Primary Antibodies
Secondary Antibodies
Proteins & Peptides
ELISA Kits
About Us
Contact Us
Sign In/Register
0
ISO 9001:2015 Certified
Live Customer Support
4.5/5 on Trustpilot
100% Quality Guarantee
Home
Primary Antibodies
ODF2 Antibodies
Anti-ODF2 Antibody (A38758)
Anti-ODF2 Antibody (A38758)
Overview
Specifications
Images
Enlarge Image
Enlarge Image
$430
Product Datasheet
Rabbit polyclonal antibody to ODF2 for WB and IHC.
100% Guarantee
Price Match Guarantee
Product Size:
100µl
Quantity:
1
2
3
4
5
6
7
8
9
10
Add To Cart
Request a Quotation
Custom or Bulk Request
Shipping Information
Freight/Packing Charges:
$40
Dispatched from St. Louis, MO.
Lead Time: 6-9 business days.
Specifications
Name
Anti-ODF2 Antibody
Description
Rabbit polyclonal antibody to ODF2
Specificity
The antibody detects endogenous levels of total ODF2 protein.
Applications
WB
,
IHC
Reactivity
Human
Immunogen
Fusion protein corresponding to residues near the C terminal of human outer dense fiber of sperm tails 2
Host
Rabbit
Clonality
Polyclonal
Conjugate
Unconjugated
Purification
Antigen affinity purification.
Concentration
1.8 mg/mL
Formulation
Supplied in PBS, pH 7.3, containing 0.05% sodium azide and 50% glycerol.
Storage
Shipped at 4°C. Upon delivery aliquot and store at -20°C. Avoid freeze/thaw cycles.
Synonyms
Cenexin, Outer dense fiber of sperm tails protein 2, Outer dense fiber protein 2
Suitable Secondaries
Goat Anti-Rabbit IgG H&L Antibody (AP) (A294874)
Goat Anti-Rabbit IgG H&L Antibody (Biotin) (A294795)
Goat Anti-Rabbit IgG H&L Antibody (FITC) (A294887)
Goat Anti-Rabbit IgG H&L Antibody (HRP) (A294888)
See all Anti-Rabbit IgG Secondaries →
Disclaimer
This product is for research use only. It is not intended for diagnostic or therapeutic use.
Scientific Validation Data
Validation Data
(2)
Enlarge Image
Anti-ODF2 Antibody (A38758)
Gel: 6%SDS-PAGE Lysates (from left to right): Human testis tissue and K562 cell Amount of lysate: 40ug per lane Primary antibody: 1/650 dilution Secondary antibody dilution: 1/8000 Exposure time: 30 seconds
Enlarge Image
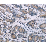
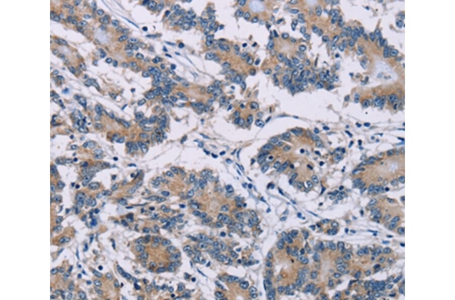
Immunohistochemistry - Anti-ODF2 Antibody (A38758)
Immunohistochemical analysis of paraffin-embedded Human colon cancer tissue using #36668 at dilution 1/30.
Publishing research using Anti-ODF2 Antibody (A38758)? Please
let us know
so that we can list the citation on this page.
Proteins predicted to interact with ODF2
Predicted protein interactions based upon String database. Revelancy score correlates with probability of interaction.
PLK1 Antibodies
92.9% Relevancy Score
ODF1 Antibodies
90% Relevancy Score
CEP170 Antibodies
89.6% Relevancy Score
RAB8A Antibodies
87.5% Relevancy Score
CCDC41 Antibodies
85.6% Relevancy Score
CCDC68 Antibodies
85.3% Relevancy Score
RAB3IP Antibodies
84.5% Relevancy Score
CNTROB Antibodies
81.5% Relevancy Score
CEP164 Antibodies
81.4% Relevancy Score
Top