ISO 9001:2015 Certified
Live Customer Support
4.5/5 on Trustpilot
100% Quality Guarantee

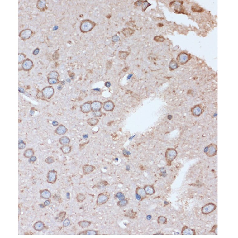
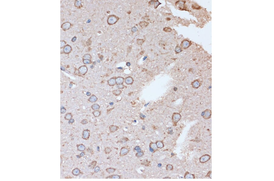
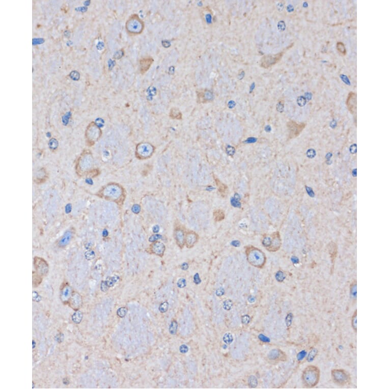
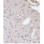
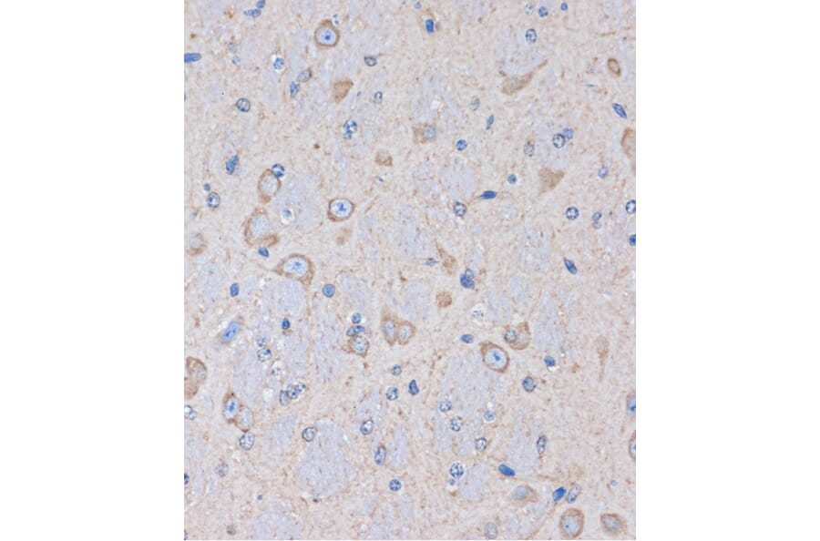
Anti-OR2S2 Antibody (A89342)

Rabbit polyclonal antibody to OR2S2 for WB and IHC.

Shipping Information

$40
Dispatched from St. Louis, MO.
Lead Time: 7-10 business days.
Name
Anti-OR2S2 Antibody
Description
Rabbit polyclonal antibody to OR2S2.
Applications
WB, IHC
Dilutions
WB: 1:500-1:2,000, IHC: 1:50-1:200
Reactivity
Human, Mouse, Rat
Immunogen
A synthetic peptide corresponding to a sequence within amino acids 200-300 of human OR2S2 (NP_063950.2).
Sequence
MEVTNVIFLGVPVLFISFSYVFIITTILRIPSAEGRKKVFSTCSAHLTVVIVFYGTLFFMYGKPKSKDSMGADKEDLSDKLIPLFYGVVTPMLNPIIYSLR
Host
Rabbit
Clonality
Polyclonal
Isotype
IgG
Conjugate

Unconjugated

Purification
Affinity purification.
Concentration
Lot Specific
Molecular Weight
35 kDa
Product Form
Liquid
Formulation
Supplied in Phosphate Buffered Saline, pH 7.3, with 50% Glycerol and 0.01% Thiomersal.
Storage
Shipped at 4°C. Upon delivery aliquot and store at -20°C. Avoid freeze/thaw cycles.
Disclaimer
This product is for research use only. It is not intended for diagnostic or therapeutic use.
Publishing research using Anti-OR2S2 Antibody (A89342)? Please let us know so that we can list the citation on this page.