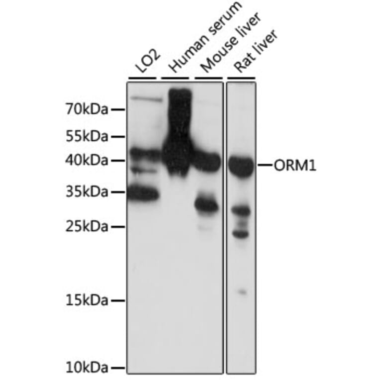
Western blot analysis of extracts of various cell lines, using Anti-ORM1 Antibody (A1799) at 1:1,000 dilution. Secondary antibody: Goat Anti-Rabbit IgG (H+L) (HRP) (AS014) at 1:10,000 dilution. Lysates / proteins: 25µg per lane. Blocking buffer: 3% non-fat dry milk in TBST. Detection: ECL Basic Kit (RM00020). Exposure time: 1s.
Alternative products to Anti-ORM1 Antibody (A11483)