Western Blot - Anti-OGT/O-Linked N-Acetylglucosamine Transferase Antibody (A13794)
Western blot analysis of extracts of various cell lines, using Anti-OGT/O-Linked N-Acetylglucosamine Transferase Antibody (A13794) at 1:3,000 dilution. The secondary antibody was Goat Anti-Rabbit IgG H&L Antibody (HRP) at 1:10,000 dilution. Lysates/proteins were present at 25µg per lane. The blocking buffer used was 3% non-fat dry milk in TBST. Detection was with a ECL Basic Kit. Exposure time: 10s.
Western Blot - Anti-OGT/O-Linked N-Acetylglucosamine Transferase Antibody (A13794)
Western blot analysis of extracts of various cell lines, using Anti-OGT/O-Linked N-Acetylglucosamine Transferase Antibody (A13794) at 1:1,000 dilution. The secondary antibody was Goat Anti-Rabbit IgG H&L Antibody (HRP) at 1:10,000 dilution. Lysates/proteins were present at 25µg per lane. The blocking buffer used was 3% non-fat dry milk in TBST. Detection was with a ECL Basic Kit. Exposure time: 10s.
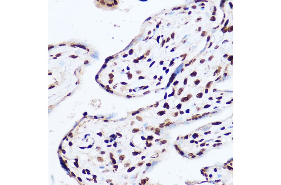
Immunohistochemistry analysis of paraffin-embedded human placenta using Anti-OGT/O-Linked N-Acetylglucosamine Transferase Antibody (A13794) at a dilution of 1:100 (40x lens). Perform high pressure antigen retrieval with 10 mM citrate buffer pH 6.0 before commencing with IHC staining protocol.
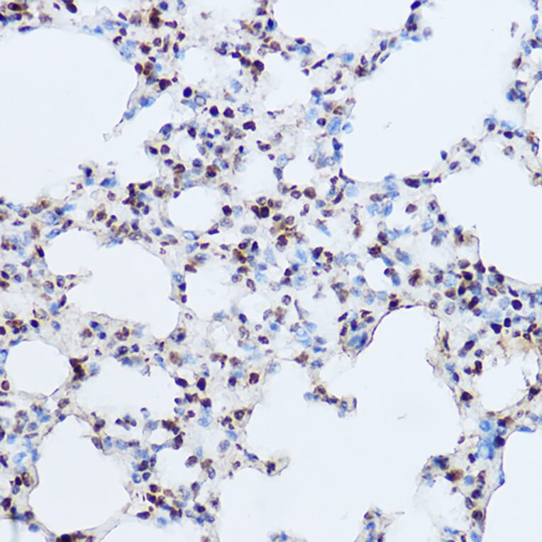
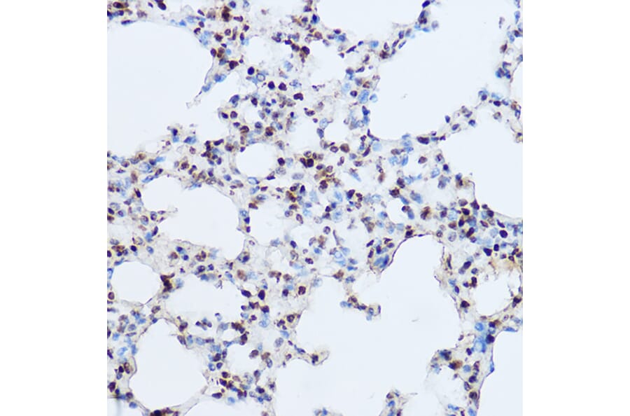
Immunohistochemistry analysis of paraffin-embedded mouse lung using Anti-OGT/O-Linked N-Acetylglucosamine Transferase Antibody (A13794) at a dilution of 1:100 (40x lens). Perform high pressure antigen retrieval with 10 mM citrate buffer pH 6.0 before commencing with IHC staining protocol.
Immunohistochemistry analysis of paraffin-embedded rat liver using Anti-OGT/O-Linked N-Acetylglucosamine Transferase Antibody (A13794) at a dilution of 1:100 (40x lens). Perform high pressure antigen retrieval with 10 mM citrate buffer pH 6.0 before commencing with IHC staining protocol.
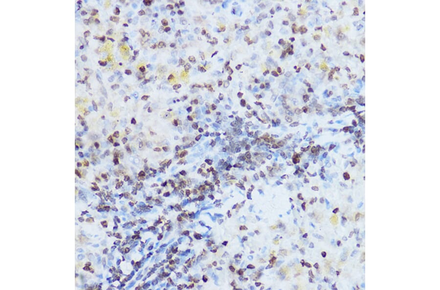
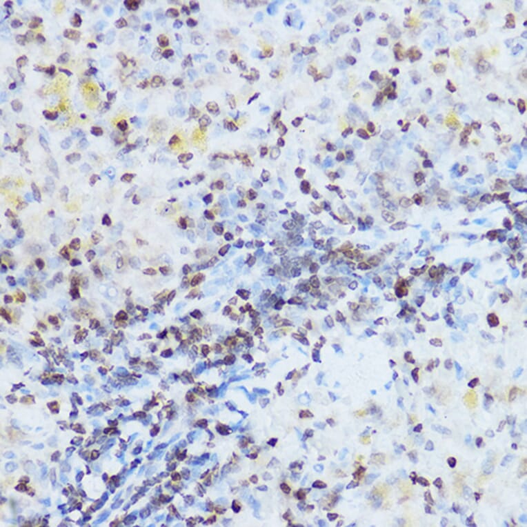
Immunohistochemistry analysis of paraffin-embedded rat spleen using Anti-OGT/O-Linked N-Acetylglucosamine Transferase Antibody (A13794) at a dilution of 1:100 (40x lens). Perform high pressure antigen retrieval with 10 mM citrate buffer pH 6.0 before commencing with IHC staining protocol.
Immunofluorescence analysis of NIH/3T3 cells using Anti-OGT/O-Linked N-Acetylglucosamine Transferase Antibody (A13794) at a dilution of 1:100 (40x lens). DAPI was used to stain the cell nuclei (blue).
Immunofluorescence analysis of PC-12 cells using Anti-OGT/O-Linked N-Acetylglucosamine Transferase Antibody (A13794) at a dilution of 1:100 (40x lens). DAPI was used to stain the cell nuclei (blue).
Publishing research using Anti-OGT/O-Linked N-Acetylglucosamine Transferase Antibody (A13794)? Please let us know so that we can list the citation on this page.