ISO 9001:2015 Certified
Live Customer Support
4.5/5 on Trustpilot
100% Quality Guarantee

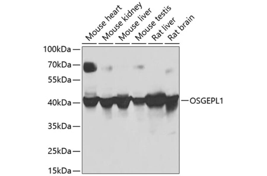
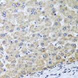
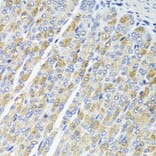
Anti-OSGEPL1 Antibody (A16043)

Rabbit polyclonal antibody to OSGEPL1 for WB and IHC.

Shipping Information

$40
Dispatched from St. Louis, MO.
Lead Time: 7-10 business days.
Name
Anti-OSGEPL1 Antibody
Description
Rabbit polyclonal antibody to OSGEPL1.
Applications
WB, IHC
Dilutions
WB: 1:500-1:2,000, IHC: 1:50-1:100
Reactivity
Human, Mouse, Rat
Immunogen
Recombinant fusion protein containing a sequence corresponding to amino acids 1-270 of human OSGEPL1 (NP_071748.2).
Sequence
MLILTKTAGVFFKPSKRKVYEFLRSFNFHPGTLFLHKIVLGIETSCDDTAAAVVDETGNVLGEAIHSQTEVHLKTGGIVPPAAQQLHRENIQRIVQEALSASGVSPSDLSAIATTIKPGLALSLGVGLSFSLQLVGQLKKPFIPIHHMEAHALTIRLTNKVEFPFLVLLISGGHCLLALVQGVSDFLLLGKSLDIAPGDMLDKVARRLSLIKHPECSTMSGGKAIEHLAKQGNRFHFDIKPPLHHAKNCDFSFTGLQHVTDKIIMKKEKE
Host
Rabbit
Clonality
Polyclonal
Isotype
IgG
Conjugate

Unconjugated

Purification
Affinity purification.
Concentration
Lot Specific
Molecular Weight
45 kDa
Product Form
Liquid
Formulation
Supplied in Phosphate Buffered Saline, pH 7.3, with 50% Glycerol and 0.02% Sodium Azide.
Storage
Shipped at 4°C. Upon delivery aliquot and store at -20°C. Avoid freeze/thaw cycles.
Synonyms
GCP1, N6-L-threonylcarbamoyladenine synthase, O-sialoglycoprotein endopeptidase-like protein 1, OSGEP-like protein 1, t(6)A synthase, t(6)A37 threonylcarbamoyladenosine biosynthesis protein OSGEPL1, tRNA N6-adenosine threonylcarbamoyltransferase, mitochondrial, tRNA threonylcarbamoyladenosine biosynthesis protein OSGEPL1
Disclaimer
This product is for research use only. It is not intended for diagnostic or therapeutic use.
Publishing research using Anti-OSGEPL1 Antibody (A16043)? Please let us know so that we can list the citation on this page.

Alternative products to Anti-OSGEPL1 Antibody (A16043)

Proteins predicted to interact with OSGEPL1

Predicted protein interactions based upon String database. Revelancy score correlates with probability of interaction.
98.9% Relevancy Score
96.8% Relevancy Score
95.8% Relevancy Score
82.4% Relevancy Score
63.3% Relevancy Score
60.6% Relevancy Score
59.2% Relevancy Score
53.9% Relevancy Score