OSBPL5/ORP5 expression in Jurkat cell lysate analyzed by western blot. Cells were lysed in RIPA buffer and 35µg protein was run per lane. Primary antibody incubation was performed with Anti-OSBPL5/ORP5 Antibody (A83267) at 0.1µg/ml and detected by chemiluminescence.
OSBPL5/ORP5 expression in Rat Spleen lysate analyzed by western blot. Cells were lysed in RIPA buffer and 35µg protein was run per lane. Primary antibody incubation was performed with Anti-OSBPL5/ORP5 Antibody (A83267) at 0.3µg/ml and detected by chemiluminescence.
OSBPL5/ORP5 expression in HeLa cells analyzed by immunofluorescence. Cells were permeabilized with 0.15% Triton. Staining was performed with Anti-OSBPL5/ORP5 Antibody (A83267) at 10µg/ml for 1 hour and Alexa Fluor 488 secondary antibody at 2µg/ml. Cytoplasmic staining shown and nuclei were stained with DAPI (blue). Negative control: Goat IgG Isotype Control at 10µg/ml followed by Alexa Fluor 488 secondary antibody at 2µg/ml.
OSBPL5/ORP5 expression in U2OS cells analyzed by immunofluorescence. Cells were permeabilized with 0.15% Triton. Staining was performed with Anti-OSBPL5/ORP5 Antibody (A83267) at 10µg/ml for 1 hour and Alexa Fluor 488 secondary antibody at 2µg/ml. Cytoplasmic staining shown and nuclei were stained with DAPI (blue). Negative control: Goat IgG Isotype Control at 10µg/ml followed by Alexa Fluor 488 secondary antibody at 2µg/ml.
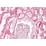
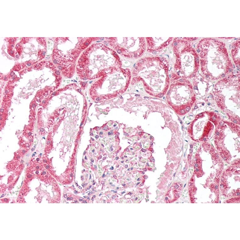
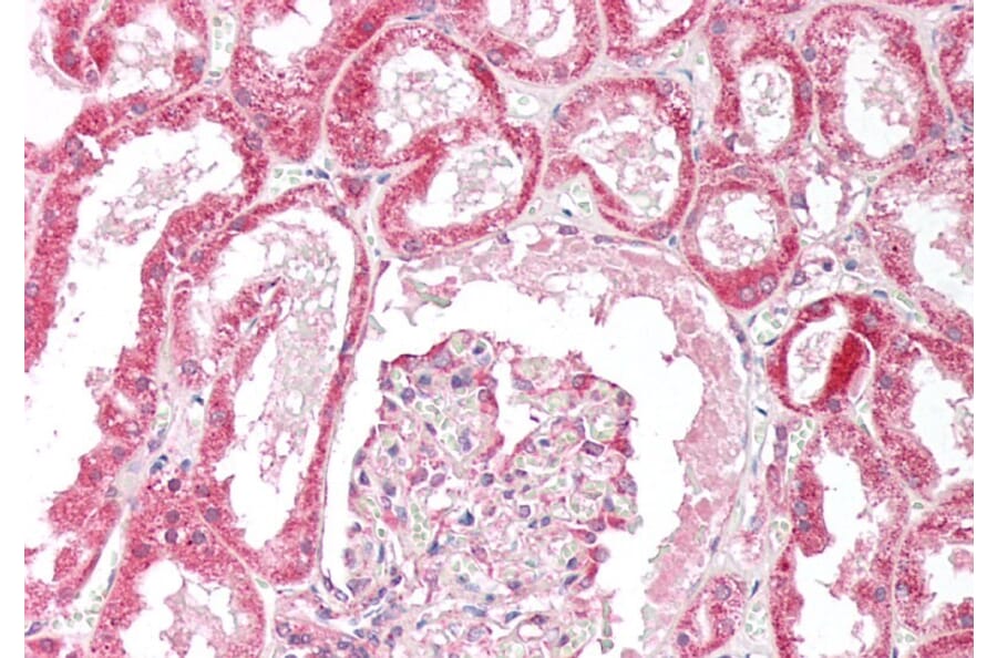
OSBPL5/ORP5 expression in Human Kidney analyzed by immunohistochemistry. Tissue was paraffin-embedded, and antigen retrieval was achieved by steaming in citrate buffer, pH 6. Staining was performed with Anti-OSBPL5/ORP5 Antibody (A83267) at 5µg/ml and revealed with alkaline phosphatase (AP).
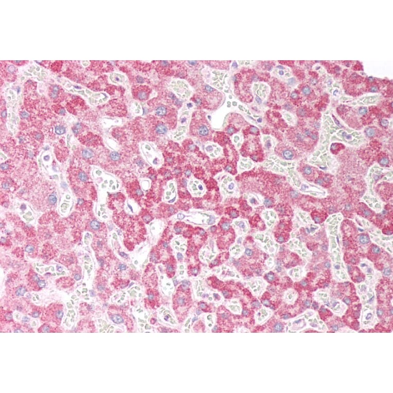
OSBPL5/ORP5 expression in Human Liver analyzed by immunohistochemistry. Tissue was paraffin-embedded, and antigen retrieval was achieved by steaming in citrate buffer, pH 6. Staining was performed with Anti-OSBPL5/ORP5 Antibody (A83267) at 5µg/ml and revealed with alkaline phosphatase (AP).
OSBPL5/ORP5 expression in HeLa cells (blue line) analyzed by flow cytometry. Cells were fixed in PFA and permeabilized with 0.5% Triton. Staining was performed with Anti-OSBPL5/ORP5 Antibody (A83267) at 10µg/ml for 1 hour and Alexa Fluor 488 secondary antibody at 1µg/ml. Negative Control: Goat IgG Isotype Control (black line) followed by Alexa Fluor 488 secondary antibody.