Primary Antibodies
Secondary Antibodies
Proteins & Peptides
ELISA Kits
About Us
Contact Us
Sign In/Register
0
ISO 9001:2015 Certified
Live Customer Support
4.5/5 on Trustpilot
100% Quality Guarantee
Home
Primary Antibodies
Otoraplin Antibodies
Anti-OTOR Antibody (A46957)
Anti-OTOR Antibody (A46957)
Overview
Specifications
Images
Enlarge Image
Enlarge Image
$405
Rabbit polyclonal antibody to OTOR for IHC.
100% Guarantee
Price Match Guarantee
Product Size:
100µl
Quantity:
1
2
3
4
5
6
7
8
9
10
Add To Cart
Request a Quotation
Custom or Bulk Request
Shipping Information
Freight/Packing Charges:
$40
Dispatched from St. Louis, MO.
Lead Time: 6-9 business days.
Specifications
Name
Anti-OTOR Antibody
Description
Rabbit polyclonal antibody to OTOR
Specificity
The antibody detects endogenous levels of total OTOR protein.
Applications
IHC
Reactivity
Human
Immunogen
Synthetic peptide corresponding to residues near the C terminal of human otoraplin
Host
Rabbit
Clonality
Polyclonal
Conjugate
Unconjugated
Purification
Antigen affinity purification.
Concentration
1.6 mg/ml
Formulation
Rabbit IgG in pH7.3 PBS, 0.05% NaN3, 50% Glycerol.
Storage
Store at -20˚C
Synonyms
FDP, Fibrocyte-derived protein, Melanoma inhibitory activity-like protein, MIAL
Suitable Secondaries
Goat Anti-Rabbit IgG H&L Antibody (AP) (A294874)
Goat Anti-Rabbit IgG H&L Antibody (Biotin) (A294795)
Goat Anti-Rabbit IgG H&L Antibody (FITC) (A294887)
Goat Anti-Rabbit IgG H&L Antibody (HRP) (A294888)
See all Anti-Rabbit IgG Secondaries →
Disclaimer
This product is for research use only. It is not intended for diagnostic or therapeutic use.
Scientific Validation Data
Validation Data
(2)
Enlarge Image
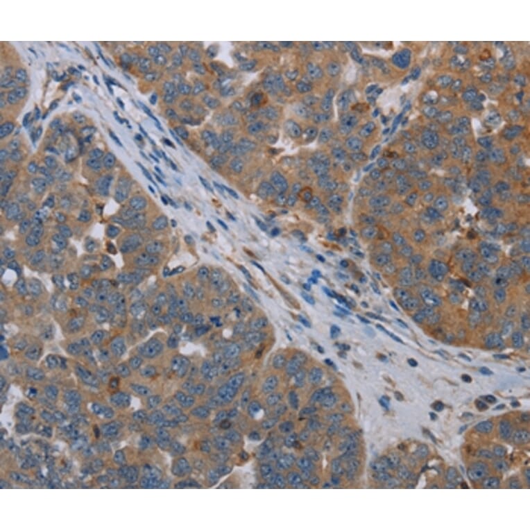
Immunohistochemistry - Anti-OTOR Antibody (A46957)
Immunohistochemical analysis of paraffin-embedded Human cervical cancer tissue using #37784 at dilution 1/30.
Enlarge Image
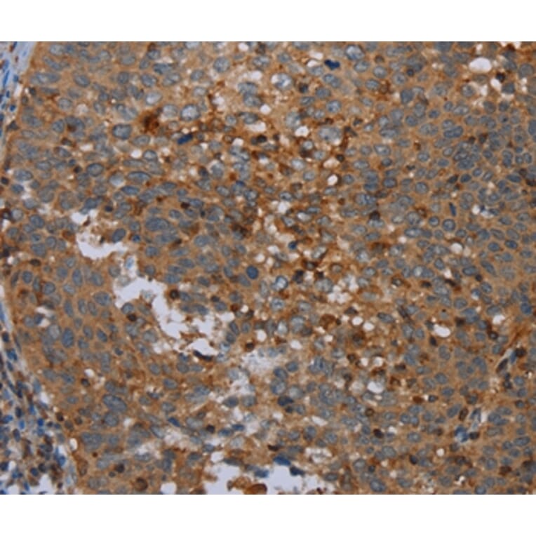
Immunohistochemistry - Anti-OTOR Antibody (A46957)
Immunohistochemical analysis of paraffin-embedded Human ovarian cancer tissue using #37784 at dilution 1/30.
Publishing research using Anti-OTOR Antibody (A46957)? Please
let us know
so that we can list the citation on this page.
Proteins predicted to interact with Otoraplin
Predicted protein interactions based upon String database. Revelancy score correlates with probability of interaction.
ATP5J Antibodies
50.6% Relevancy Score
CHRNA10 Antibodies
44.6% Relevancy Score
SPAG4 Antibodies
43.9% Relevancy Score
Claudin 17 Antibodies
41.8% Relevancy Score
BAG6 Antibodies
41.8% Relevancy Score
SNX3 Antibodies
40.3% Relevancy Score
UBE4A Antibodies
40% Relevancy Score
TSCOT Antibodies
39% Relevancy Score
HSBP1 Antibodies
38.7% Relevancy Score
Top