Primary Antibodies
Secondary Antibodies
Proteins & Peptides
ELISA Kits
About Us
Contact Us
Sign In/Register
0
ISO 9001:2015 Certified
Live Customer Support
4.5/5 on Trustpilot
100% Quality Guarantee
Home
Primary Antibodies
ORAI3 Antibodies
Anti-ORAI3 Antibody (A47356)
Anti-ORAI3 Antibody (A47356)
Overview
Specifications
Images
Enlarge Image
Enlarge Image
$780
Product Datasheet
Mouse monoclonal antibody to ORAI3 for ELISA, WB and IHC.
100% Guarantee
Price Match Guarantee
Product Size:
100µl
Quantity:
1
2
3
4
5
6
7
8
9
10
Add To Cart
Request a Quotation
Custom or Bulk Request
Shipping Information
Freight/Packing Charges:
$40
Dispatched from St. Louis, MO.
Lead Time: 6-9 business days.
Specifications
Name
Anti-ORAI3 Antibody
Description
Mouse monoclonal antibody to ORAI3
Applications
ELISA
,
WB
,
IHC
Reactivity
Human, Rat
Immunogen
A 19 amino acid peptide from near the carboxy terminus of human ORAI3.
Host
Mouse
Clonality
Monoclonal
Conjugate
Unconjugated
Purification
Immunoaffinity chromotography purified IgG
Formulation
Supplied in phosphate-buffered saline with 0.02% Sodium Azide.
Storage
Shipped at 4°C. Upon delivery aliquot and store at -20°C. Avoid freeze/thaw cycles.
Synonyms
Protein orai-3, TMEM142C, Transmembrane protein 142C
Suitable Secondaries
Goat Anti-Mouse IgG H&L Antibody (AP) (A301438)
Goat Anti-Mouse IgG H&L Antibody (Biotin) (A301439)
Goat Anti-Mouse IgG H&L Antibody (FITC) (A301669)
Goat Anti-Mouse IgG H&L Antibody (HRP) (A301445)
See all Anti-Mouse IgG Secondaries →
Disclaimer
This product is for research use only. It is not intended for diagnostic or therapeutic use.
Scientific Validation Data
Validation Data
(2)
Enlarge Image
Anti-ORAI3 Antibody (A47356)
Western blot analysis of ORAI3 in rat spleen lysate with ORAI3 antibody at 2 µg/mL.
Enlarge Image
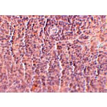
Immunohistochemistry - Anti-ORAI3 Antibody (A47356)
Immunohistochemistry of ORAI3 in rat spleen tissue with ORAI3 antibody at 2.5 µg/mL.
Publishing research using Anti-ORAI3 Antibody (A47356)? Please
let us know
so that we can list the citation on this page.
Alternative products to Anti-ORAI3 Antibody (A47356)
(2)
A48805
Anti-ORAI3 Antibody
Rabbit polyclonal antibody to ORAI3 for ELISA, WB and ICC/IF.
(2)
A48806
Anti-ORAI3 Antibody
Rabbit polyclonal antibody to ORAI3 for ELISA, WB and ICC/IF.
A48968
Anti-ORAI3 Antibody
Mouse monoclonal antibody to ORAI3 for ELISA and WB.
A347537
Anti-ORAI3 Antibody [25GB4720]
Recombinant rabbit monoclonal [25GB4720] antibody to ORAI3 for WB.
(2)
A48805
Anti-ORAI3 Antibody
Rabbit polyclonal antibody to ORAI3 for ELISA, WB and ICC/IF.
(2)
A48806
Anti-ORAI3 Antibody
Rabbit polyclonal antibody to ORAI3 for ELISA, WB and ICC/IF.
A48968
Anti-ORAI3 Antibody
Mouse monoclonal antibody to ORAI3 for ELISA and WB.
A347537
Anti-ORAI3 Antibody [25GB4720]
Recombinant rabbit monoclonal [25GB4720] antibody to ORAI3 for WB.
Proteins predicted to interact with ORAI3
Predicted protein interactions based upon String database. Revelancy score correlates with probability of interaction.
STIM2 Antibodies
99.9% Relevancy Score
STIM1 Antibodies
99.9% Relevancy Score
ORAI2 Antibodies
99.8% Relevancy Score
ORAI1 Antibodies
99.8% Relevancy Score
TRPC3 Antibodies
94.8% Relevancy Score
TRPC1 Antibodies
90.1% Relevancy Score
TRPC4 Antibodies
82.5% Relevancy Score
TRPC6 Antibodies
82.3% Relevancy Score
TRPC5 Antibodies
79.1% Relevancy Score
Top