ISO 9001:2015 Certified
Live Customer Support
4.5/5 on Trustpilot
100% Quality Guarantee

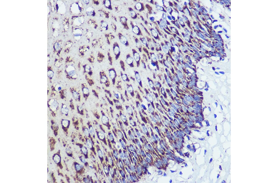
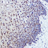
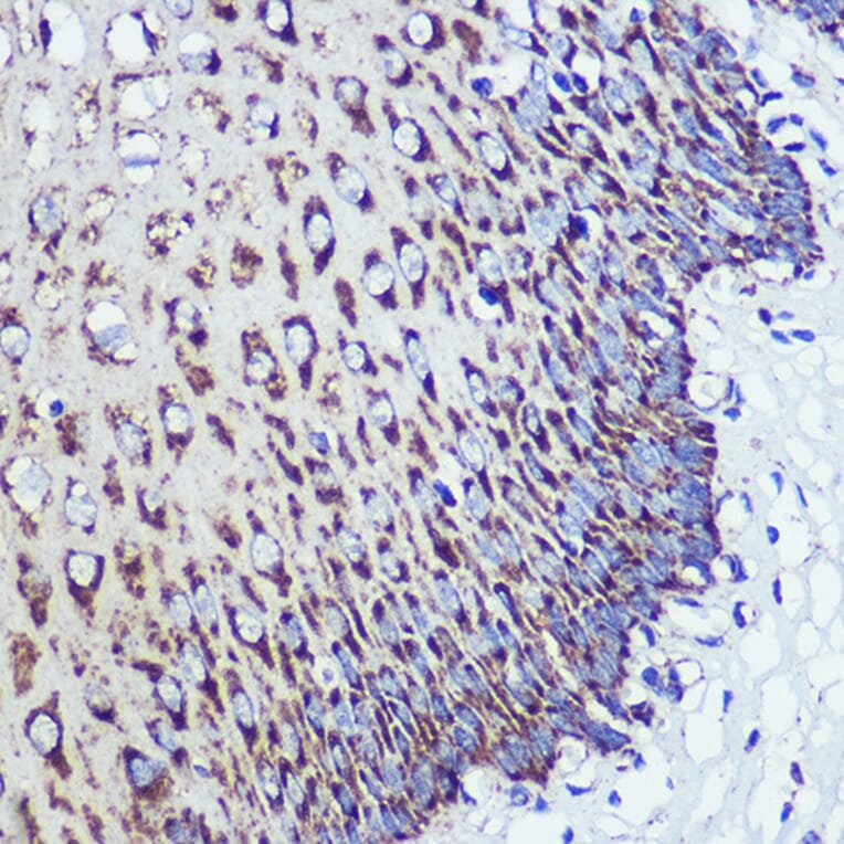
Anti-ORP8 Antibody (A307228)

Rabbit polyclonal antibody to ORP8 for WB and IHC.

Shipping Information

$40
Dispatched from St. Louis, MO.
Lead Time: 7-10 business days.
Name
Anti-ORP8 Antibody
Description
Rabbit polyclonal antibody to ORP8.
Applications
WB, IHC
Dilutions
WB: 1:500-1:2,000, IHC: 1:50-1:200
Reactivity
Human, Mouse, Rat
Immunogen
Recombinant fusion protein containing a sequence corresponding to amino acids 1-110 of human OSBPL8 (NP_065892.1).
Sequence
MEGGLADGEPDRTSLLGDSKDVLGPSTVVANSDESQLLTPGKMSQRQGKEAYPTPTKDLHQPSLSPASPHSQGFERGKEDISQNKDESSLSMSKSKSESKLYNGSEKDSS
Host
Rabbit
Clonality
Polyclonal
Isotype
IgG
Conjugate

Unconjugated

Purification
Affinity purification.
Concentration
Lot Specific
Molecular Weight
101 kDa
Product Form
Liquid
Formulation
Supplied in Phosphate Buffered Saline, pH 7.3, with 50% Glycerol and 0.01% Thiomersal.
Storage
Shipped at 4°C. Upon delivery aliquot and store at -20°C. Avoid freeze/thaw cycles.
Synonyms
KIAA1451, ORP-8, OSBP-related protein 8, OSBP10, OSBPL8, Oxysterol-binding protein-related protein 8
Disclaimer
This product is for research use only. It is not intended for diagnostic or therapeutic use.
Publishing research using Anti-ORP8 Antibody (A307228)? Please let us know so that we can list the citation on this page.

Proteins predicted to interact with ORP8

Predicted protein interactions based upon String database. Revelancy score correlates with probability of interaction.
98.9% Relevancy Score
70.3% Relevancy Score
69.9% Relevancy Score
65.8% Relevancy Score
65% Relevancy Score
63.6% Relevancy Score
61.9% Relevancy Score
60.6% Relevancy Score
60.2% Relevancy Score