ISO 9001:2015 Certified
Live Customer Support
4.5/5 on Trustpilot
100% Quality Guarantee

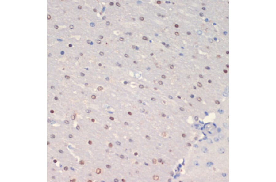
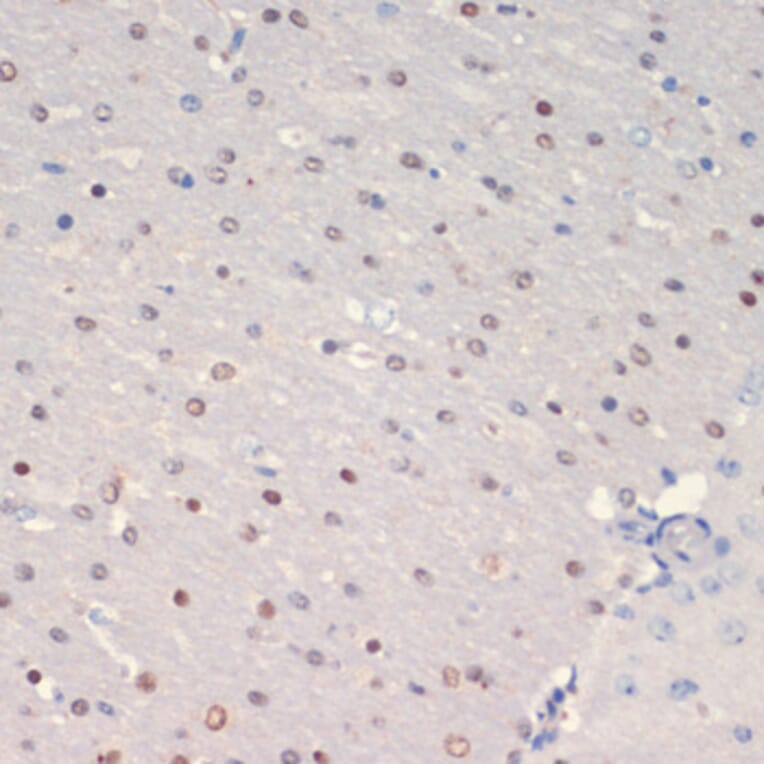
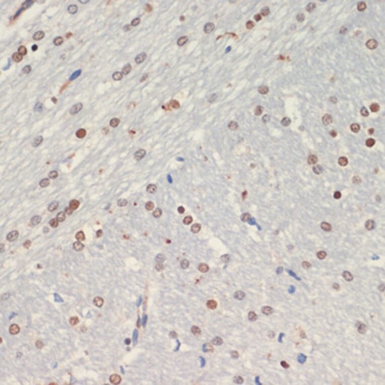
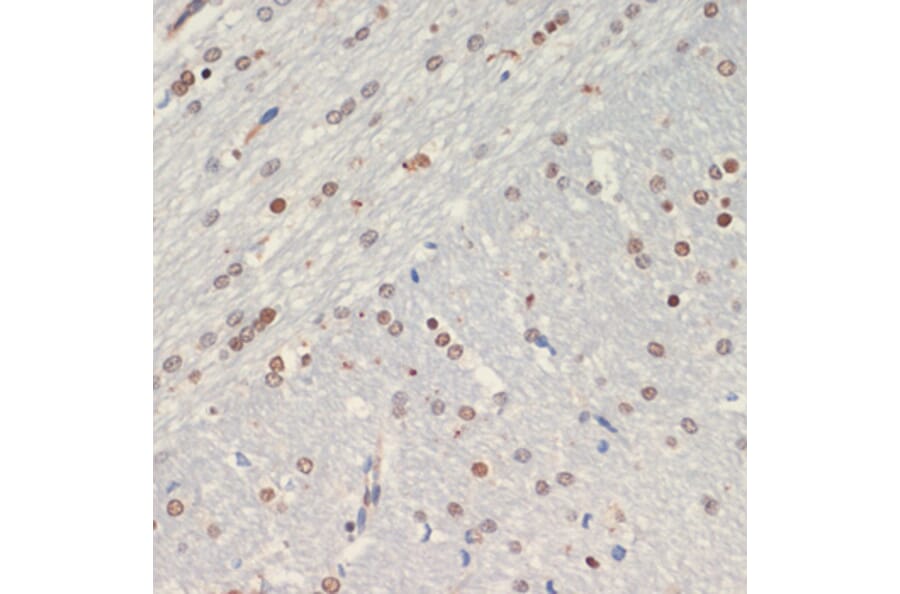
Anti-Olig2 Antibody (A89247)

Rabbit polyclonal antibody to Olig2 for WB and IHC.

Shipping Information

$40
Dispatched from St. Louis, MO.
Lead Time: 7-10 business days.
Name
Anti-Olig2 Antibody
Description
Rabbit polyclonal antibody to Olig2.
Applications
WB, IHC
Dilutions
WB: 1:500-1:1,000, IHC: 1:50-1:100
Reactivity
Human, Mouse, Rat
Immunogen
A synthetic peptide corresponding to a sequence within amino acids 1-100 of human Olig2 (NP_005797.1).
Sequence
MDSDASLVSSRPSSPEPDDLFLPARSKGSSGSAFTGGTVSSSTPSDCPPELSAELRGAMGSAGAHPGDKLGGSGFKSSSSSTSSSTSSAAASSTKKDKKQ
Host
Rabbit
Clonality
Polyclonal
Isotype
IgG
Conjugate

Unconjugated

Purification
Affinity purification.
Concentration
Lot Specific
Molecular Weight
35 kDa
Product Form
Liquid
Formulation
Supplied in Phosphate Buffered Saline, pH 7.3, with 50% Glycerol and 0.01% Thiomersal.
Storage
Shipped at 4°C. Upon delivery aliquot and store at -20°C. Avoid freeze/thaw cycles.
Synonyms
BHLHB1, BHLHE19, Class B basic helix-loop-helix protein 1, Class E basic helix-loop-helix protein 19, Oligo2, Oligodendrocyte transcription factor 2, PRKCBP2, Protein kinase C-binding protein 2, Protein kinase C-binding protein RACK17, RACK17
Disclaimer
This product is for research use only. It is not intended for diagnostic or therapeutic use.
Publishing research using Anti-Olig2 Antibody (A89247)? Please let us know so that we can list the citation on this page.

Alternative products to Anti-Olig2 Antibody (A89247)

Proteins predicted to interact with Olig2

Predicted protein interactions based upon String database. Revelancy score correlates with probability of interaction.
95.2% Relevancy Score
91.9% Relevancy Score
90.9% Relevancy Score
89.8% Relevancy Score
89.6% Relevancy Score
89.2% Relevancy Score
88.5% Relevancy Score
87.7% Relevancy Score
84.3% Relevancy Score