ISO 9001:2015 Certified
Live Customer Support
4.5/5 on Trustpilot
100% Quality Guarantee

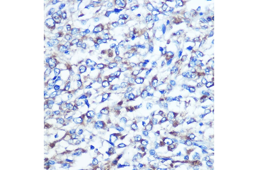
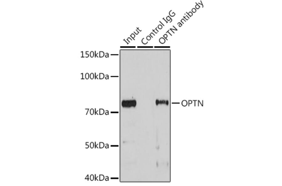
Anti-Optineurin Antibody (A13697)

Rabbit polyclonal antibody to Optineurin for WB, IHC and IP.

Shipping Information

$40
Dispatched from St. Louis, MO.
Lead Time: 7-10 business days.
Name
Anti-Optineurin Antibody
Description
Rabbit polyclonal antibody to Optineurin.
Applications
WB, IHC, IP
Dilutions
WB: 1:500-1:2,000, IHC: 1:50-1:200, IP: 1:500-1:1,000
Reactivity
Human, Mouse
Immunogen
Recombinant fusion protein containing a sequence corresponding to amino acids 1-577 of human OPTN (NP_068815.2).
Sequence
MSHQPLSCLTEKEDSPSESTGNGPPHLAHPNLDTFTPEELLQQMKELLTENHQLKEAMKLNNQAMKGRFEELSAWTEKQKEERQFFEIQSKEAKERLMALSHENEKLKEELGKLKGKSERSSEDPTDDSRLPRAEAEQEKDQLRTQVVRLQAEKADLLGIVSELQLKLNSSGSSEDSFVEIRMAEGEAEGSVKEIKHSPGPTRTVSTGTALSKYRSRSADGAKNYFEHEELTVSQLLLCLREGNQKVERLEVALKEAKERVSDFEKKTSNRSEIETQTEGSTEKENDEEKGPETVGSEVEALNLQVTSLFKELQEAHTKLSEAELMKKRLQEKCQALERKNSAIPSELNEKQELVYTNKKLELQVESMLSEIKMEQAKTEDEKSKLTVLQMTHNKLLQEHNNALKTIEELTRKESEKVDRAVLKELSEKLELAEKALASKQLQMDEMKQTIAKQEEDLETMTILRAQMEVYCSDFHAERAAREKIHEEKEQLALQLAVLLKENDAFEDGGRQSLMEMQSRHGARTSDSDQQAYLVQRGAEDRDWRQQRNIPIHSCPKCGEVLPDIDTLQIHVMDCII
Host
Rabbit
Clonality
Polyclonal
Isotype
IgG
Conjugate

Unconjugated

Purification
Affinity purification.
Concentration
Lot Specific
Molecular Weight
78 kDa
Product Form
Liquid
Formulation
Supplied in Phosphate Buffered Saline, pH 7.3, with 50% Glycerol and 0.02% Sodium Azide.
Storage
Shipped at 4°C. Upon delivery aliquot and store at -20°C. Avoid freeze/thaw cycles.
Synonyms
E3-14.7K-interacting protein, FIP-2, FIP2, GLC1E, HIP-7, HIP7, Huntingtin yeast partner L, Huntingtin-interacting protein 7, Huntingtin-interacting protein L, HYPL, NEMO-related protein, NRP, OPTN
Disclaimer
This product is for research use only. It is not intended for diagnostic or therapeutic use.
Publishing research using Anti-Optineurin Antibody (A13697)? Please let us know so that we can list the citation on this page.

Alternative products to Anti-Optineurin Antibody (A13697)

Proteins predicted to interact with Optineurin

Predicted protein interactions based upon String database. Revelancy score correlates with probability of interaction.
99.9% Relevancy Score
99.9% Relevancy Score
99.9% Relevancy Score
99.8% Relevancy Score
99.8% Relevancy Score
99.8% Relevancy Score
99.7% Relevancy Score
99.6% Relevancy Score
99.4% Relevancy Score