ISO 9001:2015 Certified
Live Customer Support
4.5/5 on Trustpilot
100% Quality Guarantee

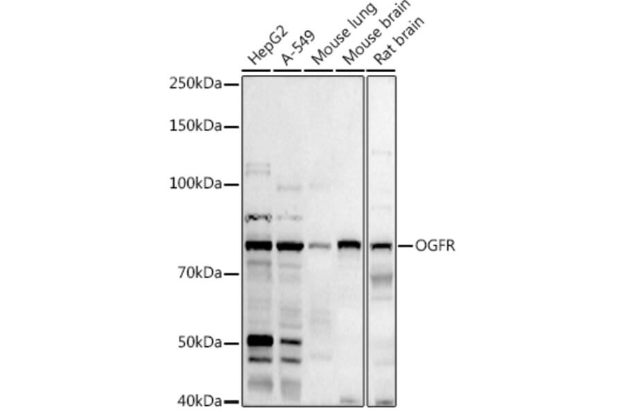
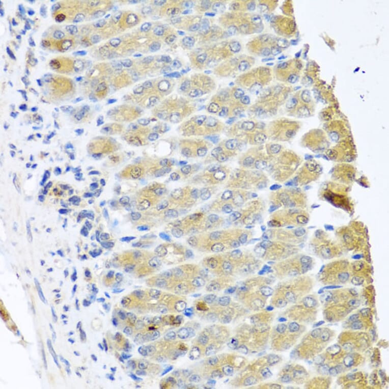
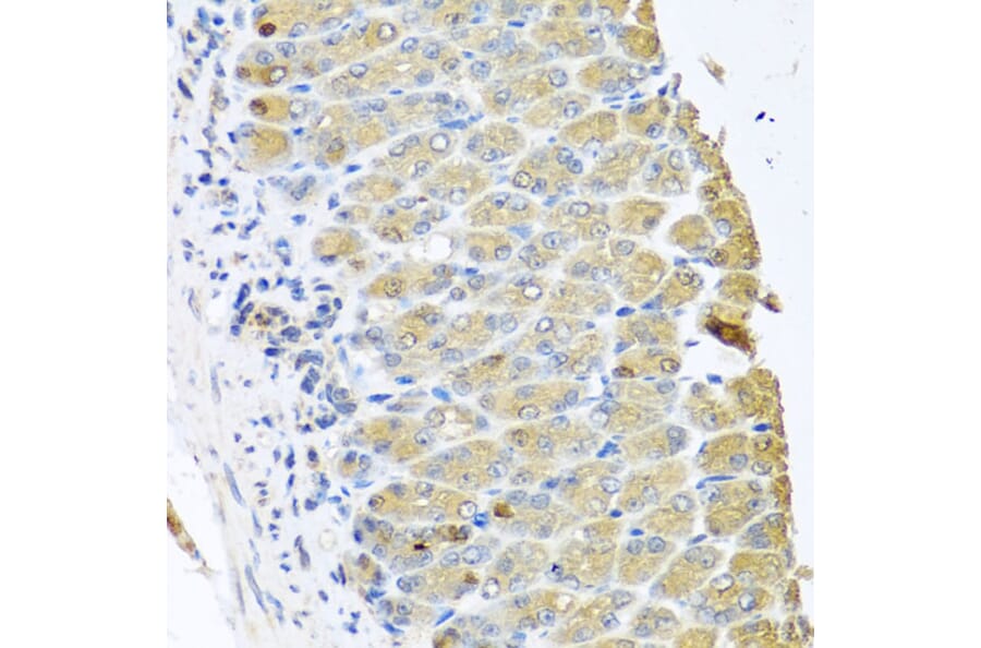
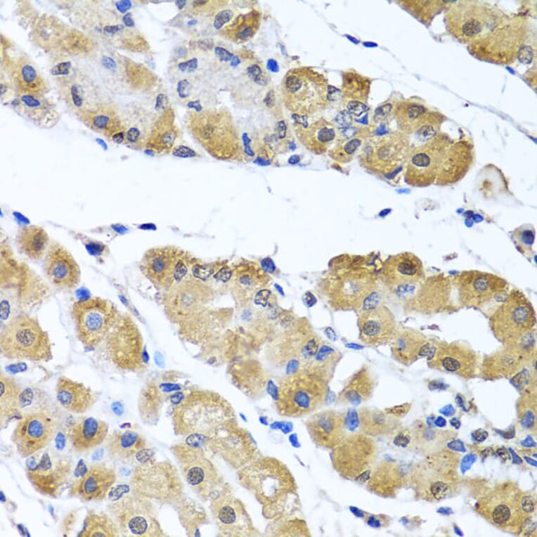
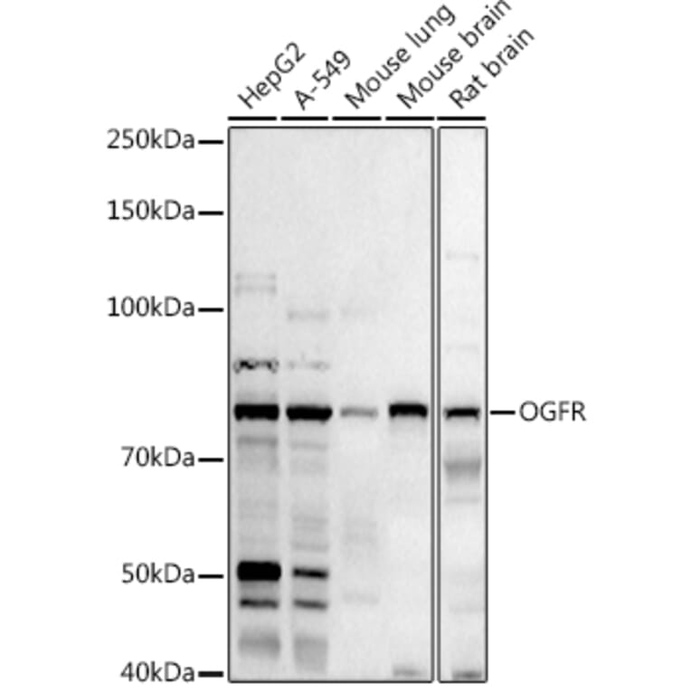
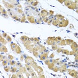
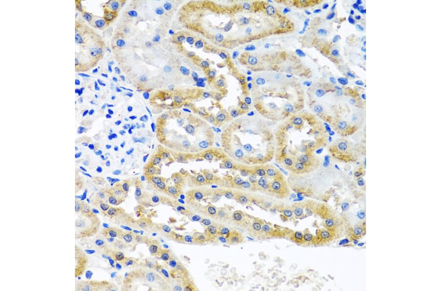
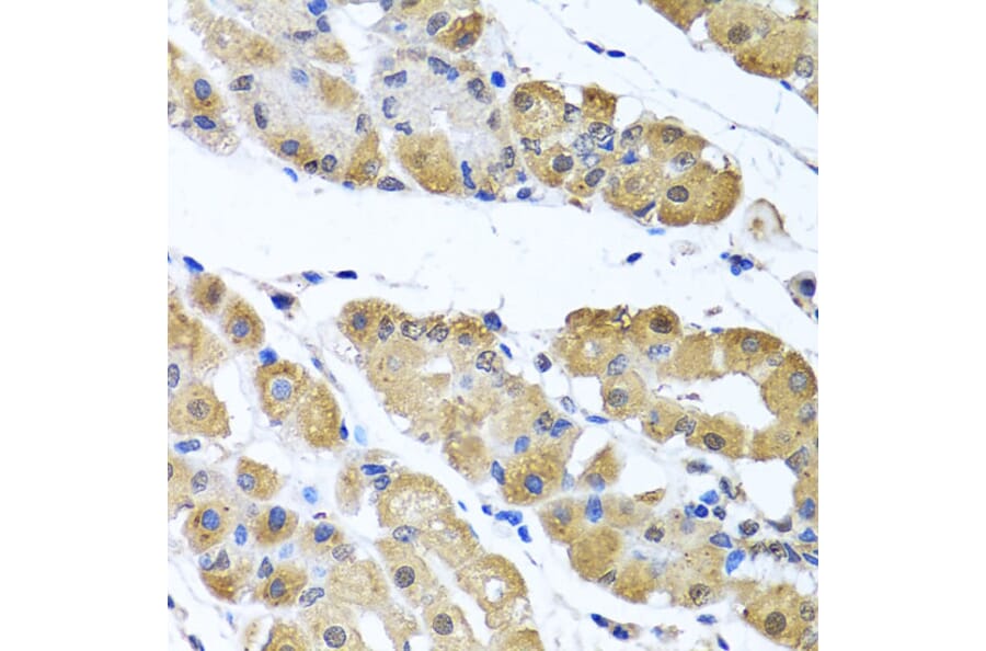
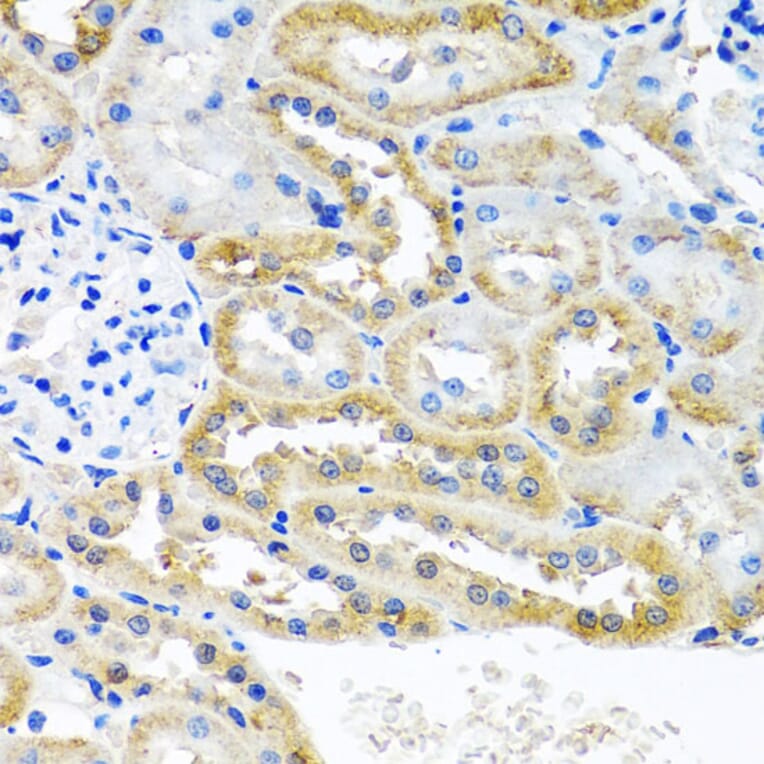
Anti-OGFr Antibody (A15524)

Rabbit polyclonal antibody to OGFr for WB, IHC and ICC/IF.

Shipping Information

$40
Dispatched from St. Louis, MO.
Lead Time: 7-10 business days.
Name
Anti-OGFr Antibody
Description
Rabbit polyclonal antibody to OGFr.
Applications
WB, IHC, ICC/IF
Dilutions
WB: 1:500-1:1,000, IHC: 1:50-1:200, ICC/IF: 1:50-1:200
Reactivity
Human, Mouse, Rat
Immunogen
Recombinant fusion protein containing a sequence corresponding to amino acids 358-482 of human OGFR (NP_031372.2).
Sequence
LERSQGDEAGGHGEDRPEPLSPKESKKRKLELSRREQPPTEPGPQSASEVEKIALNLEGCALSQGSLRTGTQEVGGQDPGEAVQPCRQPLGARVADKVRKRRKVDEGAGDSAAVASGGAQTLALA
Host
Rabbit
Clonality
Polyclonal
Isotype
IgG
Conjugate

Unconjugated

Purification
Affinity purification.
Concentration
Lot Specific
Molecular Weight
80 kDa
Product Form
Liquid
Formulation
Supplied in Phosphate Buffered Saline, pH 7.3, with 50% Glycerol and 0.05% Proclin 300.
Storage
Shipped at 4°C. Upon delivery aliquot and store at -20°C. Avoid freeze/thaw cycles.
Synonyms
Opioid growth factor receptor, Protein 7-60, Zeta-type opioid receptor
Disclaimer
This product is for research use only. It is not intended for diagnostic or therapeutic use.
Publishing research using Anti-OGFr Antibody (A15524)? Please let us know so that we can list the citation on this page.

Alternative products to Anti-OGFr Antibody (A15524)

Proteins predicted to interact with OGFR

Predicted protein interactions based upon String database. Revelancy score correlates with probability of interaction.
98.7% Relevancy Score
50% Relevancy Score
47.5% Relevancy Score
40.3% Relevancy Score
39.2% Relevancy Score