ISO 9001:2015 Certified
Live Customer Support
4.5/5 on Trustpilot
100% Quality Guarantee

Anti-OS9 Antibody (A44328)

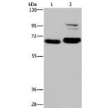
Rabbit polyclonal antibody to OS9 for WB.

Shipping Information

$40
Dispatched from St. Louis, MO.
Lead Time: 6-9 business days.
Name
Anti-OS9 Antibody
Description
Rabbit polyclonal antibody to OS9
Specificity
The antibody detects endogenous levels of total OS9 protein.
Applications
WB
Reactivity
Human, Mouse
Immunogen
Fusion protein corresponding to a region derived from internal residues of human osteosarcoma amplified 9, endoplasmic reticulum lectin
Host
Rabbit
Clonality
Polyclonal
Conjugate

Unconjugated

Purification
Antigen affinity purification.
Concentration
2.4 mg/mL
Formulation
Supplied in PBS, pH 7.3, containing 0.05% sodium azide and 50% glycerol.
Storage
Shipped at 4°C. Upon delivery aliquot and store at -20°C. Avoid freeze/thaw cycles.
Synonyms
Amplified in osteosarcoma 9, Protein OS-9
Disclaimer
This product is for research use only. It is not intended for diagnostic or therapeutic use.
Publishing research using Anti-OS9 Antibody (A44328)? Please let us know so that we can list the citation on this page.

Proteins predicted to interact with OS9

Predicted protein interactions based upon String database. Revelancy score correlates with probability of interaction.
99.9% Relevancy Score
99.9% Relevancy Score
99.6% Relevancy Score
98.8% Relevancy Score
98.7% Relevancy Score
98.3% Relevancy Score
98% Relevancy Score
97.8% Relevancy Score
95.9% Relevancy Score