Predicted protein interactions based upon String database. Revelancy score correlates with probability of interaction.
Claudin-5 Antibodies
99.9% Relevancy Score
ZO-2 Antibodies
99.9% Relevancy Score
Claudin-1 Antibodies
99.9% Relevancy Score
ZO-1 Antibodies
99.9% Relevancy Score
Claudin-7 Antibodies
99.9% Relevancy Score
ZO-3 Antibodies
99.8% Relevancy Score
JAM A Antibodies
99.8% Relevancy Score
Claudin 3 Antibodies
99.8% Relevancy Score
Claudin-4 Antibodies
99.6% Relevancy Score
Top